| UNIPROT | Q9WVS4 |
| Иммуноген | RPH266Mu01-Recombinant Renal Tumor Antigen (RAGE) |
Polyclonal Antibody to Renal Tumor Antigen (RAGE) (PAH266Mu01)
Реактивность подтвержденная:
мышь
Источник (хозяин):
кролик
Валидировано для:
IHC
WB
Характеристики
Техническое описание
| Русское название | PAH266Mu01 Поликлональное антитело к RAGE (мышь) <Cloud-Clone,Китай> |
| Каталожный номер | PAH266Mu01 |
| Название антигена | Renal Tumor Antigen (RAGE) |
| UNIPROT | Q9WVS4 |
| Иммуноген | RPH266Mu01-Recombinant Renal Tumor Antigen (RAGE) |
| Английские синонимы | MOK, RAGE1, MAPK/MAK/MRK Overlapping Kinase |
Реактивность подтвержденная Нужна другая реактивность? |
мышь |
| Реактивность предсказываемая | человек, крыса |
| Источник (хозяин) | кролик |
| Клональность | поликлональное |
| Рекомбинантное | нет |
| Готовое к использованию | нет |
| Концентрация | 0.5 мг/мл |
| Конъюгат | По запросу: HRP, biotin, PerCP, PE, Cy3, FITC, Cy7, Cy5.5, PE-Cy5, PE-Cy7, PerCp-Cy5.5, APC, Cy5, PE-Cy3, PE-Cy5.5, APC-Cy7, Biotin-APC, FITC-Biotin, TRITC, APC-Cy5, AF488, AF594, AF405, AF555, AF700, AF647, AF750 |
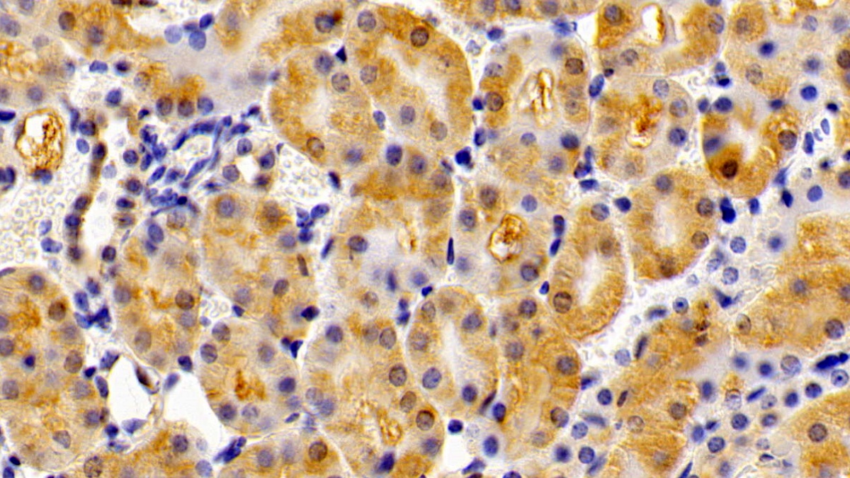
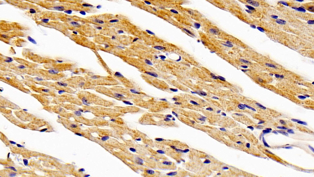
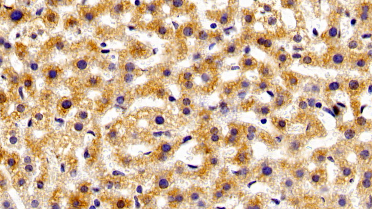
| Валидировано для | IHC WB Иммуногистохимия; Вестерн-блоттинг |
| Рекомендуемые разведения | WB: 0.2-2 мкг/мл; 1:250-2500; IHC: 5-20 мкг/мл; 1:25-100; ICC: 5-20 мкг/мл; 1:25-100; Оптимальное разведение определяется конечным потребителем |
| Метод очистки | Антигенспецифическая аффинная хроматография с последующей аффинной хроматографией с белком А |
| Состав буфера | 0.01M PBS, pH7.4, 0.05% Proclin-300, 50% глицерин |
| Условия доставки | термобокс с аккумуляторами холода |
| Условия хранения | Сразу после получения аликвотировать и хранить при -20ºС до 24 месяцев. Для частого использования хранить при +4ºС не более 2 недель. Избегать повторения циклов замерзания/оттаивания |
| Срок хранения | 24 месяца |
| Производитель | Cloud-Clone Corp. |
| Ссылка на страницу товара на сайте производителя | http://www.cloud-clone.com/products/PAH266Mu01.html |
|
Артикул
|
Наименование |
Производитель
|
|---|
|
Артикул
|
Наименование |
Производитель
|
|---|
|
Артикул
|
Наименование |
Производитель
|
|---|
|
Артикул
|
Наименование |
Производитель
|
|---|
Акции и предложения
Популярные продукты:
Anti-Noggin (NOG) Monoclonal Antibody (FAC130Hu02)
Источник (хозяин): мышь
Реактивность подтвержденная: человек
Валидировано для: FCM
Реактивность подтвержденная: человек
Валидировано для: FCM
Guinea Pig 5-Hydroxytryptophan ELISA kit (E05H1454)
Организм: морская свинка
Guinea Pig adrenomedullin 2 (ADM2) ELISA kit (E05A1275)
Организм: морская свинка
Porcine Calponin 3(CNN3) ELISA kit (E07C1855)
Организм: свинья
Rat Carbohyde sulfotransferase 8(CHST8) ELISA kit (E02C1715)
Организм: крыса
Guinea Pig Protein TBRG4(TBRG4) ELISA kit (E05P0896)
Организм: морская свинка

