| UNIPROT | P24158 |
| Иммуноген | RPB434Hu01-Recombinant Proteinase 3 (PR3) |
Polyclonal Antibody to Proteinase 3 (PR3) (PAB434Hu01)
Реактивность подтвержденная:
человек
Источник (хозяин):
кролик
Валидировано для:
IHC
WB
Характеристики
Техническое описание
| Русское название | PAB434Hu01 Поликлональное антитело к PR3 (человек) <Cloud-Clone,Китай> |
| Каталожный номер | PAB434Hu01 |
| Название антигена | Proteinase 3 (PR3) |
| UNIPROT | P24158 |
| Иммуноген | RPB434Hu01-Recombinant Proteinase 3 (PR3) |
| Английские синонимы | MBN, PRTN3, ACPA, AGP7, C-ANCA, MBT, P29, PRK, Myeloblastin, Serine Proteinase,Neutrophil,Wegener Granulomatosis Autoantigen, Protease K, Proteinase K, Endopeptidase K |
Реактивность подтвержденная Нужна другая реактивность? |
человек |
| Реактивность предсказываемая | мышь, крыса |
| Источник (хозяин) | кролик |
| Клональность | поликлональное |
| Рекомбинантное | нет |
| Готовое к использованию | нет |
| Концентрация | 0.5 мг/мл |
| Конъюгат | По запросу: HRP, biotin, PerCP, PE, Cy3, FITC, Cy7, Cy5.5, PE-Cy5, PE-Cy7, PerCp-Cy5.5, APC, Cy5, PE-Cy3, PE-Cy5.5, APC-Cy7, Biotin-APC, FITC-Biotin, TRITC, APC-Cy5, AF488, AF594, AF405, AF555, AF700, AF647, AF750 |
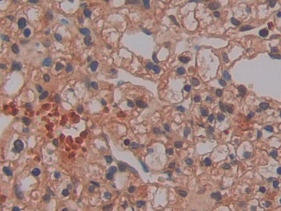
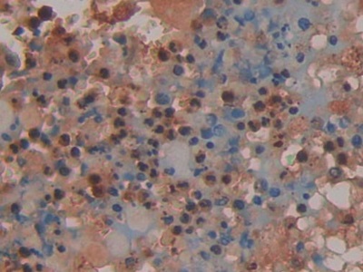
| Валидировано для | IHC WB Иммуногистохимия; Вестерн-блоттинг |
| Рекомендуемые разведения | WB: 0.01-5 мкг/мл; IHC: 5-20 мкг/мл; ICC: 5-20 мкг/мл; Оптимальное разведение определяется конечным потребителем |
| Метод очистки | Антигенспецифическая аффинная хроматография с последующей аффинной хроматографией с белком А |
| Состав буфера | 0.01M PBS, pH7.4, 0.05% Proclin-300, 50% глицерин |
| Условия доставки | термобокс с аккумуляторами холода |
| Условия хранения | Сразу после получения аликвотировать и хранить при -20ºС до 24 месяцев. Для частого использования хранить при +4ºС не более 2 недель. Избегать повторения циклов замерзания/оттаивания |
| Срок хранения | 24 месяца |
| Производитель | Cloud-Clone Corp. |
| Ссылка на страницу товара на сайте производителя | http://www.cloud-clone.com/products/PAB434Hu01.html |
|
Артикул
|
Наименование |
Производитель
|
|---|
|
Артикул
|
Наименование |
Производитель
|
|---|
|
Артикул
|
Наименование |
Производитель
|
|---|
|
Артикул
|
Наименование |
Производитель
|
|---|
Акции и предложения
Популярные продукты:
Anti-Semaglutide (GLP-1 analogue) Antibody (SAb2275) (RHK13902)
Источник (хозяин): мышь
Реактивность подтвержденная: человек
Валидировано для: ELISA
Реактивность подтвержденная: человек
Валидировано для: ELISA
Canine Amelogenin, Y isoform(AMELY) ELISA kit (E08A1062)
Организм: собака
Kanamycin ELISA Kit (NEGEK0006)
Организм: для всех
Диапазон определения: 0-32 нг/мл
Чувствительность: 0.5 нг/мл (ppb)
Диапазон определения: 0-32 нг/мл
Чувствительность: 0.5 нг/мл (ppb)
Anti-dsDNA Antibody (3E10#) (RGK24020)
Источник (хозяин): мышь
Реактивность подтвержденная: для всех
Валидировано для: ELISA
Реактивность подтвержденная: для всех
Валидировано для: ELISA
Anti-Human BAG2 Antibody (SAA1539) (RHB75501)
Источник (хозяин): мышь
Реактивность подтвержденная: человек
Валидировано для: ELISA
Реактивность подтвержденная: человек
Валидировано для: ELISA

