| UNIPROT | P11498 |
| Иммуноген | RPH430Hu01-Recombinant Pyruvate Carboxylase (PC) |
Polyclonal Antibody to Pyruvate Carboxylase (PC) (PAH430Hu01)
Реактивность подтвержденная:
человек
Источник (хозяин):
кролик
Валидировано для:
IHC
WB
Характеристики
Техническое описание
| Русское название | PAH430Hu01 Поликлональное антитело к пируваткарбоксилазе (человек) <Cloud-Clone,Китай> |
| Каталожный номер | PAH430Hu01 |
| Название антигена | Pyruvate Carboxylase (PC) |
| UNIPROT | P11498 |
| Иммуноген | RPH430Hu01-Recombinant Pyruvate Carboxylase (PC) |
| Английские синонимы | PCB |
Реактивность подтвержденная Нужна другая реактивность? |
человек |
| Реактивность предсказываемая | мышь, крыса, свинья |
| Источник (хозяин) | кролик |
| Клональность | поликлональное |
| Рекомбинантное | нет |
| Готовое к использованию | нет |
| Концентрация | 0.85 мг/мл |
| Конъюгат | По запросу: HRP, biotin, PerCP, PE, Cy3, FITC, Cy7, Cy5.5, PE-Cy5, PE-Cy7, PerCp-Cy5.5, APC, Cy5, PE-Cy3, PE-Cy5.5, APC-Cy7, Biotin-APC, FITC-Biotin, TRITC, APC-Cy5, AF488, AF594, AF405, AF555, AF700, AF647, AF750 |
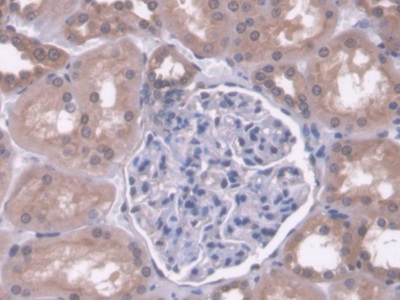
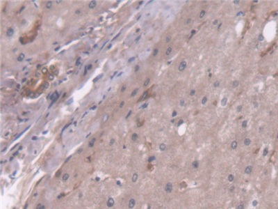
| Валидировано для | IHC WB Иммуногистохимия; Вестерн-блоттинг |
| Рекомендуемые разведения | WB: 0.01-2 мкг/мл; IHC: 5-20 мкг/мл; ICC: 5-20 мкг/мл; Оптимальное разведение определяется конечным потребителем |
| Метод очистки | Антигенспецифическая аффинная хроматография с последующей аффинной хроматографией с белком А |
| Состав буфера | PBS, pH7.4, 0.02% NaN3, 50% глицерин |
| Условия доставки | термобокс с аккумуляторами холода |
| Условия хранения | Сразу после получения аликвотировать и хранить при -20ºС до 24 месяцев. Для частого использования хранить при +4ºС не более 2 недель. Избегать повторения циклов замерзания/оттаивания |
| Срок хранения | 24 месяца |
| Производитель | Cloud-Clone Corp. |
| Ссылка на страницу товара на сайте производителя | http://www.cloud-clone.com/products/PAH430Hu01.html |
|
Артикул
|
Наименование |
Производитель
|
|---|
|
Артикул
|
Наименование |
Производитель
|
|---|
|
Артикул
|
Наименование |
Производитель
|
|---|
Акции и предложения
Популярные продукты:
InVivoMAb Anti-Mouse CD183/CXCR3 Antibody (CXCR3-173) (VME67901)
Источник (хозяин): хомяк
Реактивность подтвержденная: мышь
Валидировано для: ELISA, FuncS
Реактивность подтвержденная: мышь
Валидировано для: ELISA, FuncS
Anti-Cytokeratin 18 (CK18) Polyclonal Antibody (FAB231Hu03)
Источник (хозяин): кролик
Реактивность подтвержденная: человек
Валидировано для: FCM
Реактивность подтвержденная: человек
Валидировано для: FCM
Anti-Cytokeratin 18 (CK18) Polyclonal Antibody (FAB231Po01)
Источник (хозяин): кролик
Реактивность подтвержденная: свинья
Валидировано для: FCM
Реактивность подтвержденная: свинья
Валидировано для: FCM
ELISA Kit DIY Materials for Cathepsin B (CTSB) (KSC964Ra01)
Организм: крыса
Диапазон определения: 0.156-10 нг/мл
Чувствительность: 0.055 нг/мл
Диапазон определения: 0.156-10 нг/мл
Чувствительность: 0.055 нг/мл
Monkey Transcriptional activator GLI3(GLI3) ELISA kit (E09T0618)
Организм: обезьяна
Rabbit Cdc42 effector protein 3(CDC42EP3) ELISA kit (E04C1517)
Организм: кролик

