| UNIPROT | P12004 |
| Иммуноген | RPA591Hu01-Recombinant Proliferating Cell Nuclear Antigen (PCNA) |
Polyclonal Antibody to Proliferating Cell Nuclear Antigen (PCNA) (PAA591Hu01)
Реактивность подтвержденная:
человек
Источник (хозяин):
кролик
Валидировано для:
IHC
WB
Характеристики
Публикации
Техническое описание
| Русское название | PAA591Hu01 Поликлональное антитело к PCNA (человек) <Cloud-Clone,Китай> |
| Каталожный номер | PAA591Hu01 |
| Название антигена | Proliferating Cell Nuclear Antigen (PCNA) |
| UNIPROT | P12004 |
| Иммуноген | RPA591Hu01-Recombinant Proliferating Cell Nuclear Antigen (PCNA) |
| Английские синонимы | Cyclin |
Реактивность подтвержденная Нужна другая реактивность? |
человек |
| Источник (хозяин) | кролик |
| Клональность | поликлональное |
| Рекомбинантное | нет |
| Готовое к использованию | нет |
| Концентрация | 0.38 мг/мл |
| Конъюгат | По запросу: HRP, biotin, PerCP, PE, Cy3, FITC, Cy7, Cy5.5, PE-Cy5, PE-Cy7, PerCp-Cy5.5, APC, Cy5, PE-Cy3, PE-Cy5.5, APC-Cy7, Biotin-APC, FITC-Biotin, TRITC, APC-Cy5, AF488, AF594, AF405, AF555, AF700, AF647, AF750 |
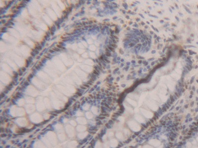
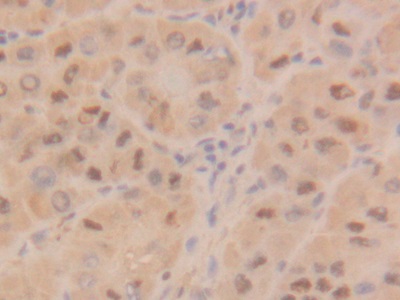
| Валидировано для | IHC WB Иммуногистохимия; Вестерн-блоттинг |
| Рекомендуемые разведения | WB: 0.5-2 мкг/мл; IHC: 5-20 мкг/мл; ICC: 5-20 мкг/мл; Оптимальное разведение определяется конечным потребителем |
| Метод очистки | Антигенспецифическая аффинная хроматография с последующей аффинной хроматографией с белком А |
| Состав буфера | 0.01M PBS, pH7.4, 0.05% Proclin-300, 50% глицерин |
| Условия доставки | термобокс с аккумуляторами холода |
| Условия хранения | Сразу после получения аликвотировать и хранить при -20ºС до 24 месяцев. Для частого использования хранить при +4ºС не более 2 недель. Избегать повторения циклов замерзания/оттаивания |
| Срок хранения | 24 месяца |
| Производитель | Cloud-Clone Corp. |
| Ссылка на страницу товара на сайте производителя | http://www.cloud-clone.com/products/PAA591Hu01.html |
|
Артикул
|
Наименование |
Производитель
|
|---|
|
Артикул
|
Наименование |
Производитель
|
|---|
|
Артикул
|
Наименование |
Производитель
|
|---|
|
Артикул
|
Наименование |
Производитель
|
|---|
|
Артикул
|
Наименование |
Производитель
|
|---|
|
Артикул
|
Наименование |
Производитель
|
|---|
|
Артикул
|
Наименование |
Производитель
|
|---|
|
Артикул
|
Наименование |
Производитель
|
|---|
|
Артикул
|
Наименование |
Производитель
|
|---|
|
Артикул
|
Наименование |
Производитель
|
|---|
|
Артикул
|
Наименование |
Производитель
|
|---|
|
Артикул
|
Наименование |
Производитель
|
|---|
|
Артикул
|
Наименование |
Производитель
|
|---|
Акции и предложения
Популярные продукты:
Recombinant Human/Mouse/Rat Irisin/FNDC5 (N-6His) (PKSR030543)
Источник (хозяин): HEK293
Организм: человек
Фрагмент: Asp32-Glu143
Теги: N-His
Биоактивность: нет
Организм: человек
Фрагмент: Asp32-Glu143
Теги: N-His
Биоактивность: нет
Recombinant Human/Mouse/Rat Irisin/FNDC5 (N-6His) (PKSM041407)
Источник (хозяин): HEK293
Организм: человек
Фрагмент: Asp32-Glu143
Теги: N-His
Биоактивность: нет
Организм: человек
Фрагмент: Asp32-Glu143
Теги: N-His
Биоактивность: нет
Recombinant Human SerpinB6/PI-6 Protein (His Tag) (PKSH030778)
Источник (хозяин): клетки насекомых
Организм: человек
Фрагмент: Asp 2-Pro 376
Теги: N-His
Биоактивность: нет
Организм: человек
Фрагмент: Asp 2-Pro 376
Теги: N-His
Биоактивность: нет
Recombinant Human BCL2L1/Bcl-XL Protein (His Tag) (PKSH033757)
Источник (хозяин): E.coli
Организм: человек
Фрагмент: Met1-Arg212
Теги: C-His
Биоактивность: нет
Организм: человек
Фрагмент: Met1-Arg212
Теги: C-His
Биоактивность: нет
Recombinant Mouse Ceacam1/BGP-1 protein (His Tag) (PDEM100234)
Источник (хозяин): E.coli
Организм: мышь
Фрагмент: Glu35-Pro416
Теги: N-His
Биоактивность: нет
Организм: мышь
Фрагмент: Glu35-Pro416
Теги: N-His
Биоактивность: нет
Recombinant Mouse CD3d/CD3 delta Protein (Fc Tag) (PKSM040705)
Источник (хозяин): HEK293
Организм: мышь
Фрагмент: Met1-Ala105
Теги: C-hFc
Биоактивность: нет
Организм: мышь
Фрагмент: Met1-Ala105
Теги: C-hFc
Биоактивность: нет

