| UNIPROT | Q04609 |
| Иммуноген | RPC512Hu01-Recombinant Prostate-specific Membrane Antigen (PMSA) |
Polyclonal Antibody to Prostate-specific Membrane Antigen (PMSA) (PAC512Hu01)
Реактивность подтвержденная:
человек
Источник (хозяин):
кролик
Валидировано для:
IHC
WB
Характеристики
Техническое описание
| Русское название | PAC512Hu01 Поликлональное антитело к PMSA (человек) <Cloud-Clone,Китай> |
| Каталожный номер | PAC512Hu01 |
| Название антигена | Glutamate Carboxypeptidase II (GCPII) |
| UNIPROT | Q04609 |
| Иммуноген | RPC512Hu01-Recombinant Prostate-specific Membrane Antigen (PMSA) |
| Английские синонимы | FOLH1, PSM, FGCP, FOLH, GCP2, NAALAD1, PSMA, mGCP, NAALADase I, Prostate-specific membrane antigen, Folate Hydrolase 1, Folylpoly-gamma-glutamate carboxypeptidase |
| Русские синонимы | Фолатгидролаза 1 |
Реактивность подтвержденная Нужна другая реактивность? |
человек |
| Реактивность предсказываемая | мышь, крыса |
| Источник (хозяин) | кролик |
| Клональность | поликлональное |
| Рекомбинантное | нет |
| Готовое к использованию | нет |
| Концентрация | 0.36 мг/мл |
| Конъюгат | По запросу: HRP, biotin, PerCP, PE, Cy3, FITC, Cy7, Cy5.5, PE-Cy5, PE-Cy7, PerCp-Cy5.5, APC, Cy5, PE-Cy3, PE-Cy5.5, APC-Cy7, Biotin-APC, FITC-Biotin, TRITC, APC-Cy5, AF488, AF594, AF405, AF555, AF700, AF647, AF750 |
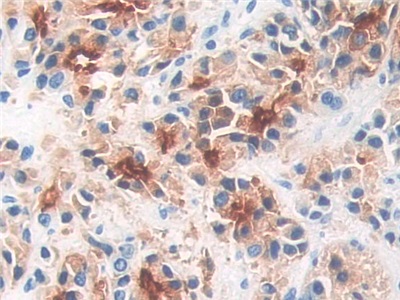
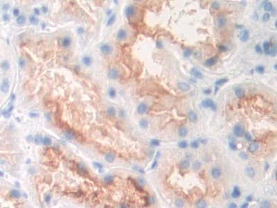
| Валидировано для | IHC WB Иммуногистохимия; Вестерн-блоттинг |
| Рекомендуемые разведения | WB: 0.01-2 мкг/мл; IHC: 5-20 мкг/мл; Оптимальное разведение определяется конечным потребителем |
| Метод очистки | Антигенспецифическая аффинная хроматография с последующей аффинной хроматографией с белком А |
| Состав буфера | 0.01M PBS, pH7.4, 0.05% Proclin-300, 50% глицерин |
| Условия доставки | термобокс с аккумуляторами холода |
| Условия хранения | Сразу после получения аликвотировать и хранить при -20ºС до 24 месяцев. Для частого использования хранить при +4ºС не более 2 недель. Избегать повторения циклов замерзания/оттаивания |
| Срок хранения | 24 месяца |
| Производитель | Cloud-Clone Corp. |
| Ссылка на страницу товара на сайте производителя | http://www.cloud-clone.com/products/PAC512Hu01.html |
|
Артикул
|
Наименование |
Производитель
|
|---|
|
Артикул
|
Наименование |
Производитель
|
|---|
|
Артикул
|
Наименование |
Производитель
|
|---|
|
Артикул
|
Наименование |
Производитель
|
|---|
Акции и предложения
Популярные продукты:
CLIA Kit for Carboxylesterase 1 (CES1) (SCC374Hu)
Организм: человек
Диапазон определения: 0.14-100 нг/мл
Чувствительность: 0.055 нг/мл
Диапазон определения: 0.14-100 нг/мл
Чувствительность: 0.055 нг/мл
Rabbit calpain 1(CAPN1) ELISA kit (E04C1353)
Организм: кролик
Canine Glutathione ELISA kit (E08G0233)
Организм: собака
Anti ACAN Polyclonal Antibody (PHD15202)
Источник (хозяин): кролик
Реактивность подтвержденная: человек, мышь, крыса
Валидировано для: ELISA, IHC, WB
Реактивность подтвержденная: человек, мышь, крыса
Валидировано для: ELISA, IHC, WB
Anti-CTCF Antibody (R3L93) (RHE68303)
Источник (хозяин): мышь
Реактивность подтвержденная: человек, обезьяна
Валидировано для: WB
Реактивность подтвержденная: человек, обезьяна
Валидировано для: WB
GMPR Polyclonal Antibody (E-AB-65884)
Источник (хозяин): кролик
Реактивность подтвержденная: человек, мышь
Валидировано для: WB
Реактивность подтвержденная: человек, мышь
Валидировано для: WB

