| UNIPROT | Q9CQF9 |
| Иммуноген | RPH428Mu01-Recombinant Prenylcysteine Oxidase 1 (PCYOX1) |
Polyclonal Antibody to Prenylcysteine Oxidase 1 (PCYOX1) (PAH428Mu01)
Реактивность подтвержденная:
мышь
Источник (хозяин):
кролик
Валидировано для:
IHC
WB
Характеристики
Техническое описание
| Русское название | PAH428Mu01 Поликлональное антитело к PCYOX1 (мышь) <Cloud-Clone,Китай> |
| Каталожный номер | PAH428Mu01 |
| Название антигена | Prenylcysteine Oxidase 1 (PCYOX1) |
| UNIPROT | Q9CQF9 |
| Иммуноген | RPH428Mu01-Recombinant Prenylcysteine Oxidase 1 (PCYOX1) |
| Английские синонимы | PCL1, Prenylcysteine lyase |
Реактивность подтвержденная Нужна другая реактивность? |
мышь |
| Реактивность предсказываемая | крыса |
| Источник (хозяин) | кролик |
| Клональность | поликлональное |
| Рекомбинантное | нет |
| Готовое к использованию | нет |
| Концентрация | 500 мкг/мл |
| Конъюгат | По запросу: HRP, biotin, PerCP, PE, Cy3, FITC, Cy7, Cy5.5, PE-Cy5, PE-Cy7, PerCp-Cy5.5, APC, Cy5, PE-Cy3, PE-Cy5.5, APC-Cy7, Biotin-APC, FITC-Biotin, TRITC, APC-Cy5, AF488, AF594, AF405, AF555, AF700, AF647, AF750 |
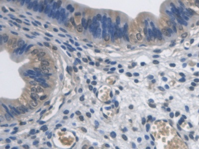
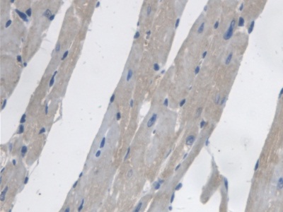
| Валидировано для | IHC WB Иммуногистохимия; Вестерн-блоттинг |
| Рекомендуемые разведения | WB: 0.01-2 мкг/мл; IHC: 5-20 мкг/мл; ICC: 5-20 мкг/мл; Оптимальное разведение определяется конечным потребителем |
| Метод очистки | Антигенспецифическая аффинная хроматография с последующей аффинной хроматографией с белком А |
| Состав буфера | PBS, pH7.4, 0.02% NaN3, 50% глицерин |
| Условия доставки | термобокс с аккумуляторами холода |
| Условия хранения | Сразу после получения аликвотировать и хранить при -20ºС до 24 месяцев. Для частого использования хранить при +4ºС не более 2 недель. Избегать повторения циклов замерзания/оттаивания |
| Срок хранения | 24 месяца |
| Производитель | Cloud-Clone Corp. |
| Ссылка на страницу товара на сайте производителя | http://www.cloud-clone.com/products/PAH428Mu01.html |
|
Артикул
|
Наименование |
Производитель
|
|---|
|
Артикул
|
Наименование |
Производитель
|
|---|
|
Артикул
|
Наименование |
Производитель
|
|---|
Акции и предложения
Популярные продукты:
Bovine G-protein-signaling modulator 2 ELISA kit (E11G0585)
Организм: корова
Sheep Catenin Alpha 2(CTNNA2) ELISA kit (E14C2151)
Организм: овца
Chicken Glypican 5 ELISA kit (E12G0667)
Организм: курица

