| UNIPROT | Q91XF0 |
| Иммуноген | RPC730Mu01-Recombinant Pyridoxamine-5'-Phosphate Oxidase (PNPO) |
Polyclonal Antibody to Pyridoxamine-5'-Phosphate Oxidase (PNPO) (PAC730Mu01)
Реактивность подтвержденная:
мышь
Источник (хозяин):
кролик
Валидировано для:
IHC
WB
Характеристики
Техническое описание
| Русское название | PAC730Mu01 Поликлональное антитело к PNPO (мышь) <Cloud-Clone,Китай> |
| Каталожный номер | PAC730Mu01 |
| Название антигена | Pyridoxamine-5"-Phosphate Oxidase (PNPO) |
| UNIPROT | Q91XF0 |
| Иммуноген | RPC730Mu01-Recombinant Pyridoxamine-5'-Phosphate Oxidase (PNPO) |
| Английские синонимы | PDXPO, Pyridoxine 5"""-Phosphate Oxidase |
Реактивность подтвержденная Нужна другая реактивность? |
мышь |
| Реактивность предсказываемая | человек, крыса |
| Источник (хозяин) | кролик |
| Клональность | поликлональное |
| Рекомбинантное | нет |
| Готовое к использованию | нет |
| Концентрация | 500 мкг/мл |
| Конъюгат | По запросу: HRP, biotin, PerCP, PE, Cy3, FITC, Cy7, Cy5.5, PE-Cy5, PE-Cy7, PerCp-Cy5.5, APC, Cy5, PE-Cy3, PE-Cy5.5, APC-Cy7, Biotin-APC, FITC-Biotin, TRITC, APC-Cy5, AF488, AF594, AF405, AF555, AF700, AF647, AF750 |
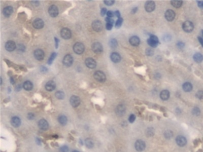
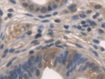
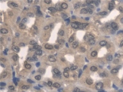
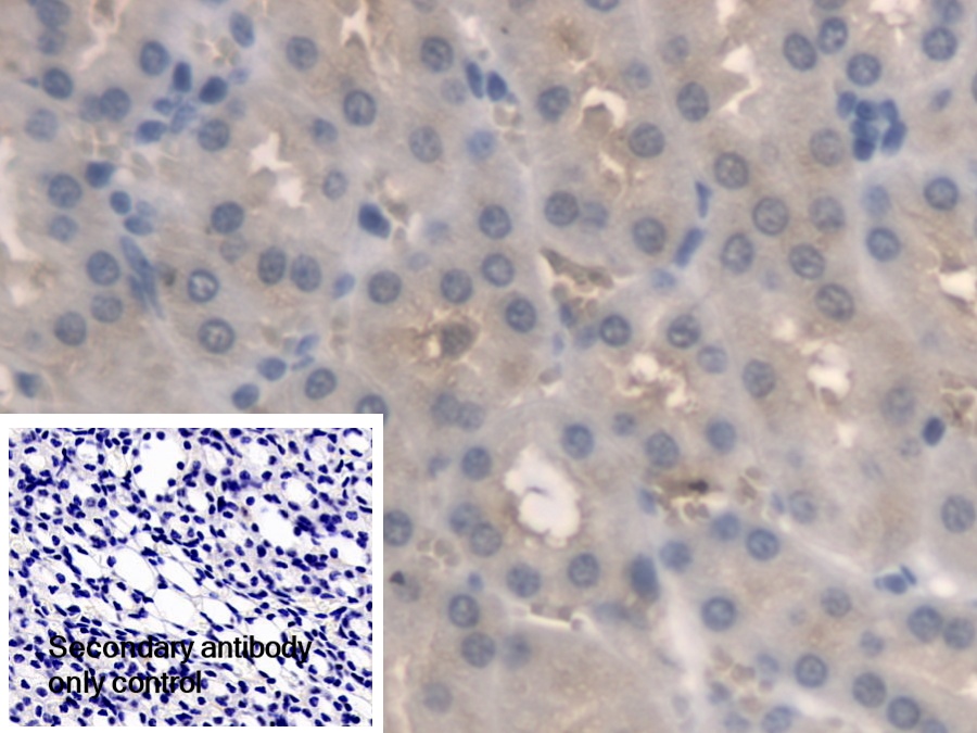
| Валидировано для | IHC WB Иммуногистохимия; Вестерн-блоттинг |
| Рекомендуемые разведения | WB: 0.5-2 мкг/мл; IHC: 5-20 мкг/мл; ICC: 5-20 мкг/мл; Оптимальное разведение определяется конечным потребителем |
| Метод очистки | Антигенспецифическая аффинная хроматография с последующей аффинной хроматографией с белком А |
| Состав буфера | 0.01M PBS, pH7.4, 0.05% Proclin-300, 50% глицерин |
| Условия доставки | термобокс с аккумуляторами холода |
| Условия хранения | Сразу после получения аликвотировать и хранить при -20ºС до 24 месяцев. Для частого использования хранить при +4ºС не более 2 недель. Избегать повторения циклов замерзания/оттаивания |
| Срок хранения | 24 месяца |
| Производитель | Cloud-Clone Corp. |
| Ссылка на страницу товара на сайте производителя | http://www.cloud-clone.com/products/PAC730Mu01.html |
|
Артикул
|
Наименование |
Производитель
|
|---|
|
Артикул
|
Наименование |
Производитель
|
|---|
Акции и предложения
Популярные продукты:
Anti-Human GRP78 Antibody (huMAb159) (VHC84901)
Источник (хозяин): человек
Реактивность подтвержденная: человек
Валидировано для: ELISA, FCM, IHC, WB
Реактивность подтвержденная: человек
Валидировано для: ELISA, FCM, IHC, WB
Rabbit Complement fragment 5a ELISA kit (E04C0663)
Организм: кролик
Human Interleukin 1 Receptor antagonist ELISA kit (E01I0315)
Организм: человек
Диапазон определения: 50-1000 пг/мл
Чувствительность: 1 пг/мл
Диапазон определения: 50-1000 пг/мл
Чувствительность: 1 пг/мл
Recombinant Rat IL-22R/IL22RA1 Protein (ECD, Fc Tag) (PKSR030161)
Источник (хозяин): HEK293
Организм: крыса
Фрагмент: Met1-Ala228
Теги: C-hFc
Биоактивность: нет
Организм: крыса
Фрагмент: Met1-Ala228
Теги: C-hFc
Биоактивность: нет
Recombinant Mouse PLAUR/uPAR Protein (His & Fc Tag) (PKSM040837)
Источник (хозяин): HEK293
Организм: мышь
Фрагмент: Met 1-Thr 297
Теги: C-His-Fc
Биоактивность: да
Организм: мышь
Фрагмент: Met 1-Thr 297
Теги: C-His-Fc
Биоактивность: да

