| UNIPROT | Q8BZ03 |
| Иммуноген | RPA510Mu01-Recombinant Protein Kinase D2 (PKD2) |
Polyclonal Antibody to Protein Kinase D2 (PKD2) (PAA510Mu01)
Реактивность подтвержденная:
мышь
Источник (хозяин):
кролик
Валидировано для:
IHC
WB
Характеристики
Техническое описание
| Русское название | PAA510Mu01 Поликлональное антитело к PKD2 (мышь) <Cloud-Clone,Китай> |
| Каталожный номер | PAA510Mu01 |
| Название антигена | Protein Kinase D2 (PKD2) |
| UNIPROT | Q8BZ03 |
| Иммуноген | RPA510Mu01-Recombinant Protein Kinase D2 (PKD2) |
| Английские синонимы | PRKD2, PRK-D2, PRKD-2, PK-D2, HSPC187, nPKC-D2, Serine/threonine-protein kinase D2 |
Реактивность подтвержденная Нужна другая реактивность? |
мышь |
| Реактивность предсказываемая | человек, крыса |
| Источник (хозяин) | кролик |
| Клональность | поликлональное |
| Рекомбинантное | нет |
| Готовое к использованию | нет |
| Концентрация | 500 мкг/мл |
| Конъюгат | По запросу: HRP, biotin, PerCP, PE, Cy3, FITC, Cy7, Cy5.5, PE-Cy5, PE-Cy7, PerCp-Cy5.5, APC, Cy5, PE-Cy3, PE-Cy5.5, APC-Cy7, Biotin-APC, FITC-Biotin, TRITC, APC-Cy5, AF488, AF594, AF405, AF555, AF700, AF647, AF750 |
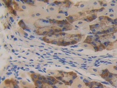
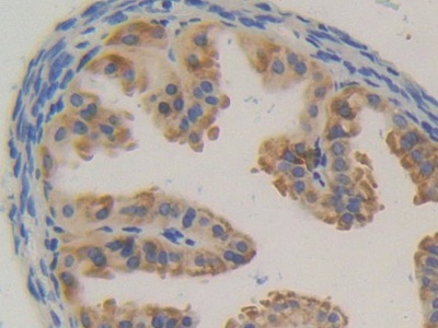
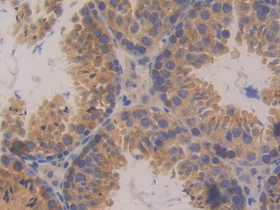
| Валидировано для | IHC WB Иммуногистохимия; Вестерн-блоттинг |
| Рекомендуемые разведения | WB: 0.5-5 мкг/мл; IHC: 5-50 мкг/мл; ICC: 5-50 мкг/мл; Оптимальное разведение определяется конечным потребителем |
| Метод очистки | Антигенспецифическая аффинная хроматография с последующей аффинной хроматографией с белком А |
| Состав буфера | 0.01M PBS, pH7.4, 0.05% Proclin-300, 50% глицерин |
| Условия доставки | термобокс с аккумуляторами холода |
| Условия хранения | Сразу после получения аликвотировать и хранить при -20ºС до 24 месяцев. Для частого использования хранить при +4ºС не более 2 недель. Избегать повторения циклов замерзания/оттаивания |
| Срок хранения | 24 месяца |
| Производитель | Cloud-Clone Corp. |
| Ссылка на страницу товара на сайте производителя | http://www.cloud-clone.com/products/PAA510Mu01.html |
|
Артикул
|
Наименование |
Производитель
|
|---|
|
Артикул
|
Наименование |
Производитель
|
|---|
|
Артикул
|
Наименование |
Производитель
|
|---|
Акции и предложения
Популярные продукты:
ELISA Kit DIY Materials for Chitinase 1 (CHIT1) (KSJ374Mu01)
Организм: мышь
Диапазон определения: 0.156-10 нг/мл
Чувствительность: 0.056 нг/мл
Диапазон определения: 0.156-10 нг/мл
Чувствительность: 0.056 нг/мл
Porcine Placental Protein 13 ELISA kit (E07P0135)
Организм: свинья
Mouse Antidiuretic hormone ELISA kit (E03A0430)
Организм: мышь
Диапазон определения: 25-500 пг/мл
Чувствительность: 1 пг/мл
Диапазон определения: 25-500 пг/мл
Чувствительность: 1 пг/мл
Rat Antidiuretic hormone ELISA kit (E02A0430)
Организм: крыса
Диапазон определения: 50-1000 пг/мл
Чувствительность: 1 пг/мл
Диапазон определения: 50-1000 пг/мл
Чувствительность: 1 пг/мл
Guinea Pig Early Growth Response Protein 4 ELISA kit (E05E0046)
Организм: морская свинка
Anti-PEG Antibody (E11.2#) (RGK24701)
Источник (хозяин): мышь
Реактивность подтвержденная: для всех
Валидировано для: ELISA, WB
Реактивность подтвержденная: для всех
Валидировано для: ELISA, WB

