| UNIPROT | Q9H488 |
| Иммуноген | RPC072Hu01-Recombinant Protein O-Fucosyltransferase 1 (POFUT1) |
Polyclonal Antibody to Protein O-Fucosyltransferase 1 (POFUT1) (PAC072Hu01)
Реактивность подтвержденная:
человек
Источник (хозяин):
кролик
Валидировано для:
IHC
WB
Характеристики
Техническое описание
| Русское название | PAC072Hu01 Поликлональное антитело к POFUT1 (человек) <Cloud-Clone,Китай> |
| Каталожный номер | PAC072Hu01 |
| Название антигена | Protein O-Fucosyltransferase 1 (POFUT1) |
| UNIPROT | Q9H488 |
| Иммуноген | RPC072Hu01-Recombinant Protein O-Fucosyltransferase 1 (POFUT1) |
| Английские синонимы | O-FUT, O-Fuc-T, FUT12, GDP-Fucose Protein O-Fucosyltransferase 1, Peptide-O-fucosyltransferase 1 |
Реактивность подтвержденная Нужна другая реактивность? |
человек |
| Источник (хозяин) | кролик |
| Клональность | поликлональное |
| Рекомбинантное | нет |
| Готовое к использованию | нет |
| Концентрация | 0.5 мг/мл |
| Конъюгат | По запросу: HRP, biotin, PerCP, PE, Cy3, FITC, Cy7, Cy5.5, PE-Cy5, PE-Cy7, PerCp-Cy5.5, APC, Cy5, PE-Cy3, PE-Cy5.5, APC-Cy7, Biotin-APC, FITC-Biotin, TRITC, APC-Cy5, AF488, AF594, AF405, AF555, AF700, AF647, AF750 |
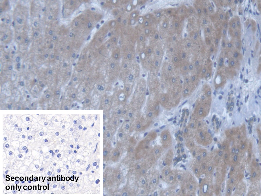
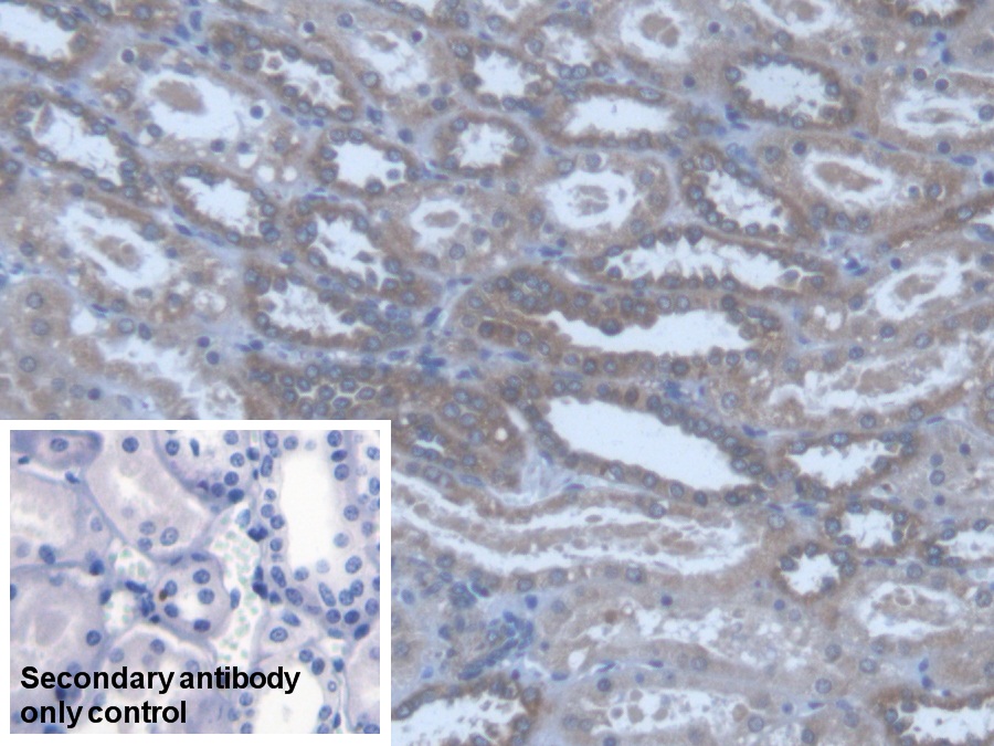
| Валидировано для | IHC WB Иммуногистохимия; Вестерн-блоттинг |
| Рекомендуемые разведения | WB: 0.01-2 мкг/мл; IHC: 5-20 мкг/мл; Оптимальное разведение определяется конечным потребителем |
| Метод очистки | Антигенспецифическая аффинная хроматография с последующей аффинной хроматографией с белком А |
| Состав буфера | 0.01M PBS, pH7.4, 0.05% Proclin-300, 50% глицерин |
| Условия доставки | термобокс с аккумуляторами холода |
| Условия хранения | Сразу после получения аликвотировать и хранить при -20ºС до 24 месяцев. Для частого использования хранить при +4ºС не более 2 недель. Избегать повторения циклов замерзания/оттаивания |
| Срок хранения | 24 месяца |
| Производитель | Cloud-Clone Corp. |
| Ссылка на страницу товара на сайте производителя | http://www.cloud-clone.com/products/PAC072Hu01.html |
|
Артикул
|
Наименование |
Производитель
|
|---|
|
Артикул
|
Наименование |
Производитель
|
|---|
|
Артикул
|
Наименование |
Производитель
|
|---|
Акции и предложения
Популярные продукты:
Bovine Matrix Metalloproteinase 28 ELISA kit (E11M0306)
Организм: корова
Rabbit Dynamin 1 ELISA kit (E04D0247)
Организм: кролик
Guinea Pig Delta Sleep Inducing Peptide ELISA kit (E05D0058)
Организм: морская свинка
Anti-Peach Pru p 1/Pru p 3 Polyclonal Antibody (PZZ05501)
Источник (хозяин): кролик
Реактивность подтвержденная: растения
Валидировано для: ELISA, IHC, WB
Реактивность подтвержденная: растения
Валидировано для: ELISA, IHC, WB
Rabbit Anti-Human IgG(H+L)(peroxidase/HRP conjugated) (E-AB-1006)
Изотип: IgG
Источник (хозяин): кролик
Реактивность подтвержденная: человек
Валидировано для: ELISA, WB
Источник (хозяин): кролик
Реактивность подтвержденная: человек
Валидировано для: ELISA, WB

