| UNIPROT | D3ZBD1 |
| Иммуноген | RPM171Ra01-Recombinant R-Spondin 1 (RSPO1) |
Polyclonal Antibody to R-Spondin 1 (RSPO1) (PAM171Ra01)
Реактивность подтвержденная:
крыса
Источник (хозяин):
кролик
Валидировано для:
IHC
WB
Характеристики
Техническое описание
| Русское название | PAM171Ra01 Поликлональное антитело к RSPO1 (крыса) <Cloud-Clone,Китай> |
| Каталожный номер | PAM171Ra01 |
| Название антигена | R-Spondin 1 (RSPO1) |
| UNIPROT | D3ZBD1 |
| Иммуноген | RPM171Ra01-Recombinant R-Spondin 1 (RSPO1) |
| Английские синонимы | RSPONDIN, Roof plate-specific spondin-1 |
Реактивность подтвержденная Нужна другая реактивность? |
крыса |
| Реактивность предсказываемая | человек, мышь |
| Источник (хозяин) | кролик |
| Клональность | поликлональное |
| Рекомбинантное | нет |
| Готовое к использованию | нет |
| Концентрация | 500 мкг/мл |
| Конъюгат | По запросу: HRP, biotin, PerCP, PE, Cy3, FITC, Cy7, Cy5.5, PE-Cy5, PE-Cy7, PerCp-Cy5.5, APC, Cy5, PE-Cy3, PE-Cy5.5, APC-Cy7, Biotin-APC, FITC-Biotin, TRITC, APC-Cy5, AF488, AF594, AF405, AF555, AF700, AF647, AF750 |
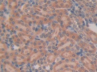
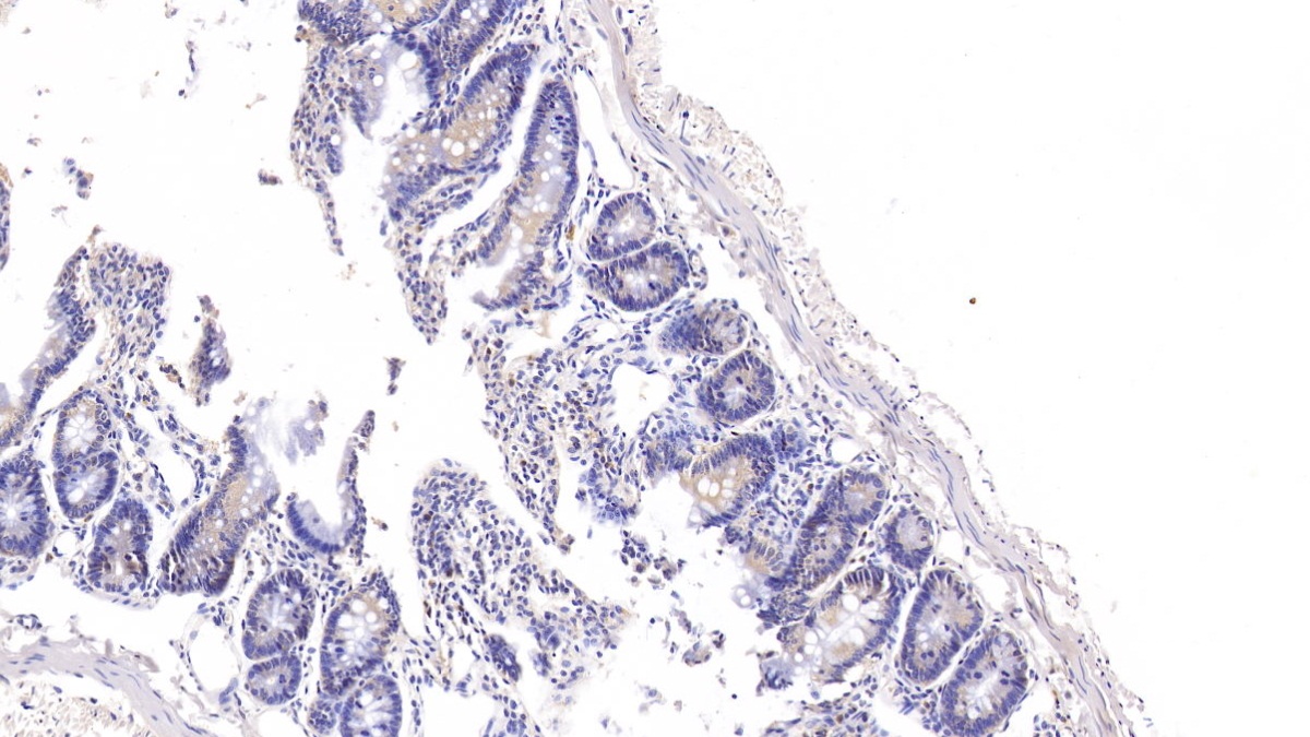
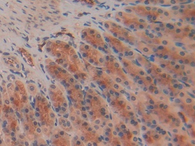
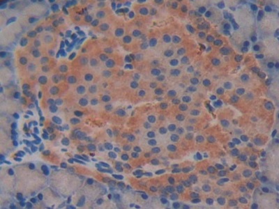
| Валидировано для | IHC WB Иммуногистохимия; Вестерн-блоттинг |
| Рекомендуемые разведения | WB: 0.5-5 мкг/мл; IHC: 5-20 мкг/мл; ICC: 5-20 мкг/мл; Оптимальное разведение определяется конечным потребителем |
| Метод очистки | Антигенспецифическая аффинная хроматография с последующей аффинной хроматографией с белком А |
| Состав буфера | 0.01M PBS, pH7.4, 0.05% Proclin-300, 50% глицерин |
| Условия доставки | термобокс с аккумуляторами холода |
| Условия хранения | Сразу после получения аликвотировать и хранить при -20ºС до 24 месяцев. Для частого использования хранить при +4ºС не более 2 недель. Избегать повторения циклов замерзания/оттаивания |
| Срок хранения | 24 месяца |
| Производитель | Cloud-Clone Corp. |
| Ссылка на страницу товара на сайте производителя | http://www.cloud-clone.com/products/PAM171Ra01.html |
|
Артикул
|
Наименование |
Производитель
|
|---|
|
Артикул
|
Наименование |
Производитель
|
|---|
|
Артикул
|
Наименование |
Производитель
|
|---|
|
Артикул
|
Наименование |
Производитель
|
|---|
|
Артикул
|
Наименование |
Производитель
|
|---|
Акции и предложения
Популярные продукты:
RNase H1 Antibody (DF12084)
Источник (хозяин): кролик
Реактивность подтвержденная: человек, мышь, крыса
Валидировано для: IHC, WB, IF, ICC
Реактивность подтвержденная: человек, мышь, крыса
Валидировано для: IHC, WB, IF, ICC
Guinea Pig Zinc finger protein neuro d4(DPF1) ELISA kit (E05Z0006)
Организм: морская свинка
Monkey Anamorsin(CIAPIN1) ELISA kit (E09A1813)
Организм: обезьяна
Mouse Anamorsin(CIAPIN1) ELISA kit (E03A1813)
Организм: мышь
Canine Prefoldin subunit 4(PFDN4) ELISA kit (E08P0764)
Организм: собака

