| UNIPROT | Q61838 |
| Иммуноген | RPG324Mu05-Recombinant Pregnancy Zone Protein (PZP) |
Polyclonal Antibody to Pregnancy Zone Protein (PZP) (PAG324Mu05)
Реактивность подтвержденная:
мышь
Источник (хозяин):
кролик
Валидировано для:
IHC
Характеристики
Техническое описание
| Русское название | PAG324Mu05 Поликлональное антитело к PZP (мышь) <Cloud-Clone,Китай> |
| Каталожный номер | PAG324Mu05 |
| Название антигена | Pregnancy Zone Protein (PZP) |
| UNIPROT | Q61838 |
| Иммуноген | RPG324Mu05-Recombinant Pregnancy Zone Protein (PZP) |
| Английские синонимы | CPAMD6, C3 and PZP-like alpha-2-macroglobulin domain-containing protein 6 |
Реактивность подтвержденная Нужна другая реактивность? |
мышь |
| Источник (хозяин) | кролик |
| Клональность | поликлональное |
| Рекомбинантное | нет |
| Готовое к использованию | нет |
| Концентрация | 0.5 мг/мл |
| Конъюгат | По запросу: HRP, biotin, PerCP, PE, Cy3, FITC, Cy7, Cy5.5, PE-Cy5, PE-Cy7, PerCp-Cy5.5, APC, Cy5, PE-Cy3, PE-Cy5.5, APC-Cy7, Biotin-APC, FITC-Biotin, TRITC, APC-Cy5, AF488, AF594, AF405, AF555, AF700, AF647, AF750 |
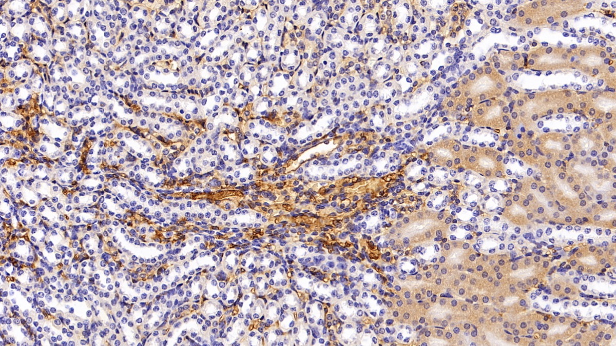
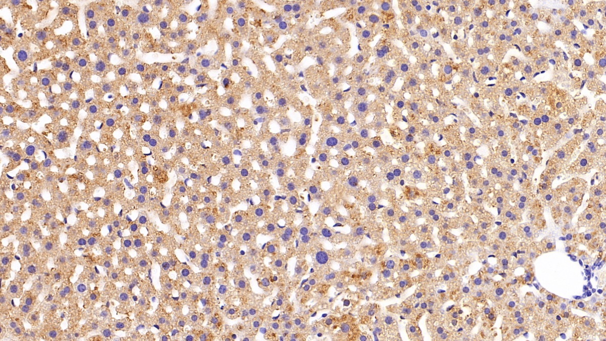
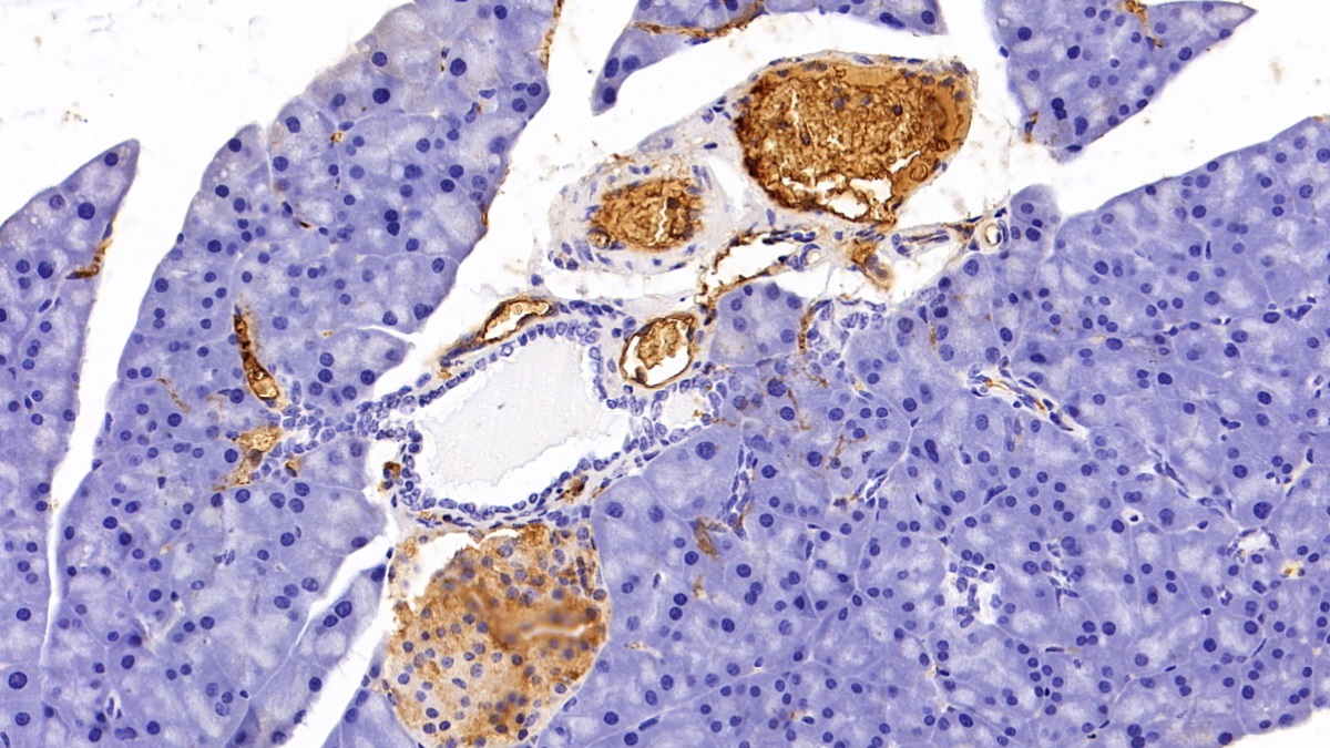
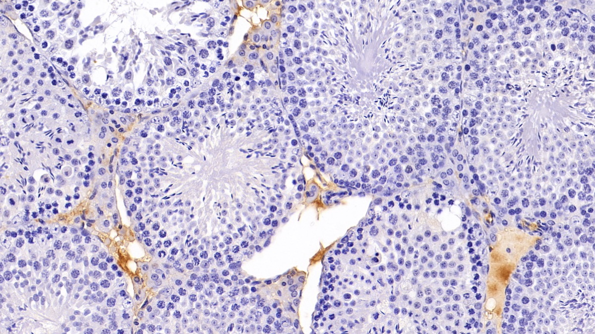
| Валидировано для | IHC Иммуногистохимия |
| Рекомендуемые разведения | WB: 0.5-2 мкг/мл; IHC: 5-20 мкг/мл; ICC: 5-20 мкг/мл; Оптимальное разведение определяется конечным потребителем |
| Метод очистки | Антигенспецифическая аффинная хроматография с последующей аффинной хроматографией с белком А |
| Состав буфера | 0.01M PBS, pH7.4, 0.05% Proclin-300, 50% глицерин |
| Условия доставки | термобокс с аккумуляторами холода |
| Условия хранения | Сразу после получения аликвотировать и хранить при -20ºС до 24 месяцев. Для частого использования хранить при +4ºС не более 2 недель. Избегать повторения циклов замерзания/оттаивания |
| Срок хранения | 24 месяца |
| Производитель | Cloud-Clone Corp. |
| Ссылка на страницу товара на сайте производителя | http://www.cloud-clone.com/products/PAG324Mu05.html |
|
Артикул
|
Наименование |
Производитель
|
|---|
|
Артикул
|
Наименование |
Производитель
|
|---|
|
Артикул
|
Наименование |
Производитель
|
|---|
Акции и предложения
Популярные продукты:
Guinea Pig Cell division cycle associated protein 5 ELISA kit (E05C2706)
Организм: морская свинка
Диапазон определения: 25-500 нг/мл
Диапазон определения: 25-500 нг/мл
Canine Amidophosphoribosyltransferase(PPAT) ELISA kit (E08A1945)
Организм: собака
Porcine Phosphoglycee kinase 2(PGK2) ELISA kit (E07P0843)
Организм: свинья
Sheep Triphosphopyridine nucleotide ELISA kit (E14T0049)
Организм: овца
Monkey Prolactin ELISA kit (E09P0039)
Организм: обезьяна
Диапазон определения: 10-250 нг/мл
Чувствительность: 1 нг/мл
Диапазон определения: 10-250 нг/мл
Чувствительность: 1 нг/мл

