| UNIPROT | Q9Y6A1 |
| Иммуноген | RPC732Hu01-Recombinant Protein O-Mannosyltransferase 1 (POMT1) |
Polyclonal Antibody to Protein O-Mannosyltransferase 1 (POMT1) (PAC732Hu01)
Реактивность подтвержденная:
человек
Источник (хозяин):
кролик
Валидировано для:
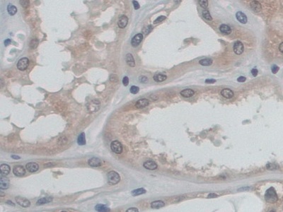
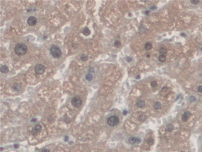
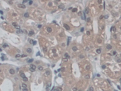
IHC
Характеристики
Техническое описание
| Русское название | PAC732Hu01 Поликлональное антитело к POMT1 (человек) <Cloud-Clone,Китай> |
| Каталожный номер | PAC732Hu01 |
| Название антигена | Protein O-Mannosyltransferase 1 (POMT1) |
| UNIPROT | Q9Y6A1 |
| Иммуноген | RPC732Hu01-Recombinant Protein O-Mannosyltransferase 1 (POMT1) |
| Английские синонимы | RT, LGMD2K, Dolichyl-phosphate-mannose--protein mannosyltransferase 1 |
Реактивность подтвержденная Нужна другая реактивность? |
человек |
| Источник (хозяин) | кролик |
| Клональность | поликлональное |
| Рекомбинантное | нет |
| Готовое к использованию | нет |
| Концентрация | 500 мкг/мл |
| Конъюгат | По запросу: HRP, biotin, PerCP, PE, Cy3, FITC, Cy7, Cy5.5, PE-Cy5, PE-Cy7, PerCp-Cy5.5, APC, Cy5, PE-Cy3, PE-Cy5.5, APC-Cy7, Biotin-APC, FITC-Biotin, TRITC, APC-Cy5, AF488, AF594, AF405, AF555, AF700, AF647, AF750 |
| Валидировано для | IHC Иммуногистохимия |
| Рекомендуемые разведения | WB: 0.2-2 мкг/мл; 1:250-2500; IHC: 5-20 мкг/мл; 1:25-100; ICC: 5-20 мкг/мл; 1:25-100; Оптимальное разведение определяется конечным потребителем |
| Метод очистки | Антигенспецифическая аффинная хроматография с последующей аффинной хроматографией с белком А |
| Состав буфера | 0.01M PBS, pH7.4, 0.05% Proclin-300, 50% глицерин |
| Условия доставки | термобокс с аккумуляторами холода |
| Условия хранения | Сразу после получения аликвотировать и хранить при -20ºС до 24 месяцев. Для частого использования хранить при +4ºС не более 2 недель. Избегать повторения циклов замерзания/оттаивания |
| Срок хранения | 24 месяца |
| Производитель | Cloud-Clone Corp. |
| Ссылка на страницу товара на сайте производителя | http://www.cloud-clone.com/products/PAC732Hu01.html |
|
Артикул
|
Наименование |
Производитель
|
|---|
|
Артикул
|
Наименование |
Производитель
|
|---|
|
Артикул
|
Наименование |
Производитель
|
|---|
Акции и предложения
Популярные продукты:
Rat ATP dependent RNA helicase DHX8(DHX8) ELISA kit (E02A1842)
Организм: крыса
Canine F actin capping protein subunit β(CAPZB) ELISA kit (E08F0357)
Организм: собака
Mouse CTD Phosphatase 1 ELISA kit (E03C0049)
Организм: мышь
Rat DNA Methyltransferase 3beta ELISA kit (E02D0322)
Организм: крыса
Bovine Anoctamin 4(ANO4) ELISA kit (E11A1530)
Организм: корова
Chicken Prefoldin subunit 5(PFDN5) ELISA kit (E12P0766)
Организм: курица

