| UNIPROT | P31749 |
| Иммуноген | RPC231Hu01-Recombinant Protein Kinase B Alpha (PKBa) |
Polyclonal Antibody to Protein Kinase B Alpha (PKBa) (PAC231Hu01)
Реактивность подтвержденная:
человек
Источник (хозяин):
кролик
Валидировано для:
IHC
WB
Характеристики
Публикации
Техническое описание
| Русское название | PAC231Hu01 Поликлональное антитело к PKBa (человек) <Cloud-Clone,Китай> |
| Каталожный номер | PAC231Hu01 |
| Название антигена | Protein Kinase B Alpha (PKBa) |
| UNIPROT | P31749 |
| Иммуноген | RPC231Hu01-Recombinant Protein Kinase B Alpha (PKBa) |
| Английские синонимы | AKT1, AKT, PKB-A, Proto-oncogene c-Akt, RAC-Alpha Serine/Threonine-Protein Kinase, V-akt Murine Thymoma Viral Oncogene Homolog 1 |
Реактивность подтвержденная Нужна другая реактивность? |
человек |
| Реактивность предсказываемая | мышь, крыса, собака, свинья, корова, курица |
| Источник (хозяин) | кролик |
| Клональность | поликлональное |
| Рекомбинантное | нет |
| Готовое к использованию | нет |
| Концентрация | 0.5 мг/мл |
| Конъюгат | По запросу: HRP, biotin, PerCP, PE, Cy3, FITC, Cy7, Cy5.5, PE-Cy5, PE-Cy7, PerCp-Cy5.5, APC, Cy5, PE-Cy3, PE-Cy5.5, APC-Cy7, Biotin-APC, FITC-Biotin, TRITC, APC-Cy5, AF488, AF594, AF405, AF555, AF700, AF647, AF750 |
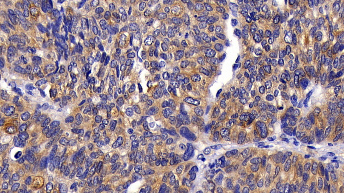
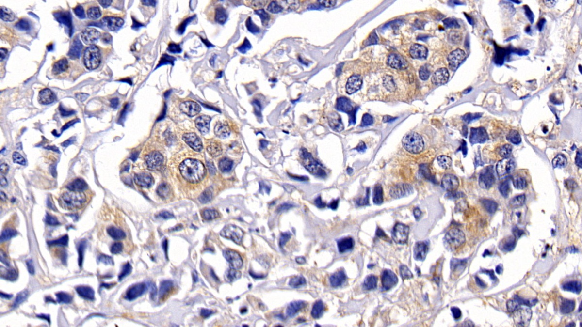
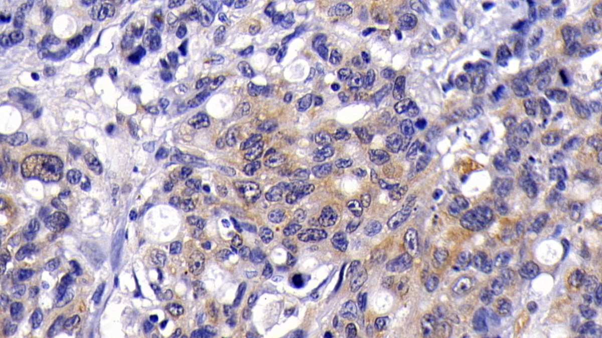
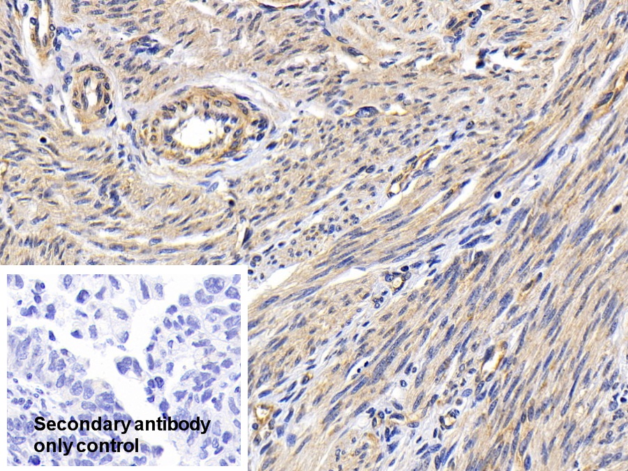
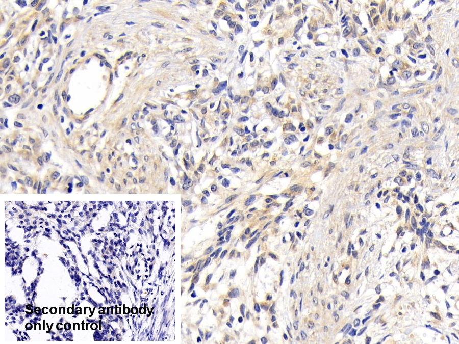
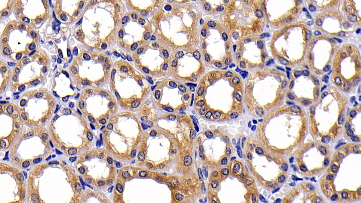
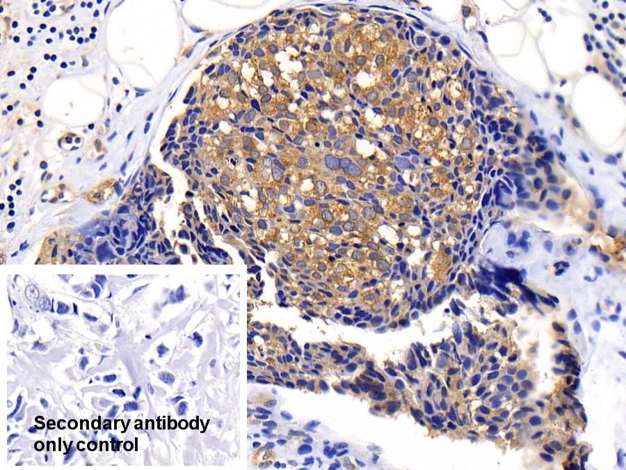
| Валидировано для | IHC WB Иммуногистохимия; Вестерн-блоттинг |
| Рекомендуемые разведения | WB: 0.01-3 мкг/мл; IHC: 5-30 мкг/мл; ICC: 5-30 мкг/мл; Оптимальное разведение определяется конечным потребителем |
| Метод очистки | Антигенспецифическая аффинная хроматография с последующей аффинной хроматографией с белком А |
| Состав буфера | PBS, pH7.4, 0.02% NaN3, 50% глицерин |
| Условия доставки | термобокс с аккумуляторами холода |
| Условия хранения | Сразу после получения аликвотировать и хранить при -20ºС до 24 месяцев. Для частого использования хранить при +4ºС не более 2 недель. Избегать повторения циклов замерзания/оттаивания |
| Срок хранения | 24 месяца |
| Производитель | Cloud-Clone Corp. |
| Ссылка на страницу товара на сайте производителя | http://www.cloud-clone.com/products/PAC231Hu01.html |
|
Артикул
|
Наименование |
Производитель
|
|---|
|
Артикул
|
Наименование |
Производитель
|
|---|
|
Артикул
|
Наименование |
Производитель
|
|---|
|
Артикул
|
Наименование |
Производитель
|
|---|
|
Артикул
|
Наименование |
Производитель
|
|---|
|
Артикул
|
Наименование |
Производитель
|
|---|
|
Артикул
|
Наименование |
Производитель
|
|---|
|
Артикул
|
Наименование |
Производитель
|
|---|
|
Артикул
|
Наименование |
Производитель
|
|---|
|
Артикул
|
Наименование |
Производитель
|
|---|
|
Артикул
|
Наименование |
Производитель
|
|---|
Акции и предложения
Популярные продукты:
ELISA Kit for Methionine (Met) (CEG466Ge)
Организм: для всех
Диапазон определения: 246.9-20,000 нг/мл
Чувствительность: 0.117 нг/мл
Диапазон определения: 246.9-20,000 нг/мл
Чувствительность: 0.117 нг/мл
Chicken Matrilysin ELISA kit (E12M0234)
Организм: курица
Canine LDL Receptor Related Protein 5 ELISA Kit (E08L1223)
Организм: собака

