| UNIPROT | P15309 |
| Иммуноген | RPA168Hu01-Recombinant Prostatic Acid Phosphatase (PAP) |
Polyclonal Antibody to Prostatic Acid Phosphatase (PAP) (PAA168Hu01)
Реактивность подтвержденная:
человек
Источник (хозяин):
кролик
Валидировано для:
IHC
WB
Характеристики
Техническое описание
| Русское название | PAA168Hu01 Поликлональное антитело к PAP (человек) <Cloud-Clone,Китай> |
| Каталожный номер | PAA168Hu01 |
| Название антигена | Acid Phosphatase 3, Prostatic (ACP3) |
| UNIPROT | P15309 |
| Иммуноген | RPA168Hu01-Recombinant Prostatic Acid Phosphatase (PAP) |
| Английские синонимы | PSAP, ACPP, PAP, PAPf39, 5"""-NT, Prostatic Specific Acid Phosphatase, Ecto-5"""-Nucleotidase |
Реактивность подтвержденная Нужна другая реактивность? |
человек |
| Источник (хозяин) | кролик |
| Клональность | поликлональное |
| Рекомбинантное | нет |
| Готовое к использованию | нет |
| Концентрация | 500 мкг/мл |
| Конъюгат | По запросу: HRP, biotin, PerCP, PE, Cy3, FITC, Cy7, Cy5.5, PE-Cy5, PE-Cy7, PerCp-Cy5.5, APC, Cy5, PE-Cy3, PE-Cy5.5, APC-Cy7, Biotin-APC, FITC-Biotin, TRITC, APC-Cy5, AF488, AF594, AF405, AF555, AF700, AF647, AF750 |
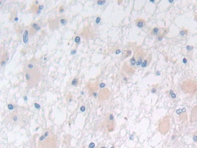
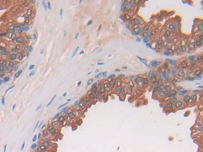
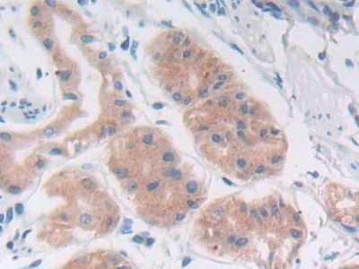
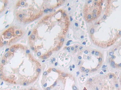
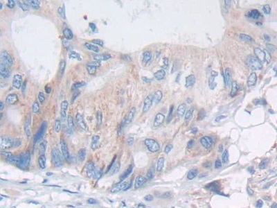
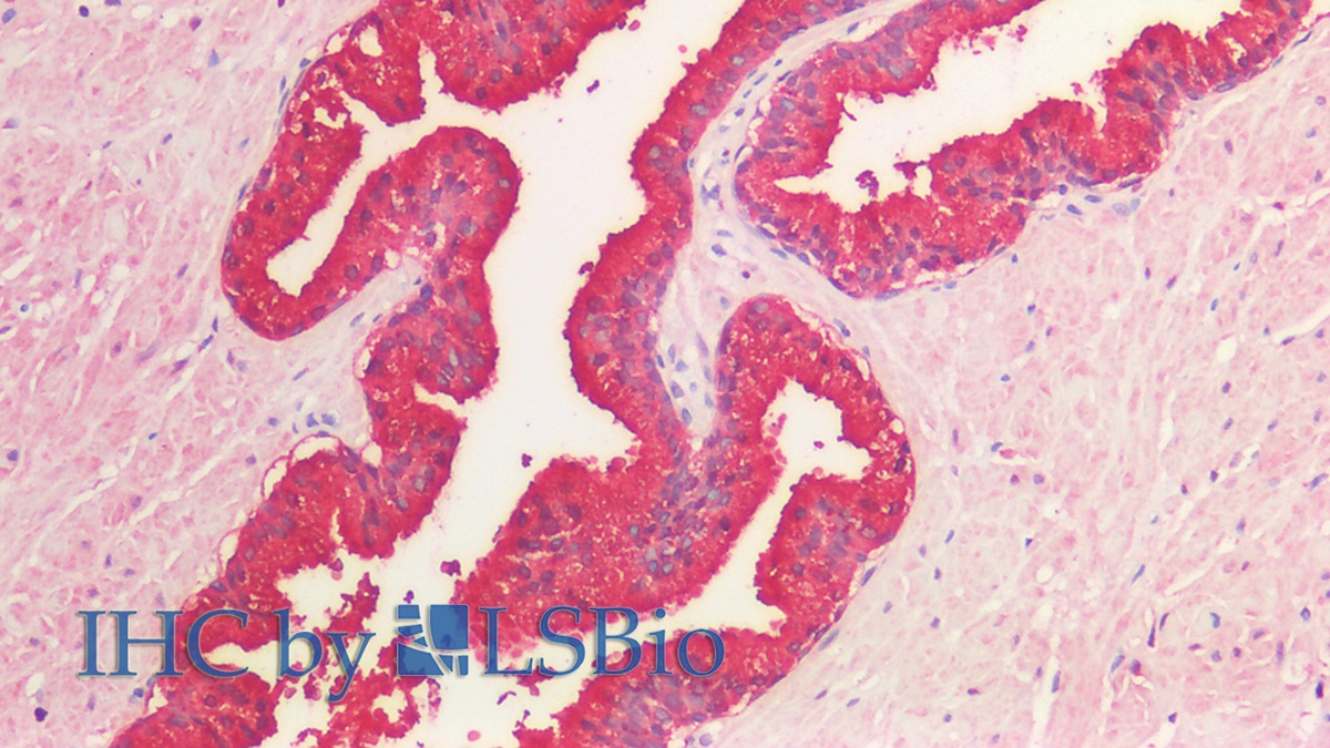
| Валидировано для | IHC WB Иммуногистохимия; Вестерн-блоттинг |
| Рекомендуемые разведения | WB: 0.01-2 мкг/мл; IHC: 5-20 мкг/мл; ICC: 5-20 мкг/мл; Оптимальное разведение определяется конечным потребителем |
| Метод очистки | Антигенспецифическая аффинная хроматография с последующей аффинной хроматографией с белком А |
| Состав буфера | 0.01M PBS, pH7.4, 0.05% Proclin-300, 50% глицерин |
| Условия доставки | термобокс с аккумуляторами холода |
| Условия хранения | Сразу после получения аликвотировать и хранить при -20ºС до 24 месяцев. Для частого использования хранить при +4ºС не более 2 недель. Избегать повторения циклов замерзания/оттаивания |
| Срок хранения | 24 месяца |
| Производитель | Cloud-Clone Corp. |
| Ссылка на страницу товара на сайте производителя | http://www.cloud-clone.com/products/PAA168Hu01.html |
|
Артикул
|
Наименование |
Производитель
|
|---|
|
Артикул
|
Наименование |
Производитель
|
|---|
|
Артикул
|
Наименование |
Производитель
|
|---|
|
Артикул
|
Наименование |
Производитель
|
|---|
Акции и предложения
Популярные продукты:
Anti-CD185/CXCR5 Antibody (JB11-40), FITC (FHD99921)
Источник (хозяин): кролик
Реактивность подтвержденная: человек, мышь, крыса
Валидировано для: FCM, WB
Реактивность подтвержденная: человек, мышь, крыса
Валидировано для: FCM, WB
Anti-Borreliella burgdorferi ospA Antibody (SAb2295) (RXX25902)
Источник (хозяин): человек
Реактивность подтвержденная: бактерии
Валидировано для: ELISA, WB
Реактивность подтвержденная: бактерии
Валидировано для: ELISA, WB
Goat Acyloxyacyl hydrolase(AOAH) ELISA kit (E06A1552)
Организм: коза
Goat DNA Methyltransferase 3A ELISA kit (E06D0321)
Организм: коза
Mouse G protein coupled receptor 78 ELISA kit (E03G0232)
Организм: мышь
Human Arylsulfatase D(ARSD) ELISA kit (E01A1685)
Организм: человек
Диапазон определения: 10-250 нг/мл
Чувствительность: 1 нг/мл
Диапазон определения: 10-250 нг/мл
Чувствительность: 1 нг/мл

