| UNIPROT | P53813 |
| Иммуноген | RPB971Ra02-Recombinant Protein S (PROS) |
Polyclonal Antibody to Protein S (PROS) (PAB971Ra02)
Реактивность подтвержденная:
крыса
Источник (хозяин):
кролик
Валидировано для:
IHC
Характеристики
Техническое описание
| Русское название | PAB971Ra02 Поликлональное антитело к PROS (крыса) <Cloud-Clone,Китай> |
| Каталожный номер | PAB971Ra02 |
| Название антигена | Protein S (PROS) |
| UNIPROT | P53813 |
| Иммуноген | RPB971Ra02-Recombinant Protein S (PROS) |
| Английские синонимы | PSA, PS, PS26, PS21, PS22, PS23, PS24, PS25, VKDPS, VKDP-S, Protein Sa, Vitamin K Dependent Protein S |
Реактивность подтвержденная Нужна другая реактивность? |
крыса |
| Источник (хозяин) | кролик |
| Клональность | поликлональное |
| Рекомбинантное | нет |
| Готовое к использованию | нет |
| Концентрация | 500 мкг/мл |
| Конъюгат | По запросу: HRP, biotin, PerCP, PE, Cy3, FITC, Cy7, Cy5.5, PE-Cy5, PE-Cy7, PerCp-Cy5.5, APC, Cy5, PE-Cy3, PE-Cy5.5, APC-Cy7, Biotin-APC, FITC-Biotin, TRITC, APC-Cy5, AF488, AF594, AF405, AF555, AF700, AF647, AF750 |
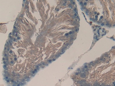
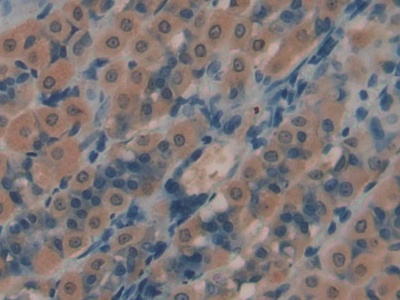
| Валидировано для | IHC Иммуногистохимия |
| Рекомендуемые разведения | WB: 0.2-2 мкг/мл; 1:250-2500; IHC: 5-20 мкг/мл; 1:25-100; ICC: 5-20 мкг/мл; 1:25-100; Оптимальное разведение определяется конечным потребителем |
| Метод очистки | Антигенспецифическая аффинная хроматография с последующей аффинной хроматографией с белком А |
| Состав буфера | 0.01M PBS, pH7.4, 0.05% Proclin-300, 50% глицерин |
| Условия доставки | термобокс с аккумуляторами холода |
| Условия хранения | Сразу после получения аликвотировать и хранить при -20ºС до 24 месяцев. Для частого использования хранить при +4ºС не более 2 недель. Избегать повторения циклов замерзания/оттаивания |
| Срок хранения | 24 месяца |
| Производитель | Cloud-Clone Corp. |
| Ссылка на страницу товара на сайте производителя | http://www.cloud-clone.com/products/PAB971Ra02.html |
|
Артикул
|
Наименование |
Производитель
|
|---|
|
Артикул
|
Наименование |
Производитель
|
|---|
|
Артикул
|
Наименование |
Производитель
|
|---|
|
Артикул
|
Наименование |
Производитель
|
|---|
|
Артикул
|
Наименование |
Производитель
|
|---|
Акции и предложения
Популярные продукты:
Chicken AP 3 complex subunit mu 2(AP3M2) ELISA kit (E12A1572)
Организм: курица
Canine Carboxypeptidase A6(CPA6) ELISA kit (E08C1994)
Организм: собака
Bovine Translin(TSN) ELISA kit (E11T0740)
Организм: корова
Canine N acylglucosamine 2 epimerase(RENBP) ELISA kit (E08N0571)
Организм: собака
Chicken Elongation factor G 1, mitochondrial ELISA kit (E12H1499)
Организм: курица

