| UNIPROT | Q2MKA7 |
| Иммуноген | RPM171Hu01-Recombinant R-Spondin 1 (RSPO1) |
Polyclonal Antibody to R-Spondin 1 (RSPO1) (PAM171Hu01)
Реактивность подтвержденная:
человек
Источник (хозяин):
кролик
Валидировано для:
IHC
Характеристики
Техническое описание
| Русское название | PAM171Hu01 Поликлональное антитело к RSPO1 (человек) <Cloud-Clone,Китай> |
| Каталожный номер | PAM171Hu01 |
| Название антигена | R-Spondin 1 (RSPO1) |
| UNIPROT | Q2MKA7 |
| Иммуноген | RPM171Hu01-Recombinant R-Spondin 1 (RSPO1) |
| Английские синонимы | RSPONDIN, Roof plate-specific spondin-1 |
Реактивность подтвержденная Нужна другая реактивность? |
человек |
| Реактивность предсказываемая | мышь |
| Источник (хозяин) | кролик |
| Клональность | поликлональное |
| Рекомбинантное | нет |
| Готовое к использованию | нет |
| Концентрация | 500 мкг/мл |
| Конъюгат | По запросу: HRP, biotin, PerCP, PE, Cy3, FITC, Cy7, Cy5.5, PE-Cy5, PE-Cy7, PerCp-Cy5.5, APC, Cy5, PE-Cy3, PE-Cy5.5, APC-Cy7, Biotin-APC, FITC-Biotin, TRITC, APC-Cy5, AF488, AF594, AF405, AF555, AF700, AF647, AF750 |
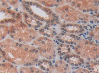
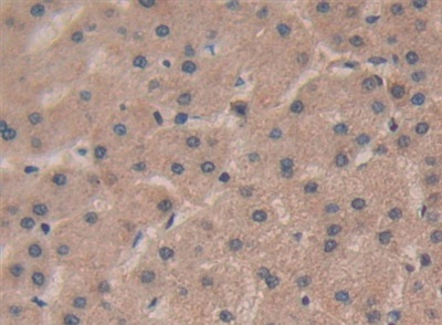
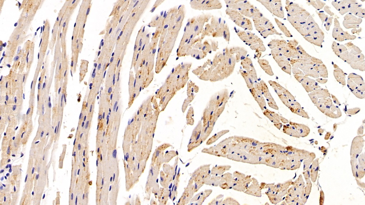
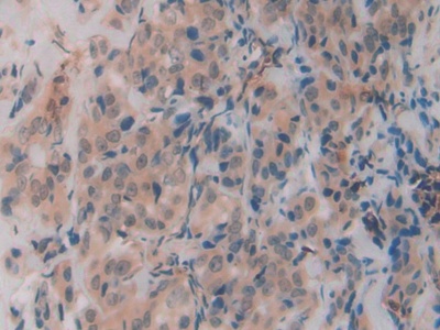
| Валидировано для | IHC Иммуногистохимия |
| Рекомендуемые разведения | WB: 0.5-2 мкг/мл; IHC: 5-20 мкг/мл; ICC: 5-20 мкг/мл; Оптимальное разведение определяется конечным потребителем |
| Метод очистки | Антигенспецифическая аффинная хроматография с последующей аффинной хроматографией с белком А |
| Состав буфера | 0.01M PBS, pH7.4, 0.05% Proclin-300, 50% глицерин |
| Условия доставки | термобокс с аккумуляторами холода |
| Условия хранения | Сразу после получения аликвотировать и хранить при -20ºС до 24 месяцев. Для частого использования хранить при +4ºС не более 2 недель. Избегать повторения циклов замерзания/оттаивания |
| Срок хранения | 24 месяца |
| Производитель | Cloud-Clone Corp. |
| Ссылка на страницу товара на сайте производителя | http://www.cloud-clone.com/products/PAM171Hu01.html |
|
Артикул
|
Наименование |
Производитель
|
|---|
|
Артикул
|
Наименование |
Производитель
|
|---|
|
Артикул
|
Наименование |
Производитель
|
|---|
|
Артикул
|
Наименование |
Производитель
|
|---|
|
Артикул
|
Наименование |
Производитель
|
|---|
Акции и предложения
Популярные продукты:
Monkey Transcription factor MafB(MAFB) ELISA kit (E09T0627)
Организм: обезьяна
Chicken T box transcription factor TBX5(TBX5) ELISA kit (E12T0667)
Организм: курица
Chicken Bestrophin 2(BEST2) ELISA kit (E12B0790)
Организм: курица
Porcine Cytochrome P450 1A2(CYP1A2) ELISA kit (E07C2226)
Организм: свинья
Human Anti amphiphysin Antibody ELISA kit (E01A0402)
Организм: человек
Диапазон определения: 25-500 нг/мл
Чувствительность: 1 нг/мл
Диапазон определения: 25-500 нг/мл
Чувствительность: 1 нг/мл

