| UNIPROT | P07602 |
| Иммуноген | RPC756Hu01-Recombinant Prosaposin (PSAP) |
Polyclonal Antibody to Prosaposin (PSAP) (PAC756Hu01)
Реактивность подтвержденная:
человек
Источник (хозяин):
кролик
Валидировано для:
IHC
WB
Характеристики
Техническое описание
| Русское название | PAC756Hu01 Поликлональное антитело к PSAP (человек) <Cloud-Clone,Китай> |
| Каталожный номер | PAC756Hu01 |
| Название антигена | Prosaposin (PSAP) |
| UNIPROT | P07602 |
| Иммуноген | RPC756Hu01-Recombinant Prosaposin (PSAP) |
| Английские синонимы | SAP1, GLBA, CSAct, Dispersin, Pro-Saposin, Proactivator polypeptide, Glucosylceramidase activator, Sulfatide/GM1 activator, Cerebroside sulfate activator, Sphingolipid Activator 1 |
Реактивность подтвержденная Нужна другая реактивность? |
человек |
| Реактивность предсказываемая | крыса, свинья |
| Источник (хозяин) | кролик |
| Клональность | поликлональное |
| Рекомбинантное | нет |
| Готовое к использованию | нет |
| Концентрация | 0.5 мг/мл |
| Конъюгат | По запросу: HRP, biotin, PerCP, PE, Cy3, FITC, Cy7, Cy5.5, PE-Cy5, PE-Cy7, PerCp-Cy5.5, APC, Cy5, PE-Cy3, PE-Cy5.5, APC-Cy7, Biotin-APC, FITC-Biotin, TRITC, APC-Cy5, AF488, AF594, AF405, AF555, AF700, AF647, AF750 |
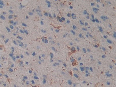
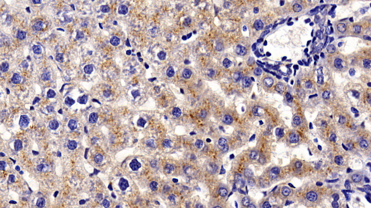
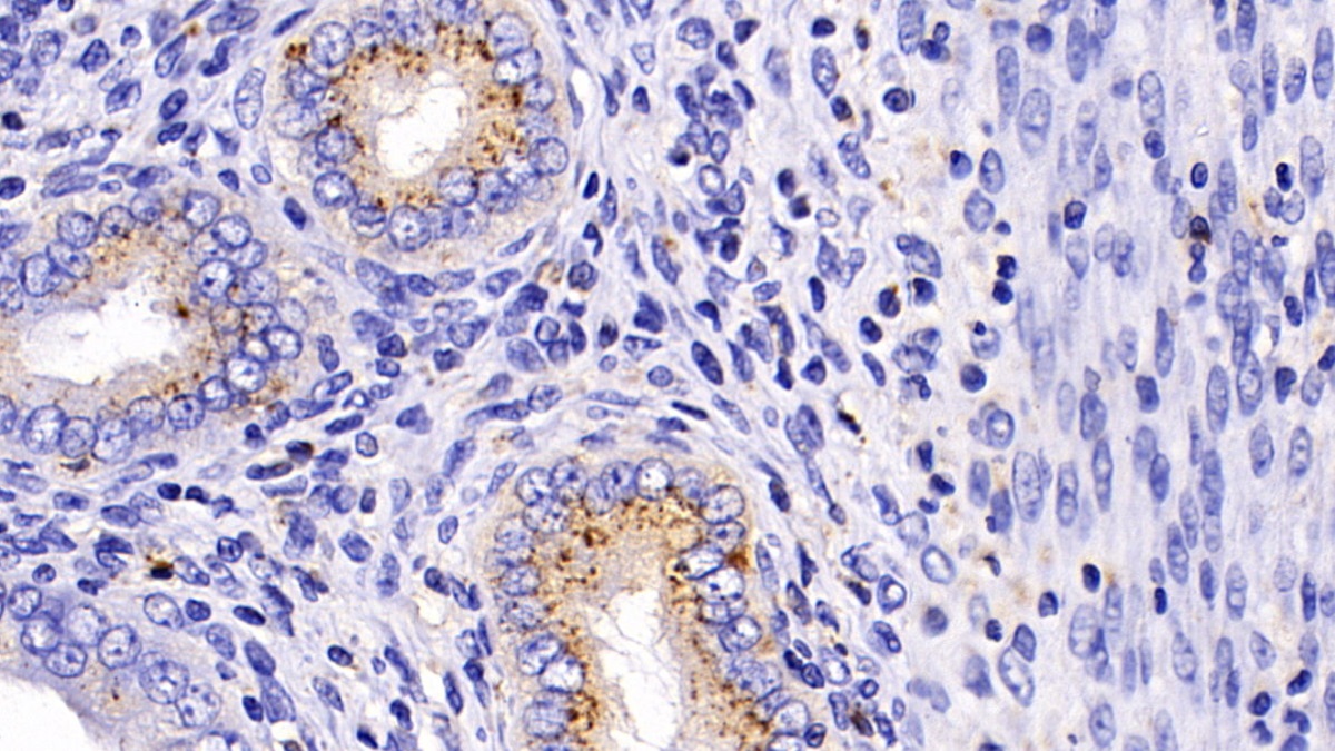
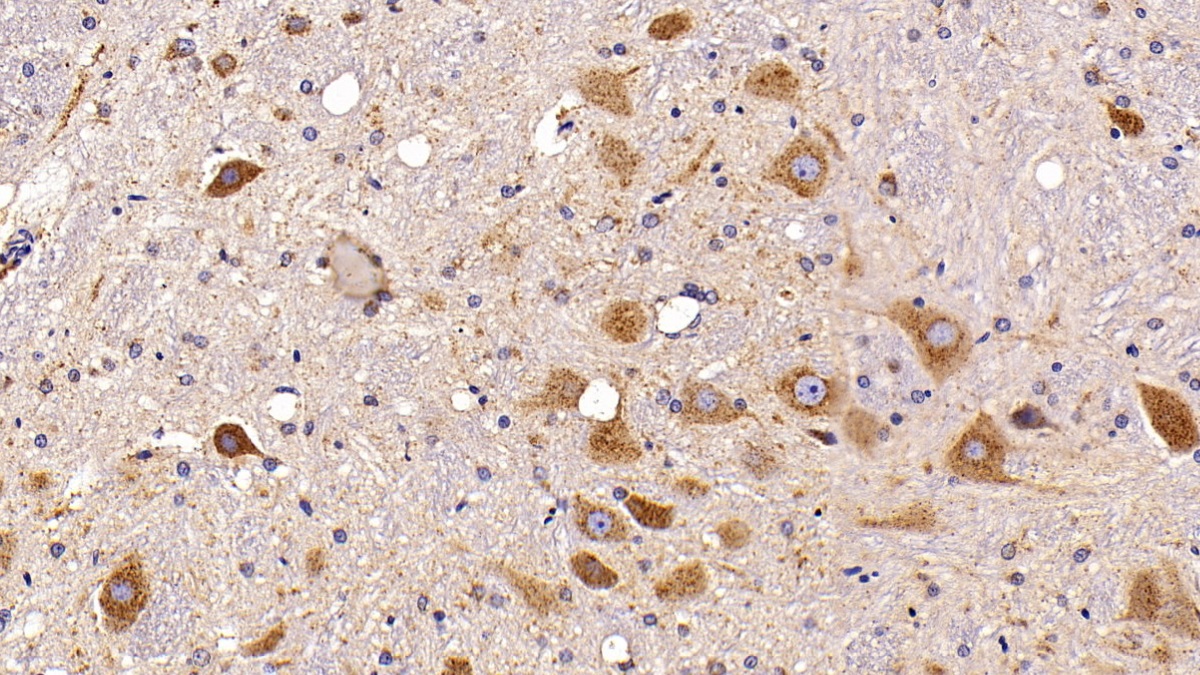
| Валидировано для | IHC WB Иммуногистохимия; Вестерн-блоттинг |
| Рекомендуемые разведения | WB: 0.01-2 мкг/мл; IHC: 5-20 мкг/мл; ICC: 5-20 мкг/мл; Оптимальное разведение определяется конечным потребителем |
| Метод очистки | Антигенспецифическая аффинная хроматография с последующей аффинной хроматографией с белком А |
| Состав буфера | 0.01M PBS, pH7.4, 0.05% Proclin-300, 50% глицерин |
| Условия доставки | термобокс с аккумуляторами холода |
| Условия хранения | Сразу после получения аликвотировать и хранить при -20ºС до 24 месяцев. Для частого использования хранить при +4ºС не более 2 недель. Избегать повторения циклов замерзания/оттаивания |
| Срок хранения | 24 месяца |
| Производитель | Cloud-Clone Corp. |
| Ссылка на страницу товара на сайте производителя | http://www.cloud-clone.com/products/PAC756Hu01.html |
|
Артикул
|
Наименование |
Производитель
|
|---|
|
Артикул
|
Наименование |
Производитель
|
|---|
|
Артикул
|
Наименование |
Производитель
|
|---|
|
Артикул
|
Наименование |
Производитель
|
|---|
Акции и предложения
Популярные продукты:
Human Alpha methylacyl CoA racemase(AMACR) ELISA kit (E01A1414)
Организм: человек
Диапазон определения: 250-5000 пг/мл
Чувствительность: 1 пг/мл
Диапазон определения: 250-5000 пг/мл
Чувствительность: 1 пг/мл
Anti-Grass carp IgM Antibody (R4E09) (RWJ93201)
Источник (хозяин): мышь
Реактивность подтвержденная: рыба
Валидировано для: ELISA, FCM, IF, WB
Реактивность подтвержденная: рыба
Валидировано для: ELISA, FCM, IF, WB
Anti-Sex Hormone Binding Globulin (SHBG) Monoclonal Antibody (FAA396Hu04)
Источник (хозяин): мышь
Реактивность подтвержденная: человек
Валидировано для: FCM
Реактивность подтвержденная: человек
Валидировано для: FCM
ELISA Kit DIY Materials for Cofilin 1 (CFL1) (KSB559Hu01)
Организм: человек
Диапазон определения: 0.156-10 нг/мл
Чувствительность: 0.055 нг/мл
Диапазон определения: 0.156-10 нг/мл
Чувствительность: 0.055 нг/мл
ELISA Kit for Centrosomal Protein 55kDa (CEP55) (SEF267Hu)
Организм: человек
Диапазон определения: 0.156-10 нг/мл
Чувствительность: 0.057 нг/мл
Диапазон определения: 0.156-10 нг/мл
Чувствительность: 0.057 нг/мл
Goat Hepatic lipase ELISA kit (E06H0253)
Организм: коза

