| UNIPROT | P70160 |
| Иммуноген | RPA689Mu01-Recombinant Procalcitonin (PCT) |
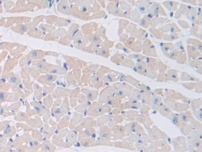
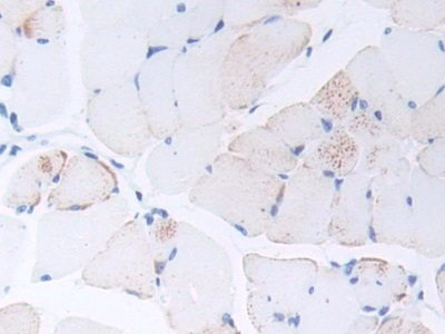
Polyclonal Antibody to Procalcitonin (PCT) (PAA689Mu01)
Реактивность подтвержденная:
мышь
Источник (хозяин):
кролик
Валидировано для:
IHC
Характеристики
Публикации
Техническое описание
| Русское название | PAA689Mu01 Поликлональное антитело к PCT (мышь) <Cloud-Clone,Китай> |
| Каталожный номер | PAA689Mu01 |
| Название антигена | Procalcitonin (PCT) |
| UNIPROT | P70160 |
| Иммуноген | RPA689Mu01-Recombinant Procalcitonin (PCT) |
| Английские синонимы | Pro-Calcitonin |
Реактивность подтвержденная Нужна другая реактивность? |
мышь |
| Источник (хозяин) | кролик |
| Клональность | поликлональное |
| Рекомбинантное | нет |
| Готовое к использованию | нет |
| Концентрация | 500 мкг/мл |
| Конъюгат | По запросу: HRP, biotin, PerCP, PE, Cy3, FITC, Cy7, Cy5.5, PE-Cy5, PE-Cy7, PerCp-Cy5.5, APC, Cy5, PE-Cy3, PE-Cy5.5, APC-Cy7, Biotin-APC, FITC-Biotin, TRITC, APC-Cy5, AF488, AF594, AF405, AF555, AF700, AF647, AF750 |
| Валидировано для | IHC Иммуногистохимия |
| Рекомендуемые разведения | WB: 0.5-2 мкг/мл; IHC: 5-20 мкг/мл; ICC: 5-20 мкг/мл; Оптимальное разведение определяется конечным потребителем |
| Метод очистки | Антигенспецифическая аффинная хроматография с последующей аффинной хроматографией с белком А |
| Состав буфера | 0.01M PBS, pH7.4, 0.05% Proclin-300, 50% глицерин |
| Условия доставки | термобокс с аккумуляторами холода |
| Условия хранения | Сразу после получения аликвотировать и хранить при -20ºС до 24 месяцев. Для частого использования хранить при +4ºС не более 2 недель. Избегать повторения циклов замерзания/оттаивания |
| Срок хранения | 24 месяца |
| Производитель | Cloud-Clone Corp. |
| Ссылка на страницу товара на сайте производителя | http://www.cloud-clone.com/products/PAA689Mu01.html |
|
Артикул
|
Наименование |
Производитель
|
|---|
|
Артикул
|
Наименование |
Производитель
|
|---|
|
Артикул
|
Наименование |
Производитель
|
|---|
|
Артикул
|
Наименование |
Производитель
|
|---|
|
Артикул
|
Наименование |
Производитель
|
|---|
Акции и предложения
Популярные продукты:
Recombinant Human PIGR Protein, N-His (YHB96101)
Источник (хозяин): E.coli
Организм: человек
Фрагмент: Arg289-Arg638
Теги: N-His
Биоактивность: нет
Организм: человек
Фрагмент: Arg289-Arg638
Теги: N-His
Биоактивность: нет
Biotin-Linked Polyclonal Antibody to Follistatin Like Protein 1 (FSTL1) (LAJ085Ra71)
Источник (хозяин): кролик
Реактивность подтвержденная: крыса
Валидировано для: IHC
Реактивность подтвержденная: крыса
Валидировано для: IHC
Biotin-Linked Polyclonal Antibody to C Reactive Protein (CRP) (LAA821Rb71)
Источник (хозяин): морская свинка
Реактивность подтвержденная: кролик
Валидировано для: WB
Реактивность подтвержденная: кролик
Валидировано для: WB
Polyclonal Antibody to Procalcitonin (PCT) (PAA689Mu01)
Источник (хозяин): кролик
Реактивность подтвержденная: мышь
Валидировано для: IHC
Реактивность подтвержденная: мышь
Валидировано для: IHC
Recombinant Testis Specific Kinase 2 (TESK2) (RPE870Mu01)
Источник (хозяин): E.coli
Организм: мышь
Фрагмент: Asp58-Met313
Теги: N-концевой His-Tag
Биоактивность: нет
Организм: мышь
Фрагмент: Asp58-Met313
Теги: N-концевой His-Tag
Биоактивность: нет
ELISA Kit for Glutathione Reductase (GR) (SEB314Hu)
Организм: человек
Диапазон определения: 1.56-100 нг/мл
Чувствительность: 0.60 нг/мл
Диапазон определения: 1.56-100 нг/мл
Чувствительность: 0.60 нг/мл

