| UNIPROT | P12273 |
| Иммуноген | RPM035Hu01-Recombinant Prolactin Induced Protein (PIP) |
Polyclonal Antibody to Prolactin Induced Protein (PIP) (PAM035Hu01)
Реактивность подтвержденная:
человек
Источник (хозяин):
кролик
Валидировано для:
IHC
Характеристики
Техническое описание
| Русское название | PAM035Hu01 Поликлональное антитело к PIP (человек) <Cloud-Clone,Китай> |
| Каталожный номер | PAM035Hu01 |
| Название антигена | Prolactin Induced Protein (PIP) |
| UNIPROT | P12273 |
| Иммуноген | RPM035Hu01-Recombinant Prolactin Induced Protein (PIP) |
| Английские синонимы | GCDFP15, GPIP4, BRST2, SABP, gp17, Gross cystic disease fluid protein 15, Prolactin-induced protein, Secretory actin-binding protein |
Реактивность подтвержденная Нужна другая реактивность? |
человек |
| Источник (хозяин) | кролик |
| Клональность | поликлональное |
| Рекомбинантное | нет |
| Готовое к использованию | нет |
| Концентрация | 0.29 мг/мл |
| Конъюгат | По запросу: HRP, biotin, PerCP, PE, Cy3, FITC, Cy7, Cy5.5, PE-Cy5, PE-Cy7, PerCp-Cy5.5, APC, Cy5, PE-Cy3, PE-Cy5.5, APC-Cy7, Biotin-APC, FITC-Biotin, TRITC, APC-Cy5, AF488, AF594, AF405, AF555, AF700, AF647, AF750 |
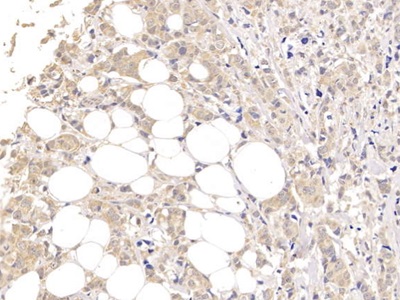
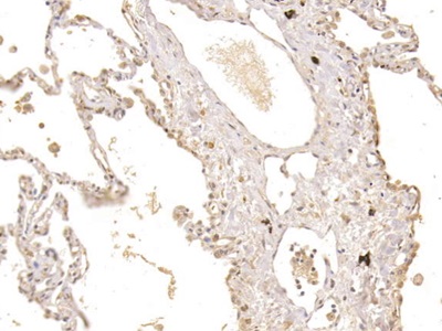
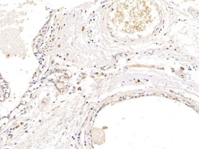
| Валидировано для | IHC Иммуногистохимия |
| Рекомендуемые разведения | WB: 0.2-2 мкг/мл; 1:250-2500; IHC: 5-20 мкг/мл; 1:25-100; ICC: 5-20 мкг/мл; 1:25-100; Оптимальное разведение определяется конечным потребителем |
| Метод очистки | Антигенспецифическая аффинная хроматография с последующей аффинной хроматографией с белком А |
| Состав буфера | 0.01M PBS, pH7.4, 0.05% Proclin-300, 50% глицерин |
| Условия доставки | термобокс с аккумуляторами холода |
| Условия хранения | Сразу после получения аликвотировать и хранить при -20ºС до 24 месяцев. Для частого использования хранить при +4ºС не более 2 недель. Избегать повторения циклов замерзания/оттаивания |
| Срок хранения | 24 месяца |
| Производитель | Cloud-Clone Corp. |
| Ссылка на страницу товара на сайте производителя | http://www.cloud-clone.com/products/PAM035Hu01.html |
|
Артикул
|
Наименование |
Производитель
|
|---|
|
Артикул
|
Наименование |
Производитель
|
|---|
|
Артикул
|
Наименование |
Производитель
|
|---|
|
Артикул
|
Наименование |
Производитель
|
|---|
Акции и предложения
Популярные продукты:
ELISA Kit for Angiotensin II (AngII) (CEA005Ra)
Организм: крыса
Диапазон определения: 24.69-2000 пг/мл
Чувствительность: 9.17 пг/мл
Диапазон определения: 24.69-2000 пг/мл
Чувствительность: 9.17 пг/мл
Porcine 5-Hydroxytryptophan ELISA kit (E07H1454)
Организм: свинья
Goat Oxidized Glutathione ELISA kit (E06O0028)
Организм: коза
Canine Calponin 3(CNN3) ELISA kit (E08C1855)
Организм: собака
Goat Calponin 3(CNN3) ELISA kit (E06C1855)
Организм: коза
Chicken Centromere protein U(MLF1IP) ELISA kit (E12C0942)
Организм: курица

