| UNIPROT | Q14699 |
| Иммуноген | RPS079Hu01-Recombinant Raft Linking Protein (Raftlin) |
Polyclonal Antibody to Raft Linking Protein (Raftlin) (PAS079Hu01)
Реактивность подтвержденная:
человек
Источник (хозяин):
кролик
Валидировано для:
IHC
WB
Характеристики
Техническое описание
| Русское название | PAS079Hu01 Поликлональное антитело к Raftlin (человек) <Cloud-Clone,Китай> |
| Каталожный номер | PAS079Hu01 |
| Название антигена | Raft Linking Protein (Raftlin) |
| UNIPROT | Q14699 |
| Иммуноген | RPS079Hu01-Recombinant Raft Linking Protein (Raftlin) |
| Английские синонимы | RFTN1, MIG2, Raftlin, Lipid Raft Linker 1, Cell migration-inducing gene 2 protein |
Реактивность подтвержденная Нужна другая реактивность? |
человек |
| Источник (хозяин) | кролик |
| Клональность | поликлональное |
| Рекомбинантное | нет |
| Готовое к использованию | нет |
| Концентрация | 500 мкг/мл |
| Конъюгат | По запросу: HRP, biotin, PerCP, PE, Cy3, FITC, Cy7, Cy5.5, PE-Cy5, PE-Cy7, PerCp-Cy5.5, APC, Cy5, PE-Cy3, PE-Cy5.5, APC-Cy7, Biotin-APC, FITC-Biotin, TRITC, APC-Cy5, AF488, AF594, AF405, AF555, AF700, AF647, AF750 |
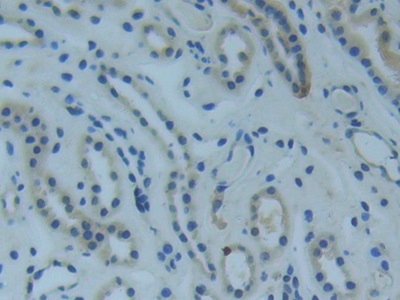
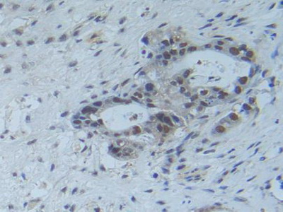
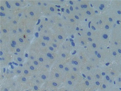
| Валидировано для | IHC WB Иммуногистохимия; Вестерн-блоттинг |
| Рекомендуемые разведения | WB: 0.01-2 мкг/мл; IHC: 5-20 мкг/мл; ICC: 5-20 мкг/мл; Оптимальное разведение определяется конечным потребителем |
| Метод очистки | Антигенспецифическая аффинная хроматография с последующей аффинной хроматографией с белком А |
| Состав буфера | PBS, pH7.4, 0.02% NaN3, 50% глицерин |
| Условия доставки | термобокс с аккумуляторами холода |
| Условия хранения | Сразу после получения аликвотировать и хранить при -20ºС до 24 месяцев. Для частого использования хранить при +4ºС не более 2 недель. Избегать повторения циклов замерзания/оттаивания |
| Срок хранения | 24 месяца |
| Производитель | Cloud-Clone Corp. |
| Ссылка на страницу товара на сайте производителя | http://www.cloud-clone.com/products/PAS079Hu01.html |
|
Артикул
|
Наименование |
Производитель
|
|---|
|
Артикул
|
Наименование |
Производитель
|
|---|
|
Артикул
|
Наименование |
Производитель
|
|---|
Акции и предложения
Популярные продукты:
Canine Zinc finger protein GLI1(GLI1) ELISA kit (E08Z0009)
Организм: собака
Rabbit Anti-endomysial antibodies ELISA kit (E04E0147)
Организм: кролик
Recombinant Human NCAM1 Protein (ECD, His Tag) (PKSH031994)
Источник (хозяин): HEK293
Организм: человек
Фрагмент: Met 1-Pro603
Теги: C-His
Биоактивность: нет
Организм: человек
Фрагмент: Met 1-Pro603
Теги: C-His
Биоактивность: нет
Anti-PEG Antibody (6A9/PEG.2) (RGK24702)
Источник (хозяин): мышь
Реактивность подтвержденная: для всех
Валидировано для: ELISA
Реактивность подтвержденная: для всех
Валидировано для: ELISA
Anti-Human TFPI Antibody (SAA2013) (RHC82801)
Источник (хозяин): человек
Реактивность подтвержденная: человек
Валидировано для: ELISA, FCM, WB
Реактивность подтвержденная: человек
Валидировано для: ELISA, FCM, WB
Recombinant Mouse ADGRE1/EMR1 Protein, N-His (YMG76701)
Источник (хозяин): E.coli
Организм: мышь
Фрагмент: Lys367-Ser638
Теги: N-His
Биоактивность: нет
Организм: мышь
Фрагмент: Lys367-Ser638
Теги: N-His
Биоактивность: нет

