| UNIPROT | Q8BFS3 |
| Иммуноген | RPD869Ra01-Recombinant Relaxin 3 (RLN3) |
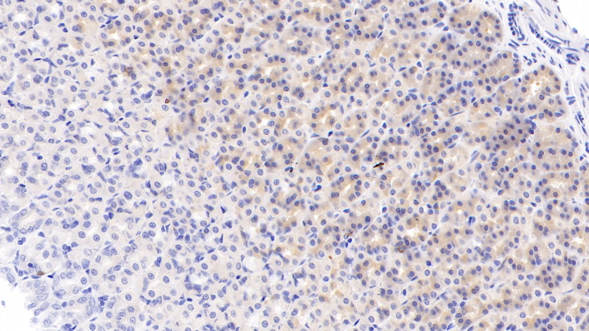
Polyclonal Antibody to Relaxin 3 (RLN3) (PAD869Ra01)
Реактивность подтвержденная:
крыса
Источник (хозяин):
кролик
Валидировано для:
IHC
Характеристики
Техническое описание
| Русское название | PAD869Ra01 Поликлональное антитело к RLN3 (крыса) <Cloud-Clone,Китай> |
| Каталожный номер | PAD869Ra01 |
| Название антигена | Relaxin 3 (RLN3) |
| UNIPROT | Q8BFS3 |
| Иммуноген | RPD869Ra01-Recombinant Relaxin 3 (RLN3) |
| Английские синонимы | ZINS4, RXN3, H3, INSL7, Insulin-like peptide 7, Prorelaxin H3 |
Реактивность подтвержденная Нужна другая реактивность? |
крыса |
| Источник (хозяин) | кролик |
| Клональность | поликлональное |
| Рекомбинантное | нет |
| Готовое к использованию | нет |
| Концентрация | 0.5 мг/мл |
| Конъюгат | По запросу: HRP, biotin, PerCP, PE, Cy3, FITC, Cy7, Cy5.5, PE-Cy5, PE-Cy7, PerCp-Cy5.5, APC, Cy5, PE-Cy3, PE-Cy5.5, APC-Cy7, Biotin-APC, FITC-Biotin, TRITC, APC-Cy5, AF488, AF594, AF405, AF555, AF700, AF647, AF750 |
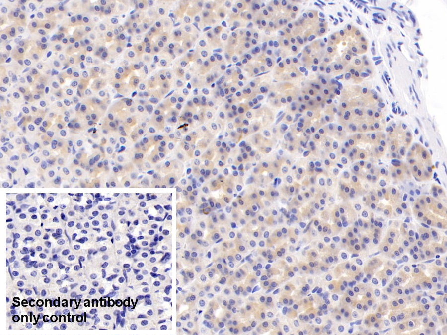
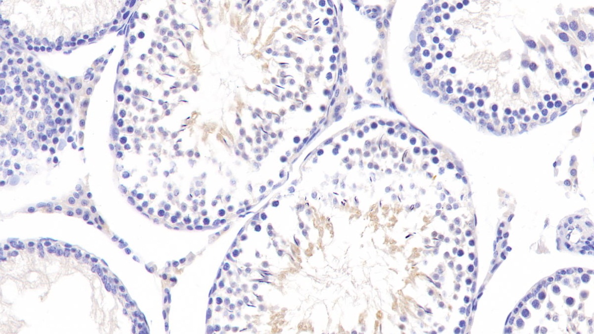
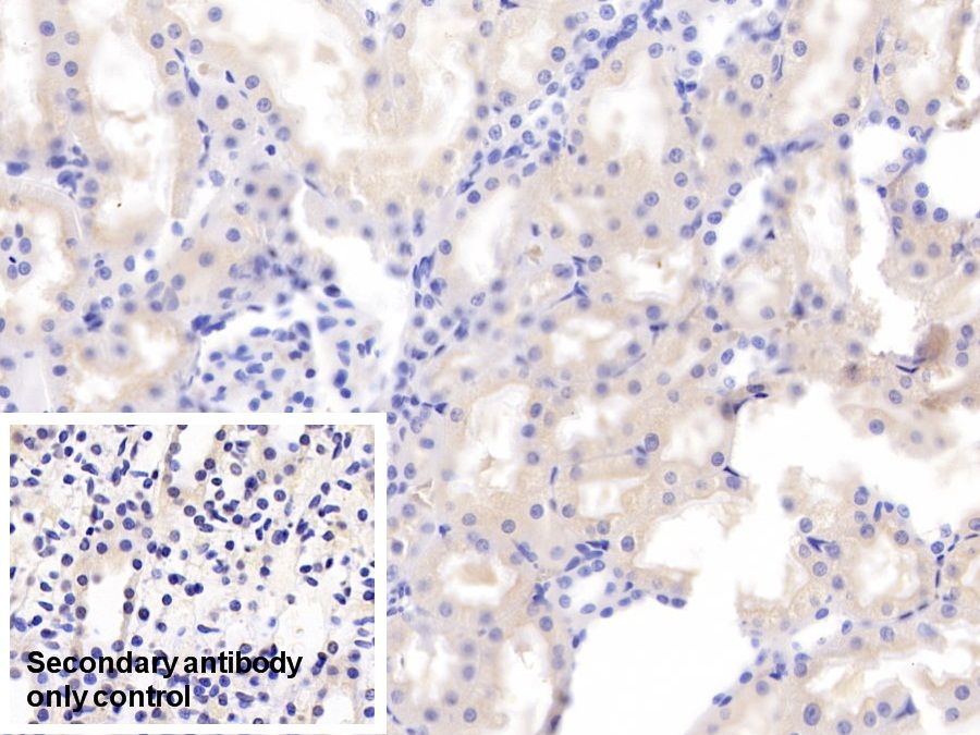
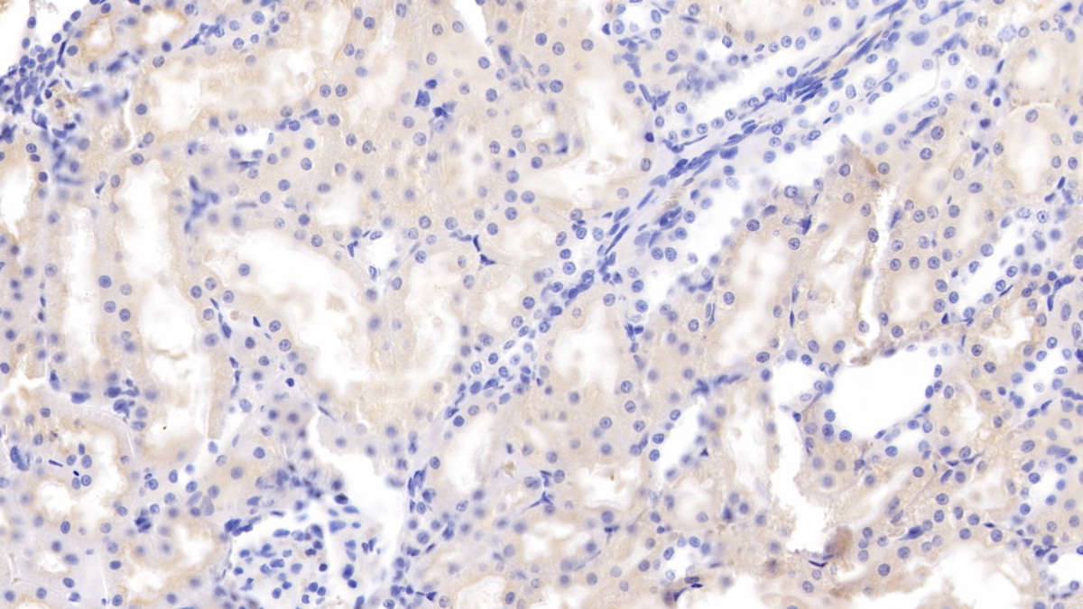
| Валидировано для | IHC Иммуногистохимия |
| Рекомендуемые разведения | WB: 0.2-2 мкг/мл; 1:250-2500; IHC: 5-20 мкг/мл; 1:25-100; ICC: 5-20 мкг/мл; 1:25-100; Оптимальное разведение определяется конечным потребителем |
| Метод очистки | Антигенспецифическая аффинная хроматография с последующей аффинной хроматографией с белком А |
| Состав буфера | 0.01M PBS, pH7.4, 0.05% Proclin-300, 50% глицерин |
| Условия доставки | термобокс с аккумуляторами холода |
| Условия хранения | Сразу после получения аликвотировать и хранить при -20ºС до 24 месяцев. Для частого использования хранить при +4ºС не более 2 недель. Избегать повторения циклов замерзания/оттаивания |
| Срок хранения | 24 месяца |
| Производитель | Cloud-Clone Corp. |
| Ссылка на страницу товара на сайте производителя | http://www.cloud-clone.com/products/PAD869Ra01.html |
|
Артикул
|
Наименование |
Производитель
|
|---|
|
Артикул
|
Наименование |
Производитель
|
|---|
|
Артикул
|
Наименование |
Производитель
|
|---|
Акции и предложения
Популярные продукты:
Monoclonal Antibody to Beta-2-Microglobulin (b2M) (MAA260Hu28)
Источник (хозяин): мышь
Реактивность подтвержденная: человек
Валидировано для: WB
Реактивность подтвержденная: человек
Валидировано для: WB
Human Peroxiredoxin 3 ELISA kit (E01P1251)
Организм: человек
Rat Glutamate receptor 3(GRIA3) ELISA kit (E02G0392)
Организм: крыса
Porcine Prorelaxin H3 ELISA kit (E07P1206)
Организм: свинья
Bovine 5-hydroxytryptamine receptor 6 ELISA Kit (E11H1453)
Организм: корова
Human Complement component receptor 1 like protein ELISA kit (E01C2035)
Организм: человек

