| UNIPROT | P11980 |
| Иммуноген | RPA588Ra01-Recombinant Pyruvate kinase isozymes M2 (PKM2) |
Polyclonal Antibody to Pyruvate kinase isozymes M2 (PKM2) (PAA588Ra01)
Реактивность подтвержденная:
крыса
Источник (хозяин):
кролик
Валидировано для:
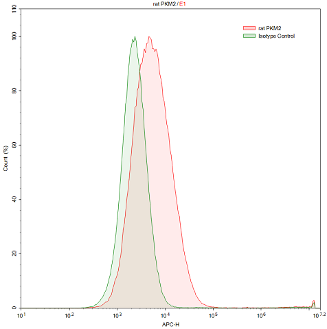
FCM
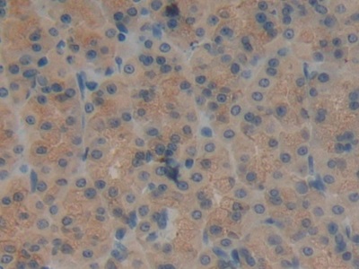
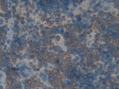
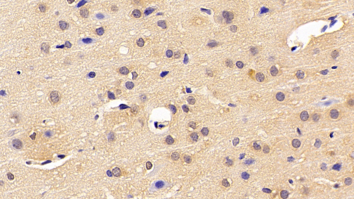
IHC
WB
Характеристики
Техническое описание
| Русское название | PAA588Ra01 Поликлональное антитело к PKM2 (крыса) <Cloud-Clone,Китай> |
| Каталожный номер | PAA588Ra01 |
| Название антигена | Pyruvate Kinase, Muscle (PKM2) |
| UNIPROT | P11980 |
| Иммуноген | RPA588Ra01-Recombinant Pyruvate kinase isozymes M2 (PKM2) |
| Английские синонимы | M2PK, PKM, M2-PK, PKM1, CTHBP, OIP3, PK3, TCB, THBP1, Pyruvate kinase muscle isozyme, Thyroid hormone-binding protein 1, Cytosolic thyroid hormone-binding protein |
Реактивность подтвержденная Нужна другая реактивность? |
крыса |
| Реактивность предсказываемая | человек |
| Источник (хозяин) | кролик |
| Клональность | поликлональное |
| Рекомбинантное | нет |
| Готовое к использованию | нет |
| Концентрация | 0.5 мг/мл |
| Конъюгат | По запросу: HRP, biotin, PerCP, PE, Cy3, FITC, Cy7, Cy5.5, PE-Cy5, PE-Cy7, PerCp-Cy5.5, APC, Cy5, PE-Cy3, PE-Cy5.5, APC-Cy7, Biotin-APC, FITC-Biotin, TRITC, APC-Cy5, AF488, AF594, AF405, AF555, AF700, AF647, AF750 |
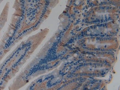
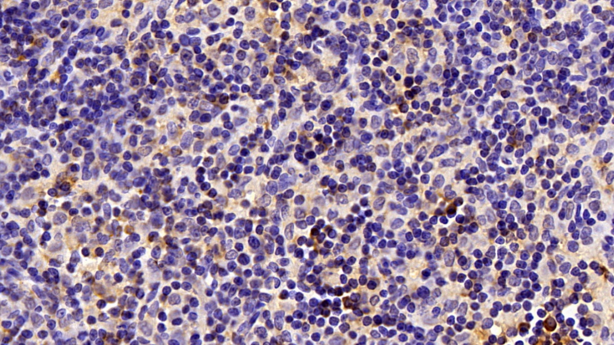
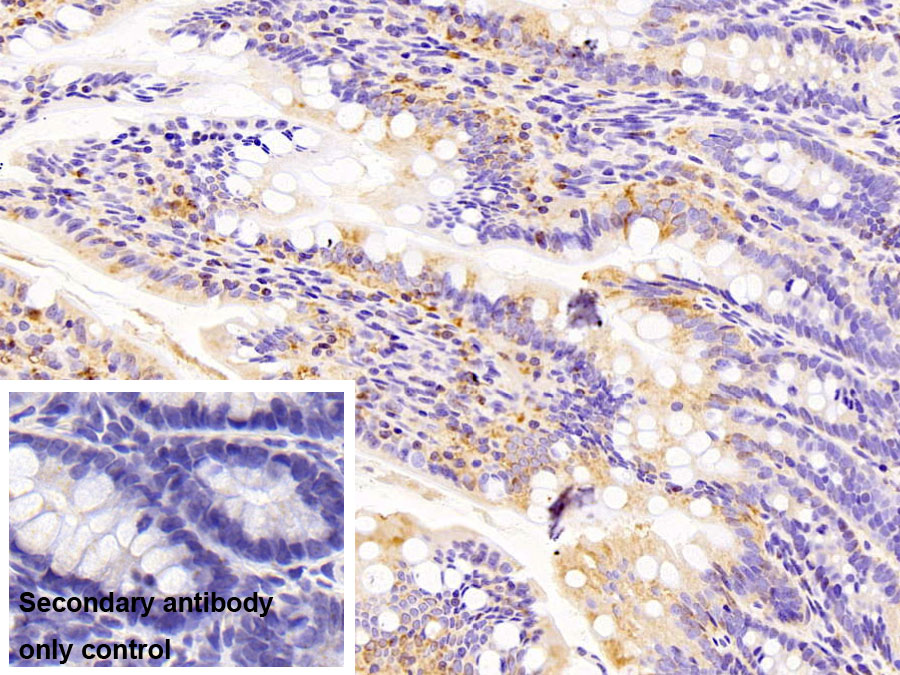
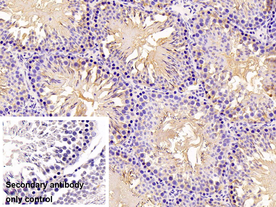
| Валидировано для | FCM IHC WB Проточная цитометрия; Иммуногистохимия; Вестерн-блоттинг |
| Рекомендуемые разведения | WB: 0.2-2 мкг/мл; 1:250-2500; IHC: 5-20 мкг/мл; 1:25-100; ICC: 5-20 мкг/мл; 1:25-100; Оптимальное разведение определяется конечным потребителем |
| Метод очистки | Антигенспецифическая аффинная хроматография с последующей аффинной хроматографией с белком А |
| Состав буфера | 0.01M PBS, pH7.4, 0.05% Proclin-300, 50% глицерин |
| Условия доставки | термобокс с аккумуляторами холода |
| Условия хранения | Сразу после получения аликвотировать и хранить при -20ºС до 24 месяцев. Для частого использования хранить при +4ºС не более 2 недель. Избегать повторения циклов замерзания/оттаивания |
| Срок хранения | 24 месяца |
| Производитель | Cloud-Clone Corp. |
| Ссылка на страницу товара на сайте производителя | http://www.cloud-clone.com/products/PAA588Ra01.html |
|
Артикул
|
Наименование |
Производитель
|
|---|
|
Артикул
|
Наименование |
Производитель
|
|---|
|
Артикул
|
Наименование |
Производитель
|
|---|
|
Артикул
|
Наименование |
Производитель
|
|---|
|
Артикул
|
Наименование |
Производитель
|
|---|
|
Артикул
|
Наименование |
Производитель
|
|---|
Акции и предложения
Популярные продукты:
Bovine Krueppel-like factor 2 ELISA kit (E11K0208)
Организм: корова
Mouse Vitamin B1 ELISA kit (E03V0026)
Организм: мышь
Anti-ANO6/TMEM16F Antibody (N429/19) (RHH79802)
Источник (хозяин): мышь
Реактивность подтвержденная: для всех
Валидировано для: IHC, WB
Реактивность подтвержденная: для всех
Валидировано для: IHC, WB
PE Anti-Mouse FcεRIα Antibody[MAR-1] (E-AB-F1188UD)
Источник (хозяин): хомяк
Реактивность подтвержденная: мышь
Валидировано для: FCM
Реактивность подтвержденная: мышь
Валидировано для: FCM
PE Anti-Human CD41 Antibody[10E5] (AN00332D)
Источник (хозяин): мышь
Реактивность подтвержденная: мышь
Валидировано для: FCM
Реактивность подтвержденная: мышь
Валидировано для: FCM
Anti-Human CD26/DPP4 Antibody (SAA0009), FITC (FHD74111)
Источник (хозяин): мышь
Реактивность подтвержденная: человек
Валидировано для: FCM
Реактивность подтвержденная: человек
Валидировано для: FCM

