| UNIPROT | P14618 |
| Иммуноген | RPA588Hu03-Recombinant Pyruvate kinase isozymes M2 (PKM2) |
Polyclonal Antibody to Pyruvate kinase isozymes M2 (PKM2) (PAA588Hu03)
Реактивность подтвержденная:
человек
Источник (хозяин):
кролик
Валидировано для:
IHC
WB
Характеристики
Техническое описание
| Русское название | PAA588Hu03 Поликлональное антитело к PKM2 (человек) <Cloud-Clone,Китай> |
| Каталожный номер | PAA588Hu03 |
| Название антигена | Pyruvate Kinase, Muscle (PKM2) |
| UNIPROT | P14618 |
| Иммуноген | RPA588Hu03-Recombinant Pyruvate kinase isozymes M2 (PKM2) |
| Английские синонимы | M2PK, PKM, M2-PK, PKM1, CTHBP, OIP3, PK3, TCB, THBP1, Pyruvate kinase muscle isozyme, Thyroid hormone-binding protein 1, Cytosolic thyroid hormone-binding protein |
Реактивность подтвержденная Нужна другая реактивность? |
человек |
| Источник (хозяин) | кролик |
| Клональность | поликлональное |
| Рекомбинантное | нет |
| Готовое к использованию | нет |
| Концентрация | 0.5 мг/мл |
| Конъюгат | По запросу: HRP, biotin, PerCP, PE, Cy3, FITC, Cy7, Cy5.5, PE-Cy5, PE-Cy7, PerCp-Cy5.5, APC, Cy5, PE-Cy3, PE-Cy5.5, APC-Cy7, Biotin-APC, FITC-Biotin, TRITC, APC-Cy5, AF488, AF594, AF405, AF555, AF700, AF647, AF750 |
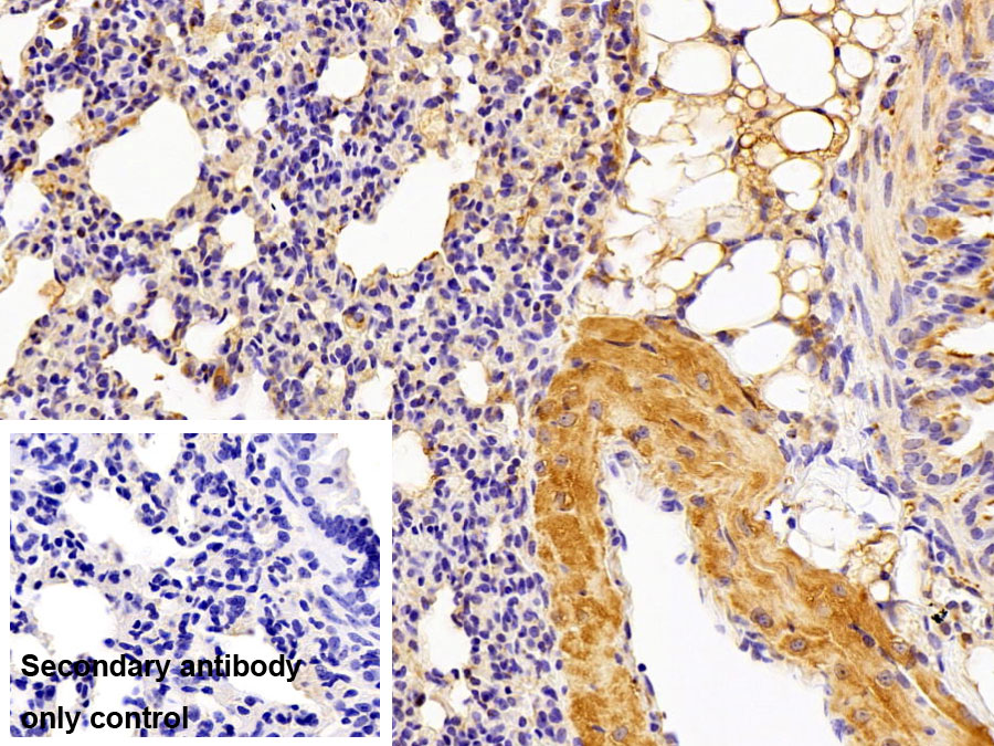
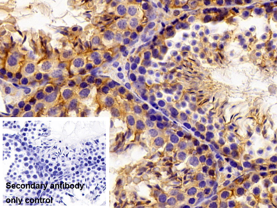
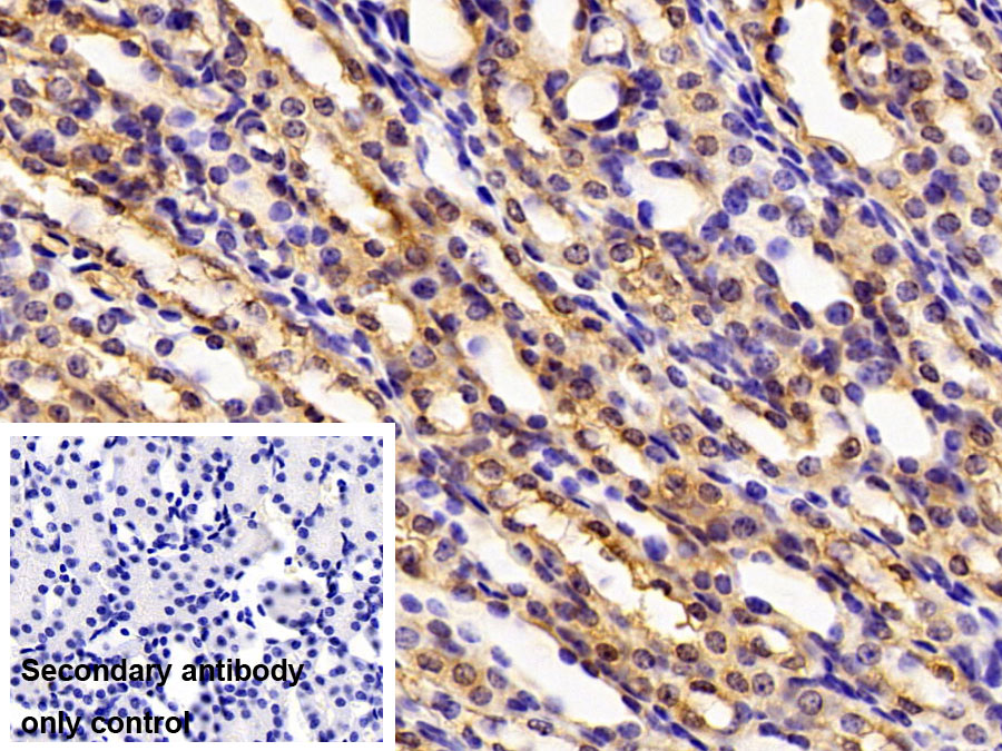
| Валидировано для | IHC WB Иммуногистохимия; Вестерн-блоттинг |
| Рекомендуемые разведения | WB: 0.2-2 мкг/мл; 1:250-2500; IHC: 5-20 мкг/мл; 1:25-100; ICC: 5-20 мкг/мл; 1:25-100; Оптимальное разведение определяется конечным потребителем |
| Метод очистки | Антигенспецифическая аффинная хроматография с последующей аффинной хроматографией с белком А |
| Состав буфера | PBS, pH7.4, 0.02% NaN3, 50% глицерин |
| Условия доставки | термобокс с аккумуляторами холода |
| Условия хранения | Сразу после получения аликвотировать и хранить при -20ºС до 24 месяцев. Для частого использования хранить при +4ºС не более 2 недель. Избегать повторения циклов замерзания/оттаивания |
| Срок хранения | 24 месяца |
| Производитель | Cloud-Clone Corp. |
| Ссылка на страницу товара на сайте производителя | http://www.cloud-clone.com/products/PAA588Hu03.html |
|
Артикул
|
Наименование |
Производитель
|
|---|
|
Артикул
|
Наименование |
Производитель
|
|---|
|
Артикул
|
Наименование |
Производитель
|
|---|
|
Артикул
|
Наименование |
Производитель
|
|---|
|
Артикул
|
Наименование |
Производитель
|
|---|
|
Артикул
|
Наименование |
Производитель
|
|---|
Акции и предложения
Популярные продукты:
ELISA Kit DIY Materials for Methionine Sulfoxide Reductase A (MSRA) (KSC629Hu01)
Организм: человек
Диапазон определения: 0.156-10 нг/мл
Чувствительность: 0.055 нг/мл
Диапазон определения: 0.156-10 нг/мл
Чувствительность: 0.055 нг/мл
Monkey Streptozotocin ELISA kit (E09S0833)
Организм: обезьяна
Guinea Pig Actin like protein 6B(ACTL6B) ELISA kit (E05A1223)
Организм: морская свинка
Sheep AF4/FMR2 family member 4(AFF4) ELISA kit (E14A1303)
Организм: овца
Rabbit Cystatin F(CST7) ELISA kit (E04C2126)
Организм: кролик
Rat Cortexin 1(CTXN1) ELISA kit (E02C2175)
Организм: крыса

