| UNIPROT | Q9UQ80 |
| Иммуноген | RPL980Hu01-Recombinant Proliferation Associated Protein 2G4 (PA2G4) |
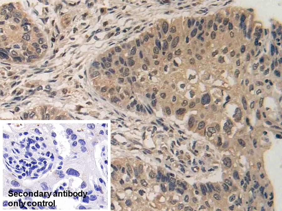
Polyclonal Antibody to Proliferation Associated Protein 2G4 (PA2G4) (PAL980Hu01)
Реактивность подтвержденная:
человек
Источник (хозяин):
кролик
Валидировано для:
IHC
WB
Характеристики
Техническое описание
| Русское название | PAL980Hu01 Поликлональное антитело к PA2G4 (человек) <Cloud-Clone,Китай> |
| Каталожный номер | PAL980Hu01 |
| Название антигена | Proliferation Associated Protein 2G4 (PA2G4) |
| UNIPROT | Q9UQ80 |
| Иммуноген | RPL980Hu01-Recombinant Proliferation Associated Protein 2G4 (PA2G4) |
| Английские синонимы | EBP1, HG4-1, p38-2G4, Cell cycle protein p38-2G4 homolog, ErbB3-binding protein 1 |
Реактивность подтвержденная Нужна другая реактивность? |
человек |
| Реактивность предсказываемая | мышь, крыса, свинья |
| Источник (хозяин) | кролик |
| Клональность | поликлональное |
| Рекомбинантное | нет |
| Готовое к использованию | нет |
| Концентрация | 0.5 мг/мл |
| Конъюгат | По запросу: HRP, biotin, PerCP, PE, Cy3, FITC, Cy7, Cy5.5, PE-Cy5, PE-Cy7, PerCp-Cy5.5, APC, Cy5, PE-Cy3, PE-Cy5.5, APC-Cy7, Biotin-APC, FITC-Biotin, TRITC, APC-Cy5, AF488, AF594, AF405, AF555, AF700, AF647, AF750 |
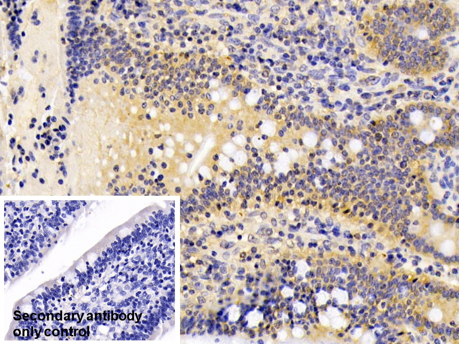
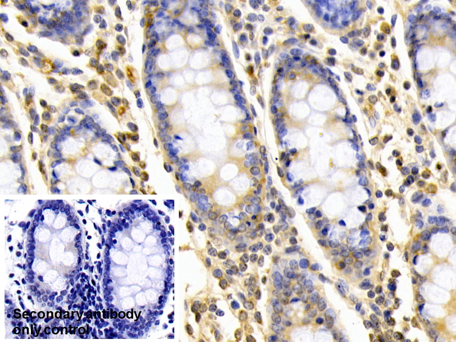
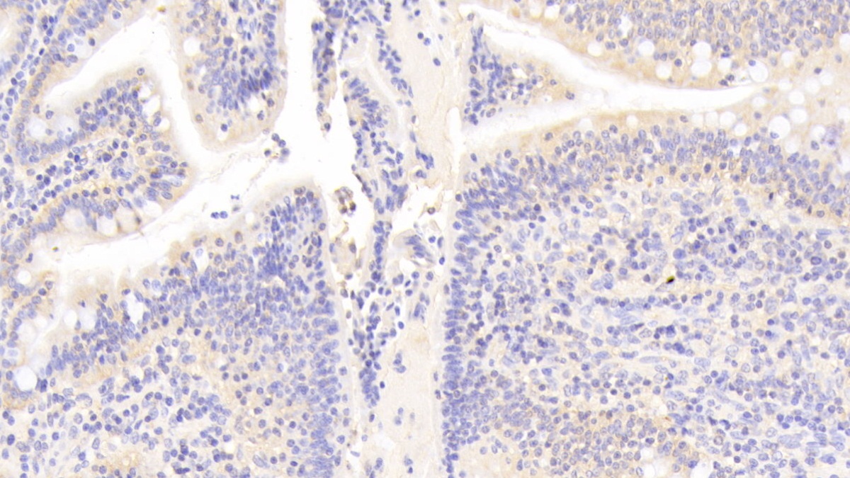
| Валидировано для | IHC WB Иммуногистохимия; Вестерн-блоттинг |
| Рекомендуемые разведения | WB: 0.01-3 мкг/мл; IHC: 5-30 мкг/мл; Оптимальное разведение определяется конечным потребителем |
| Метод очистки | Антигенспецифическая аффинная хроматография с последующей аффинной хроматографией с белком А |
| Состав буфера | 0.01M PBS, pH7.4, 0.05% Proclin-300, 50% глицерин |
| Условия доставки | термобокс с аккумуляторами холода |
| Условия хранения | Сразу после получения аликвотировать и хранить при -20ºС до 24 месяцев. Для частого использования хранить при +4ºС не более 2 недель. Избегать повторения циклов замерзания/оттаивания |
| Срок хранения | 24 месяца |
| Производитель | Cloud-Clone Corp. |
| Ссылка на страницу товара на сайте производителя | http://www.cloud-clone.com/products/PAL980Hu01.html |
|
Артикул
|
Наименование |
Производитель
|
|---|
|
Артикул
|
Наименование |
Производитель
|
|---|
|
Артикул
|
Наименование |
Производитель
|
|---|
|
Артикул
|
Наименование |
Производитель
|
|---|
Акции и предложения
Популярные продукты:
PARP1 Polyclonal Antibody (E-AB-16025)
Источник (хозяин): кролик
Реактивность подтвержденная: человек, мышь, крыса
Валидировано для: IHC, WB
Реактивность подтвержденная: человек, мышь, крыса
Валидировано для: IHC, WB
Anti-CD29/ITGB1 Antibody (AIIB2), PerCP (FHC17634)
Источник (хозяин): мышь
Реактивность подтвержденная: человек, мышь
Валидировано для: ELISA, FCM, IF, WB
Реактивность подтвержденная: человек, мышь
Валидировано для: ELISA, FCM, IF, WB
Monoclonal Antibody to Perillaldehyde (PA) (MAV865Ge21)
Источник (хозяин): мышь
Реактивность подтвержденная: для всех
Валидировано для: ELISA
Реактивность подтвержденная: для всех
Валидировано для: ELISA
Mouse Valproic Acid ELISA kit (E03V0432)
Организм: мышь
Guinea Pig Succinic Acid ELISA Kit (E05S0475)
Организм: морская свинка

