| UNIPROT | P01185 |
| Иммуноген | RPD766Hu01-Recombinant Preprovasopressin (VP) |
Polyclonal Antibody to Preprovasopressin (VP) (PAD766Hu01)
Реактивность подтвержденная:
человек
Источник (хозяин):
кролик
Валидировано для:
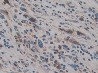
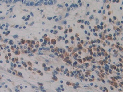
IHC
Характеристики
Техническое описание
| Русское название | PAD766Hu01 Поликлональное антитело к препровазопрессину (человек) <Cloud-Clone,Китай> |
| Каталожный номер | PAD766Hu01 |
| Название антигена | Preprovasopressin (VP) |
| UNIPROT | P01185 |
| Иммуноген | RPD766Hu01-Recombinant Preprovasopressin (VP) |
| Английские синонимы | AVP-NPII, ARVP, AVP, Vasopressin-Neurophysin 2-Copeptin, Arginine-vasopressin, Neurophysin 2, Copeptin |
Реактивность подтвержденная Нужна другая реактивность? |
человек |
| Источник (хозяин) | кролик |
| Клональность | поликлональное |
| Рекомбинантное | нет |
| Готовое к использованию | нет |
| Концентрация | 500 мкг/мл |
| Конъюгат | По запросу: HRP, biotin, PerCP, PE, Cy3, FITC, Cy7, Cy5.5, PE-Cy5, PE-Cy7, PerCp-Cy5.5, APC, Cy5, PE-Cy3, PE-Cy5.5, APC-Cy7, Biotin-APC, FITC-Biotin, TRITC, APC-Cy5, AF488, AF594, AF405, AF555, AF700, AF647, AF750 |
| Валидировано для | IHC Иммуногистохимия |
| Рекомендуемые разведения | WB: 0.2-2 мкг/мл; 1:250-2500; IHC: 5-20 мкг/мл; 1:25-100; ICC: 5-20 мкг/мл; 1:25-100; Оптимальное разведение определяется конечным потребителем |
| Метод очистки | Антигенспецифическая аффинная хроматография с последующей аффинной хроматографией с белком А |
| Состав буфера | 0.01M PBS, pH7.4, 0.05% Proclin-300, 50% глицерин |
| Условия доставки | термобокс с аккумуляторами холода |
| Условия хранения | Сразу после получения аликвотировать и хранить при -20ºС до 24 месяцев. Для частого использования хранить при +4ºС не более 2 недель. Избегать повторения циклов замерзания/оттаивания |
| Срок хранения | 24 месяца |
| Производитель | Cloud-Clone Corp. |
| Ссылка на страницу товара на сайте производителя | http://www.cloud-clone.com/products/PAD766Hu01.html |
|
Артикул
|
Наименование |
Производитель
|
|---|
|
Артикул
|
Наименование |
Производитель
|
|---|
|
Артикул
|
Наименование |
Производитель
|
|---|
Акции и предложения
Популярные продукты:
ELISA Kit DIY Materials for Early Endosome Antigen 1 (EEA1) (KSJ176Hu01)
Организм: человек
Диапазон определения: 0.312-20 нг/мл
Чувствительность: 0.113 нг/мл
Диапазон определения: 0.312-20 нг/мл
Чувствительность: 0.113 нг/мл
ELISA Kit DIY Materials for Microphthalmia Associated Transcription Factor (MITF) (KSH645Hu01)
Организм: человек
Диапазон определения: 0.156-10 нг/мл
Чувствительность: 0.063 нг/мл
Диапазон определения: 0.156-10 нг/мл
Чувствительность: 0.063 нг/мл
Guinea Pig Potassium voltage gated channel subfamily B member 1(KCNB1) ELISA kit (E05P0809)
Организм: морская свинка
Mouse Protein BTG3(BTG3) ELISA kit (E03P0800)
Организм: мышь
Rabbit 14-3-3 protein eta(YWHAH) ELISA kit (E04Y0007)
Организм: кролик
Rat Aftiphilin(AFTPH) ELISA kit (E02A1307)
Организм: крыса

