| UNIPROT | O70417 |
| Иммуноген | RPM035Ra02-Recombinant Prolactin Induced Protein (PIP) |
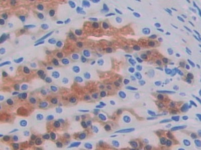
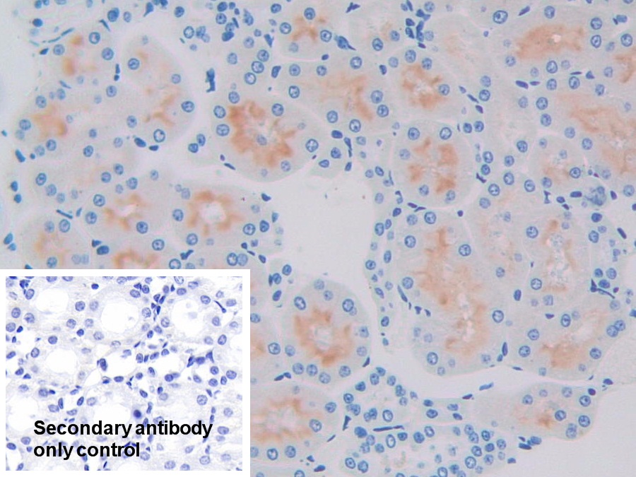
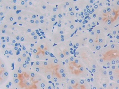
Polyclonal Antibody to Prolactin Induced Protein (PIP) (PAM035Ra02)
Реактивность подтвержденная:
крыса
Источник (хозяин):
кролик
Валидировано для:
IHC
WB
Характеристики
Техническое описание
| Русское название | PAM035Ra02 Поликлональное антитело к PIP (крыса) <Cloud-Clone,Китай> |
| Каталожный номер | PAM035Ra02 |
| Название антигена | Prolactin Induced Protein (PIP) |
| UNIPROT | O70417 |
| Иммуноген | RPM035Ra02-Recombinant Prolactin Induced Protein (PIP) |
| Английские синонимы | GCDFP15, GPIP4, BRST2, SABP, gp17, Gross cystic disease fluid protein 15, Prolactin-induced protein, Secretory actin-binding protein |
Реактивность подтвержденная Нужна другая реактивность? |
крыса |
| Источник (хозяин) | кролик |
| Клональность | поликлональное |
| Рекомбинантное | нет |
| Готовое к использованию | нет |
| Концентрация | 0.5 мг/мл |
| Конъюгат | По запросу: HRP, biotin, PerCP, PE, Cy3, FITC, Cy7, Cy5.5, PE-Cy5, PE-Cy7, PerCp-Cy5.5, APC, Cy5, PE-Cy3, PE-Cy5.5, APC-Cy7, Biotin-APC, FITC-Biotin, TRITC, APC-Cy5, AF488, AF594, AF405, AF555, AF700, AF647, AF750 |
| Валидировано для | IHC WB Иммуногистохимия; Вестерн-блоттинг |
| Рекомендуемые разведения | WB: 0.01-3 мкг/мл; IHC: 5-30 мкг/мл; ICC: 5-30 мкг/мл; Оптимальное разведение определяется конечным потребителем |
| Метод очистки | Антигенспецифическая аффинная хроматография с последующей аффинной хроматографией с белком А |
| Состав буфера | 0.01M PBS, pH7.4, 0.05% Proclin-300, 50% глицерин |
| Условия доставки | термобокс с аккумуляторами холода |
| Условия хранения | Сразу после получения аликвотировать и хранить при -20ºС до 24 месяцев. Для частого использования хранить при +4ºС не более 2 недель. Избегать повторения циклов замерзания/оттаивания |
| Срок хранения | 24 месяца |
| Производитель | Cloud-Clone Corp. |
| Ссылка на страницу товара на сайте производителя | http://www.cloud-clone.com/products/PAM035Ra02.html |
|
Артикул
|
Наименование |
Производитель
|
|---|
|
Артикул
|
Наименование |
Производитель
|
|---|
|
Артикул
|
Наименование |
Производитель
|
|---|
|
Артикул
|
Наименование |
Производитель
|
|---|
Акции и предложения
Популярные продукты:
Anti-Phospho-STAT6 (Y641) Polyclonal Antibody (PHE34401)
Источник (хозяин): кролик
Реактивность подтвержденная: человек, мышь, крыса
Валидировано для: ELISA, IF, IHC, WB
Реактивность подтвержденная: человек, мышь, крыса
Валидировано для: ELISA, IF, IHC, WB
Chikungunya virus/CHIKV E1 ELISA Kit (KVV09601)
Организм: вирусы
Диапазон определения: 62.5 - 4,000 пг/мл
Чувствительность: 51.23 пг/мл
Диапазон определения: 62.5 - 4,000 пг/мл
Чувствительность: 51.23 пг/мл
Multiplex Assay Kit for Protein Kinase, cGMP Dependent Type II (PRKG2) (LMH313Mu)
Организм: мышь
Диапазон определения: 0.02-20 нг/мл
Чувствительность: 0.007 нг/мл
Диапазон определения: 0.02-20 нг/мл
Чувствительность: 0.007 нг/мл
ELISA Kit DIY Materials for Complement Component 4d (C4d) (KSS103Ra01)
Организм: крыса
Диапазон определения: 0.625-40 нг/мл
Чувствительность: 0.232 нг/мл
Диапазон определения: 0.625-40 нг/мл
Чувствительность: 0.232 нг/мл
Monoclonal Antibody to Desmin (Des) (MAA373Hu26)
Источник (хозяин): мышь
Реактивность подтвержденная: человек
Валидировано для: WB
Реактивность подтвержденная: человек
Валидировано для: WB
Guinea Pig Valine ELISA kit (E05V0100)
Организм: морская свинка

