| UNIPROT | P14618 |
| Иммуноген | RPA588Hu02-Recombinant Pyruvate kinase isozymes M2 (PKM2) |
Polyclonal Antibody to Pyruvate kinase isozymes M2 (PKM2) (PAA588Hu02)
Реактивность подтвержденная:
человек
Источник (хозяин):
кролик
Валидировано для:
FCM
IHC
WB
Характеристики
Публикации
Техническое описание
| Русское название | PAA588Hu02 Поликлональное антитело к PKM2 (человек) <Cloud-Clone,Китай> |
| Каталожный номер | PAA588Hu02 |
| Название антигена | Pyruvate Kinase, Muscle (PKM2) |
| UNIPROT | P14618 |
| Иммуноген | RPA588Hu02-Recombinant Pyruvate kinase isozymes M2 (PKM2) |
| Английские синонимы | M2PK, PKM, M2-PK, PKM1, CTHBP, OIP3, PK3, TCB, THBP1, Pyruvate kinase muscle isozyme, Thyroid hormone-binding protein 1, Cytosolic thyroid hormone-binding protein |
Реактивность подтвержденная Нужна другая реактивность? |
человек |
| Реактивность предсказываемая | мышь |
| Источник (хозяин) | кролик |
| Клональность | поликлональное |
| Рекомбинантное | нет |
| Готовое к использованию | нет |
| Концентрация | 0.5 мг/мл |
| Конъюгат | По запросу: HRP, biotin, PerCP, PE, Cy3, FITC, Cy7, Cy5.5, PE-Cy5, PE-Cy7, PerCp-Cy5.5, APC, Cy5, PE-Cy3, PE-Cy5.5, APC-Cy7, Biotin-APC, FITC-Biotin, TRITC, APC-Cy5, AF488, AF594, AF405, AF555, AF700, AF647, AF750 |
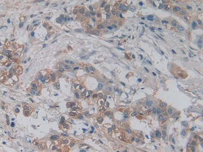
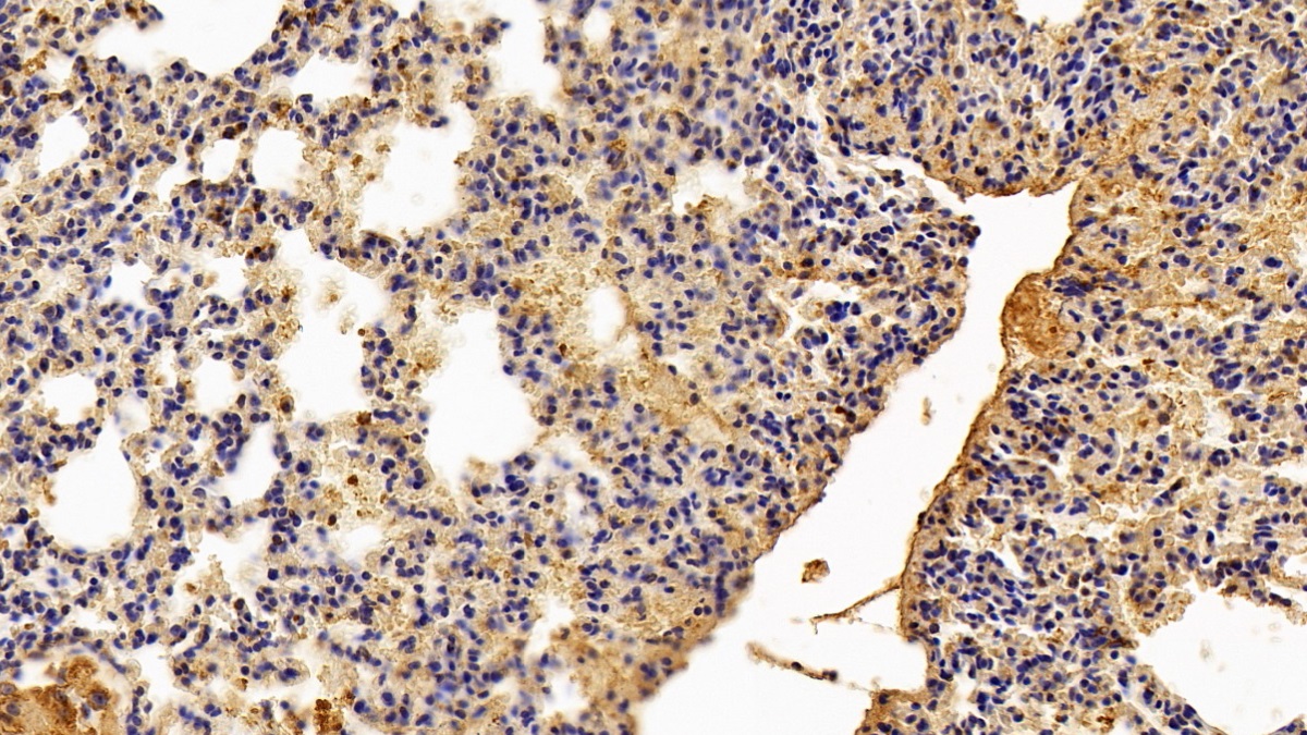
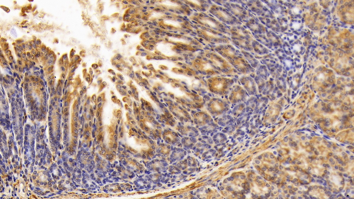
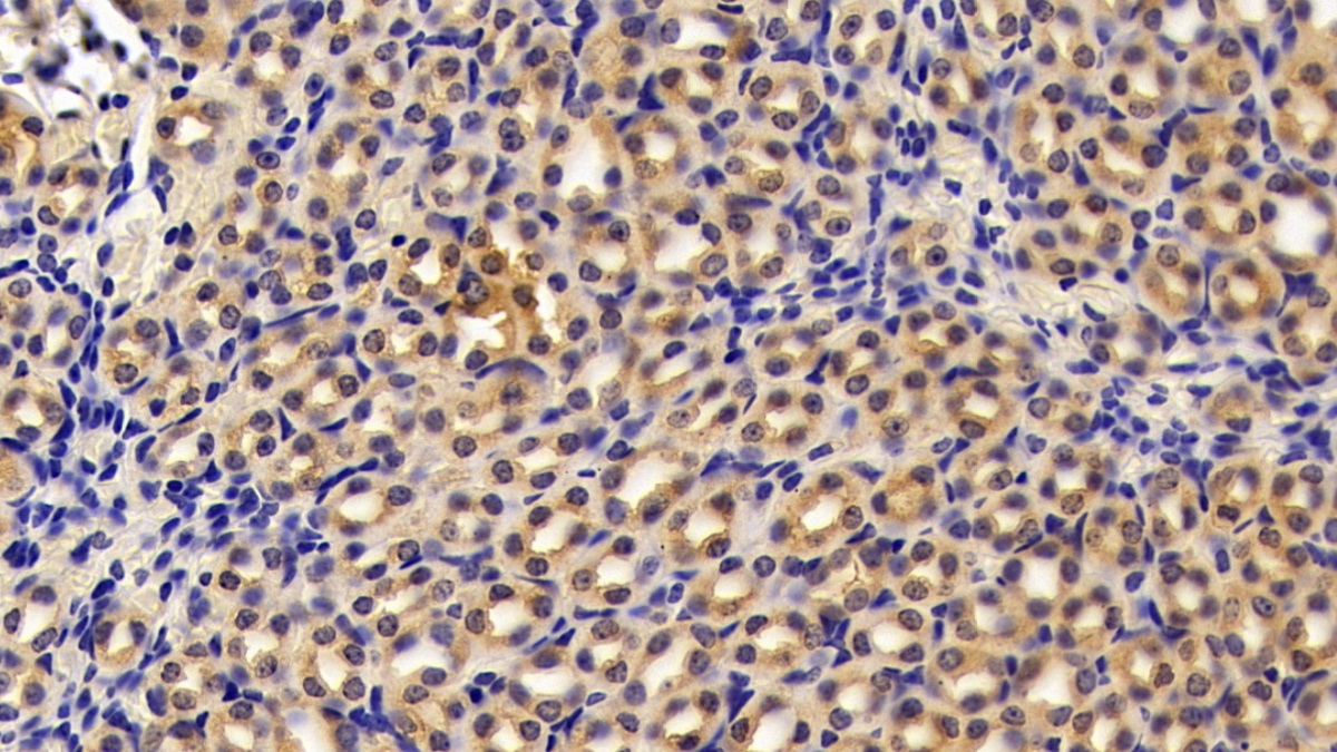
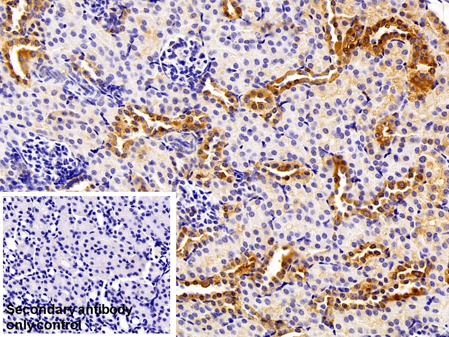
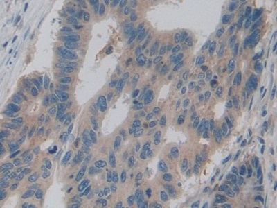
| Валидировано для | FCM IHC WB Проточная цитометрия; Иммуногистохимия; Вестерн-блоттинг |
| Рекомендуемые разведения | WB: 0.01-2 мкг/мл; IHC: 5-20 мкг/мл; ICC: 5-20 мкг/мл; FCM: 20 мкг/мл; Оптимальное разведение определяется конечным потребителем |
| Метод очистки | Антигенспецифическая аффинная хроматография с последующей аффинной хроматографией с белком А |
| Состав буфера | 0.01M PBS, pH7.4, 0.05% Proclin-300, 50% глицерин |
| Условия доставки | термобокс с аккумуляторами холода |
| Условия хранения | Сразу после получения аликвотировать и хранить при -20ºС до 24 месяцев. Для частого использования хранить при +4ºС не более 2 недель. Избегать повторения циклов замерзания/оттаивания |
| Срок хранения | 24 месяца |
| Производитель | Cloud-Clone Corp. |
| Ссылка на страницу товара на сайте производителя | http://www.cloud-clone.com/products/PAA588Hu02.html |
|
Артикул
|
Наименование |
Производитель
|
|---|
|
Артикул
|
Наименование |
Производитель
|
|---|
|
Артикул
|
Наименование |
Производитель
|
|---|
|
Артикул
|
Наименование |
Производитель
|
|---|
|
Артикул
|
Наименование |
Производитель
|
|---|
|
Артикул
|
Наименование |
Производитель
|
|---|
Акции и предложения
Популярные продукты:
Anti-Human CD261/TNFRSF10A/DR4 Antibody (Fs0356) (FHA05920)
Источник (хозяин): мышь
Реактивность подтвержденная: человек
Валидировано для: ELISA, FCM
Реактивность подтвержденная: человек
Валидировано для: ELISA, FCM
ELISA Kit DIY Materials for Interleukin 6 Receptor (IL6R) (KSB815Hu01)
Организм: человек
Диапазон определения: 1.88-120 нг/мл
Чувствительность: 0.67 нг/мл
Диапазон определения: 1.88-120 нг/мл
Чувствительность: 0.67 нг/мл
Bovine Distal less Homeobox 5 ELISA kit (E11D0011)
Организм: корова
Chicken Acyloxyacyl hydrolase(AOAH) ELISA kit (E12A1552)
Организм: курица
Bovine Translocator protein ELISA kit (E11T0051)
Организм: корова
Monkey ADP ribosylation factor like protein 2(ARL2) ELISA kit (E09A1014)
Организм: обезьяна

