| UNIPROT | Q99590 |
| Иммуноген | RPA094Hu01-Recombinant Protein SCAF11 (SCAF11) |
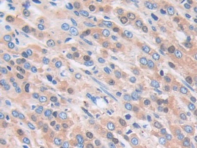
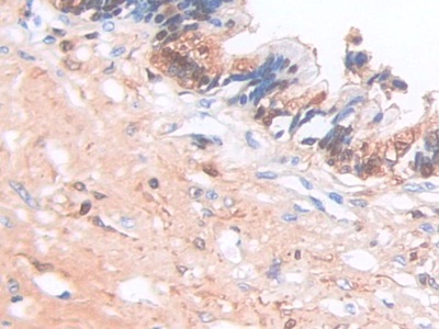
Polyclonal Antibody to Protein SCAF11 (SCAF11) (PAA094Hu01)
Реактивность подтвержденная:
человек
Источник (хозяин):
кролик
Валидировано для:
IHC
Характеристики
Техническое описание
| Русское название | PAA094Hu01 Поликлональное антитело к SCAF11 (человек) <Cloud-Clone,Китай> |
| Каталожный номер | PAA094Hu01 |
| Название антигена | Caspase 11 (CASP11) |
| UNIPROT | Q99590 |
| Иммуноген | RPA094Hu01-Recombinant Protein SCAF11 (SCAF11) |
| Английские синонимы | SRSF2IP, SFRS2IP, SIP1, SRRP129, Cysteinyl Aspartate Specific Proteinases 11, Apoptosis-Related Cysteine Peptidase 11, Splicing Factor,Arginine/Serine-Rich 2,Interacting, CASP-11, Caspase-11 |
| Русские синонимы | каспаза-11 |
Реактивность подтвержденная Нужна другая реактивность? |
человек |
| Источник (хозяин) | кролик |
| Клональность | поликлональное |
| Рекомбинантное | нет |
| Готовое к использованию | нет |
| Концентрация | 500 мкг/мл |
| Конъюгат | По запросу: HRP, biotin, PerCP, PE, Cy3, FITC, Cy7, Cy5.5, PE-Cy5, PE-Cy7, PerCp-Cy5.5, APC, Cy5, PE-Cy3, PE-Cy5.5, APC-Cy7, Biotin-APC, FITC-Biotin, TRITC, APC-Cy5, AF488, AF594, AF405, AF555, AF700, AF647, AF750 |
| Валидировано для | IHC Иммуногистохимия |
| Рекомендуемые разведения | WB: 0.5-2 мкг/мл; ICC (фиксация формалином): 5-20 мкг/мл; IHC (замороженные срезы): 5-20 мкг/мл; IHC (парафиновые срезы): 5-20 мкг/мл; ELISA: 0.05-2 мкг/мл; Оптимальное разведение определяется конечным потребителем |
| Метод очистки | Антигенспецифическая аффинная хроматография с последующей аффинной хроматографией с белком А |
| Состав буфера | PBS, pH7.4, 0.02% NaN3, 50% глицерин |
| Условия доставки | термобокс с аккумуляторами холода |
| Условия хранения | Сразу после получения аликвотировать и хранить при -20ºС до 24 месяцев. Для частого использования хранить при +4ºС не более 2 недель. Избегать повторения циклов замерзания/оттаивания |
| Срок хранения | 24 месяца |
| Производитель | Cloud-Clone Corp. |
| Ссылка на страницу товара на сайте производителя | http://www.cloud-clone.com/products/PAA094Hu01.html |
|
Артикул
|
Наименование |
Производитель
|
|---|
|
Артикул
|
Наименование |
Производитель
|
|---|
Акции и предложения
Популярные продукты:
Anti-DERP2 Antibody (SAA0627) (RXX51806)
Источник (хозяин): человек
Реактивность подтвержденная: паукообразные
Валидировано для: ELISA, SPR
Реактивность подтвержденная: паукообразные
Валидировано для: ELISA, SPR
Anti-SLC22A1 Antibody (R2U51) (RHA46901)
Источник (хозяин): мышь
Реактивность подтвержденная: человек
Валидировано для: FCM
Реактивность подтвержденная: человек
Валидировано для: FCM
Anti-RPS6KB2 Antibody (R2K64) (RHJ73503)
Источник (хозяин): кролик
Реактивность подтвержденная: человек, мышь, крыса
Валидировано для: FCM, IF, IHC, WB
Реактивность подтвержденная: человек, мышь, крыса
Валидировано для: FCM, IF, IHC, WB
Anti-CYP4A11 Antibody (R2C28) (RHF96601)
Источник (хозяин): кролик
Реактивность подтвержденная: человек, мышь, крыса
Валидировано для: IHC, IP, WB
Реактивность подтвержденная: человек, мышь, крыса
Валидировано для: IHC, IP, WB
Anti-ATP5F1B Antibody (R1K68) (RHC20302)
Источник (хозяин): кролик
Реактивность подтвержденная: человек, мышь, крыса
Валидировано для: IF, IHC, IP, WB
Реактивность подтвержденная: человек, мышь, крыса
Валидировано для: IF, IHC, IP, WB
Polyclonal Antibody to Protein SCAF11 (SCAF11) (PAA094Hu01)
Источник (хозяин): кролик
Реактивность подтвержденная: человек
Валидировано для: IHC
Реактивность подтвержденная: человек
Валидировано для: IHC

