| UNIPROT | P85973 |
| Иммуноген | RPC683Ra01-Recombinant Purine Nucleoside Phosphorylase (PNP) |
Polyclonal Antibody to Purine Nucleoside Phosphorylase (PNP) (PAC683Ra01)
Реактивность подтвержденная:
крыса
Источник (хозяин):
кролик
Валидировано для:
IHC
WB
Характеристики
Техническое описание
| Русское название | PAC683Ra01 Поликлональное антитело к PNP (крыса) <Cloud-Clone,Китай> |
| Каталожный номер | PAC683Ra01 |
| Название антигена | Nucleoside Phosphorylase (NP) |
| UNIPROT | P85973 |
| Иммуноген | RPC683Ra01-Recombinant Purine Nucleoside Phosphorylase (PNP) |
| Английские синонимы | PNP, PUNP, Purine Nucleoside Phosphorylase, Inosine phosphorylase, Inosine-guanosine phosphorylase |
Реактивность подтвержденная Нужна другая реактивность? |
крыса |
| Реактивность предсказываемая | человек, мышь |
| Источник (хозяин) | кролик |
| Клональность | поликлональное |
| Рекомбинантное | нет |
| Готовое к использованию | нет |
| Концентрация | 500 мкг/мл |
| Конъюгат | По запросу: HRP, biotin, PerCP, PE, Cy3, FITC, Cy7, Cy5.5, PE-Cy5, PE-Cy7, PerCp-Cy5.5, APC, Cy5, PE-Cy3, PE-Cy5.5, APC-Cy7, Biotin-APC, FITC-Biotin, TRITC, APC-Cy5, AF488, AF594, AF405, AF555, AF700, AF647, AF750 |
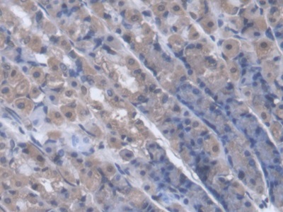
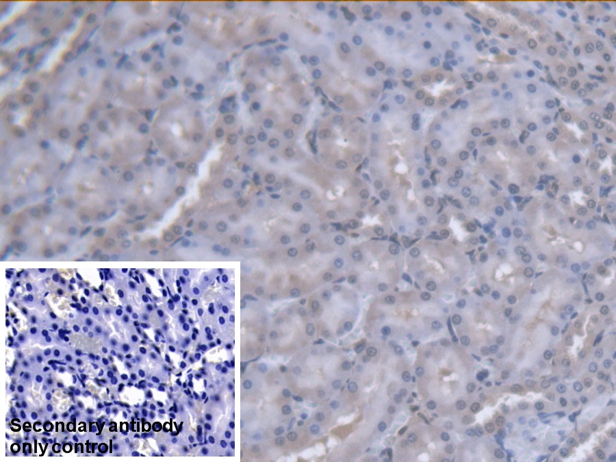
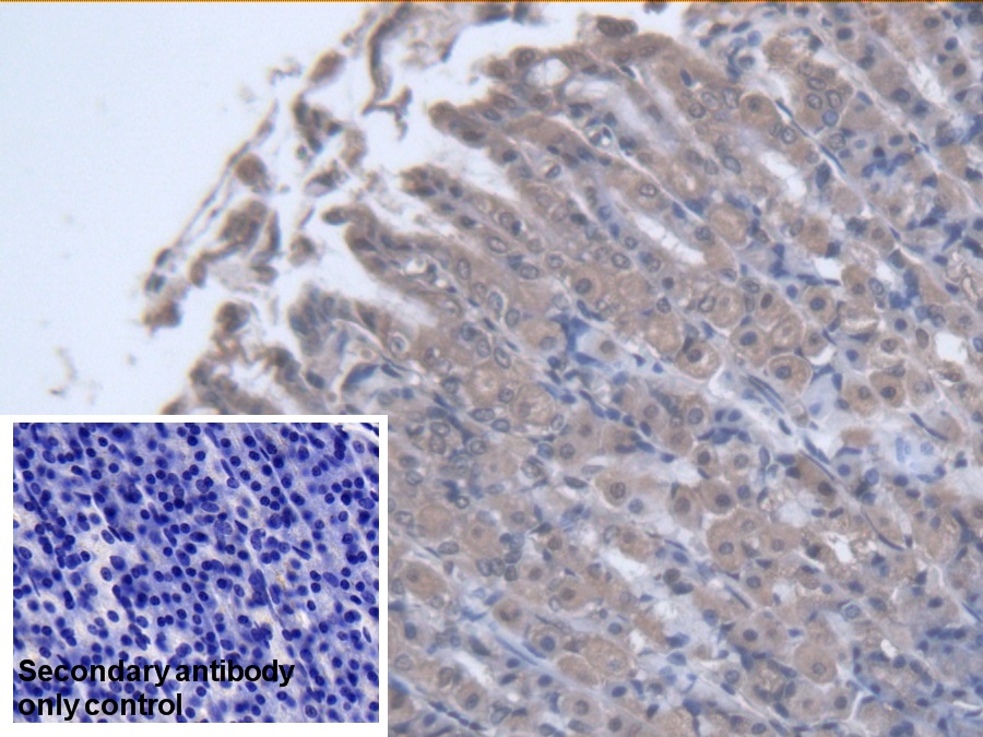
| Валидировано для | IHC WB Иммуногистохимия; Вестерн-блоттинг |
| Рекомендуемые разведения | WB: 0.2-2 мкг/мл; 1:250-2500; IHC: 5-20 мкг/мл; 1:25-100; ICC: 5-20 мкг/мл; 1:25-100; Оптимальное разведение определяется конечным потребителем |
| Метод очистки | Антигенспецифическая аффинная хроматография с последующей аффинной хроматографией с белком А |
| Состав буфера | 0.01M PBS, pH7.4, 0.05% Proclin-300, 50% глицерин |
| Условия доставки | термобокс с аккумуляторами холода |
| Условия хранения | Сразу после получения аликвотировать и хранить при -20ºС до 24 месяцев. Для частого использования хранить при +4ºС не более 2 недель. Избегать повторения циклов замерзания/оттаивания |
| Срок хранения | 24 месяца |
| Производитель | Cloud-Clone Corp. |
| Ссылка на страницу товара на сайте производителя | http://www.cloud-clone.com/products/PAC683Ra01.html |
|
Артикул
|
Наименование |
Производитель
|
|---|
|
Артикул
|
Наименование |
Производитель
|
|---|
|
Артикул
|
Наименование |
Производитель
|
|---|
Акции и предложения
Популярные продукты:
ELISA Kit for Chemokine C-C-Motif Receptor 10 (CCR10) (SEB024Mu)
Организм: мышь
Диапазон определения: 0.156-10 нг/мл
Чувствительность: 4.37 пг/мл
Диапазон определения: 0.156-10 нг/мл
Чувствительность: 4.37 пг/мл
Mouse Cystinosin(CTNS) ELISA kit (E03C2155)
Организм: мышь
Goat Cyclophosphamide ELISA kit (E06C0842)
Организм: коза
Porcine Prothrombin ELISA kit (E07P0044)
Организм: свинья
Mouse Streptozotocin ELISA kit (E03S0833)
Организм: мышь
Mouse Sentan(SNTN) ELISA kit (E03S0388)
Организм: мышь

