| UNIPROT | P08003 |
| Иммуноген | RPD774Mu01-Recombinant Protein Disulfide Isomerase A4 (PDIA4) |
Polyclonal Antibody to Protein Disulfide Isomerase A4 (PDIA4) (PAD774Mu01)
Реактивность подтвержденная:
мышь
Источник (хозяин):
кролик
Валидировано для:
IHC
WB
Характеристики
Техническое описание
| Русское название | PAD774Mu01 Поликлональное антитело к PDIA4 (мышь) <Cloud-Clone,Китай> |
| Каталожный номер | PAD774Mu01 |
| Название антигена | Protein Disulfide Isomerase A4 (PDIA4) |
| UNIPROT | P08003 |
| Иммуноген | RPD774Mu01-Recombinant Protein Disulfide Isomerase A4 (PDIA4) |
| Английские синонимы | PDI-A4, ERP70, ERP72, Protein Disulfide Isomerase-Associated 4, Endoplasmic reticulum resident protein 70 |
Реактивность подтвержденная Нужна другая реактивность? |
мышь |
| Реактивность предсказываемая | человек |
| Источник (хозяин) | кролик |
| Клональность | поликлональное |
| Рекомбинантное | нет |
| Готовое к использованию | нет |
| Концентрация | 0.39 мг/мл |
| Конъюгат | По запросу: HRP, biotin, PerCP, PE, Cy3, FITC, Cy7, Cy5.5, PE-Cy5, PE-Cy7, PerCp-Cy5.5, APC, Cy5, PE-Cy3, PE-Cy5.5, APC-Cy7, Biotin-APC, FITC-Biotin, TRITC, APC-Cy5, AF488, AF594, AF405, AF555, AF700, AF647, AF750 |
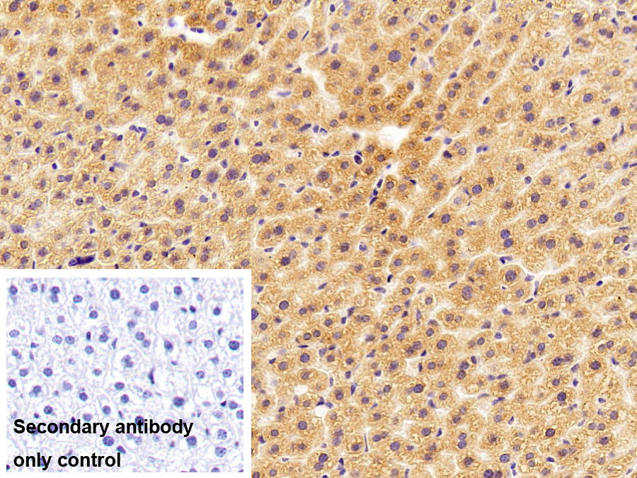
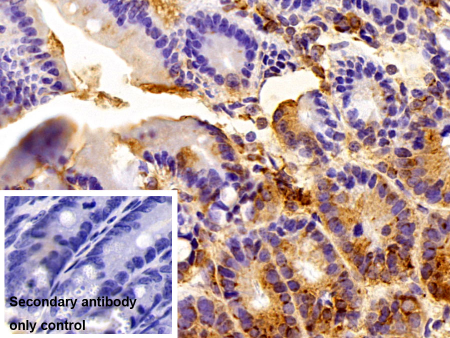
| Валидировано для | IHC WB Иммуногистохимия; Вестерн-блоттинг |
| Рекомендуемые разведения | WB: 0.5-2 мкг/мл; IHC: 5-20 мкг/мл; ICC: 5-20 мкг/мл; Оптимальное разведение определяется конечным потребителем |
| Метод очистки | Антигенспецифическая аффинная хроматография с последующей аффинной хроматографией с белком А |
| Состав буфера | PBS, pH7.4, 0.02% NaN3, 50% глицерин |
| Условия доставки | термобокс с аккумуляторами холода |
| Условия хранения | Сразу после получения аликвотировать и хранить при -20ºС до 24 месяцев. Для частого использования хранить при +4ºС не более 2 недель. Избегать повторения циклов замерзания/оттаивания |
| Срок хранения | 24 месяца |
| Производитель | Cloud-Clone Corp. |
| Ссылка на страницу товара на сайте производителя | http://www.cloud-clone.com/products/PAD774Mu01.html |
|
Артикул
|
Наименование |
Производитель
|
|---|
|
Артикул
|
Наименование |
Производитель
|
|---|
|
Артикул
|
Наименование |
Производитель
|
|---|
|
Артикул
|
Наименование |
Производитель
|
|---|
Акции и предложения
Популярные продукты:
Guinea Pig Plakophilin 1 ELISA kit (E05P0119)
Организм: морская свинка
Porcine Resistin ELISA kit (E07R0351)
Организм: свинья
Диапазон определения: 25-500 пг/мл
Чувствительность: 1 пг/мл
Диапазон определения: 25-500 пг/мл
Чувствительность: 1 пг/мл
Recombinant Human CLEC1A/CLEC-1 Protein (Fc Tag) (PKSH030889)
Источник (хозяин): HEK293
Организм: человек
Фрагмент: Gln22-Asp280
Теги: N-hFc
Биоактивность: нет
Организм: человек
Фрагмент: Gln22-Asp280
Теги: N-hFc
Биоактивность: нет
Recombinant Human CLEC10A/CD301 Protein (His Tag) (PKSH032256)
Источник (хозяин): HEK293
Организм: человек
Фрагмент: Gln61-His316
Теги: C-His
Биоактивность: нет
Организм: человек
Фрагмент: Gln61-His316
Теги: C-His
Биоактивность: нет
Recombinant Human CLEC10A/CD301 Protein (Fc Tag) (PKSH031411)
Источник (хозяин): HEK293
Организм: человек
Фрагмент: Gln61-His292
Теги: N-hFc
Биоактивность: нет
Организм: человек
Фрагмент: Gln61-His292
Теги: N-hFc
Биоактивность: нет
Recombinant SARS-CoV-2 Spike RBD (K458R)(His Tag) (PKSV030407)
Источник (хозяин): HEK293
Организм: вирусы
Фрагмент: Arg319-Phe541(K458R)
Теги: C-His
Биоактивность: нет
Организм: вирусы
Фрагмент: Arg319-Phe541(K458R)
Теги: C-His
Биоактивность: нет

