| UNIPROT | P31751 |
| Иммуноген | RPB719Hu01-Recombinant Protein Kinase B Beta (PKBb) |
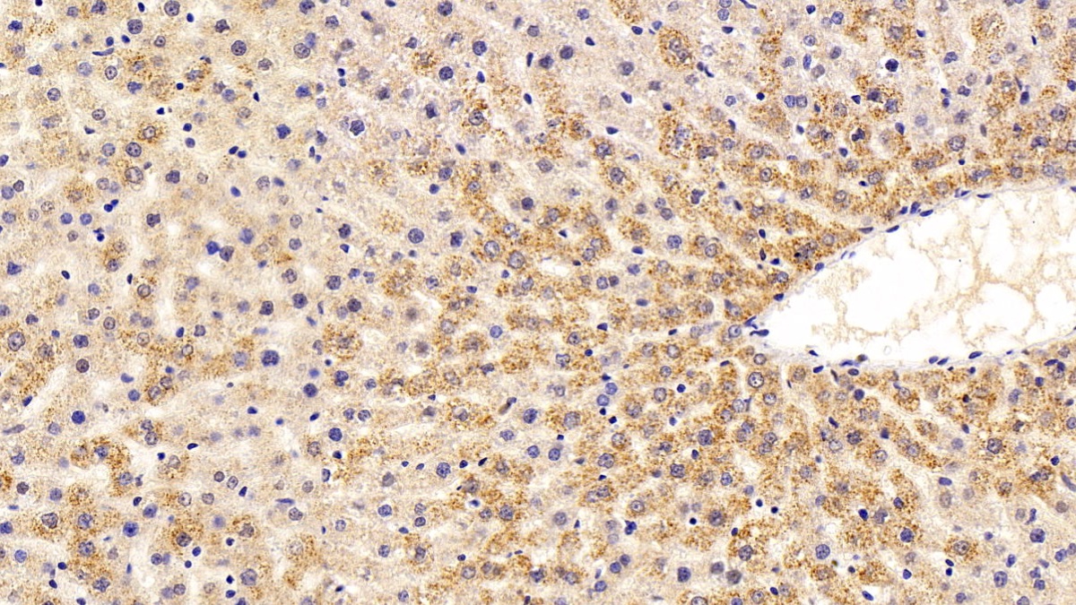
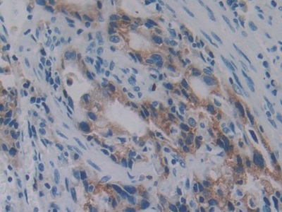
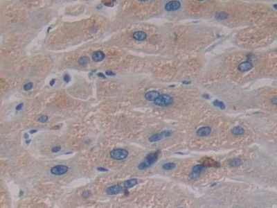
Polyclonal Antibody to Protein Kinase B Beta (PKBb) (PAB719Hu01)
Реактивность подтвержденная:
человек
Источник (хозяин):
кролик
Валидировано для:
IHC
WB
Характеристики
Техническое описание
| Русское название | PAB719Hu01 Поликлональное антитело к PKBb (человек) <Cloud-Clone,Китай> |
| Каталожный номер | PAB719Hu01 |
| Название антигена | Protein Kinase B Beta (PKBb) |
| UNIPROT | P31751 |
| Иммуноген | RPB719Hu01-Recombinant Protein Kinase B Beta (PKBb) |
| Английские синонимы | AKT2, PKBBETA, PRKB-B, RAC-BETA, RAC-Beta Serine/Threonine-Protein Kinase, V-Akt Murine Thymoma Viral Oncogene Homolog 2 |
Реактивность подтвержденная Нужна другая реактивность? |
человек |
| Реактивность предсказываемая | мышь, крыса |
| Источник (хозяин) | кролик |
| Клональность | поликлональное |
| Рекомбинантное | нет |
| Готовое к использованию | нет |
| Концентрация | 0.28 мг/мл |
| Конъюгат | По запросу: HRP, biotin, PerCP, PE, Cy3, FITC, Cy7, Cy5.5, PE-Cy5, PE-Cy7, PerCp-Cy5.5, APC, Cy5, PE-Cy3, PE-Cy5.5, APC-Cy7, Biotin-APC, FITC-Biotin, TRITC, APC-Cy5, AF488, AF594, AF405, AF555, AF700, AF647, AF750 |
| Валидировано для | IHC WB Иммуногистохимия; Вестерн-блоттинг |
| Рекомендуемые разведения | WB: 0.01-2 мкг/мл; IHC: 5-20 мкг/мл; ICC: 5-20 мкг/мл; Оптимальное разведение определяется конечным потребителем |
| Метод очистки | Антигенспецифическая аффинная хроматография с последующей аффинной хроматографией с белком А |
| Состав буфера | 0.01M PBS, pH7.4, 0.05% Proclin-300, 50% глицерин |
| Условия доставки | термобокс с аккумуляторами холода |
| Условия хранения | Сразу после получения аликвотировать и хранить при -20ºС до 24 месяцев. Для частого использования хранить при +4ºС не более 2 недель. Избегать повторения циклов замерзания/оттаивания |
| Срок хранения | 24 месяца |
| Производитель | Cloud-Clone Corp. |
| Ссылка на страницу товара на сайте производителя | http://www.cloud-clone.com/products/PAB719Hu01.html |
|
Артикул
|
Наименование |
Производитель
|
|---|
|
Артикул
|
Наименование |
Производитель
|
|---|
|
Артикул
|
Наименование |
Производитель
|
|---|
|
Артикул
|
Наименование |
Производитель
|
|---|
Акции и предложения
Популярные продукты:
Rat Condensin complex subunit 2(NCAPH) ELISA kit (E02C2357)
Организм: крыса
Monkey Cystatin F(CST7) ELISA kit (E09C2126)
Организм: обезьяна
Rabbit Zinc finger protein PLAG1(PLAG1) ELISA kit (E04Z0012)
Организм: кролик
Sheep Iodotyrosine dehalogenase 1(IYD) ELISA kit (E14I0450)
Организм: овца
Rabbit Growth Factor Receptor Bound Protein 14 ELISA kit (E04G0244)
Организм: кролик
Rat Follitropin subunit β(FSHB) ELISA kit (E02F0372)
Организм: крыса

