| UNIPROT | Q5VYX0 |
| Иммуноген | RPC845Hu01-Recombinant Renalase (RNLS) |
Polyclonal Antibody to Renalase (RNLS) (PAC845Hu01)
Реактивность подтвержденная:
человек
Источник (хозяин):
кролик
Валидировано для:
IHC
Характеристики
Техническое описание
| Русское название | PAC845Hu01 Поликлональное антитело к RNLS (человек) <Cloud-Clone,Китай> |
| Каталожный номер | PAC845Hu01 |
| Название антигена | Renalase (RNLS) |
| UNIPROT | Q5VYX0 |
| Иммуноген | RPC845Hu01-Recombinant Renalase (RNLS) |
| Английские синонимы | MAO-C, C10orf59, FAD-Dependent Amine Oxidase, Monoamine oxidase-C, alpha-NAD(P)H oxidase/anomerase |
Реактивность подтвержденная Нужна другая реактивность? |
человек |
| Источник (хозяин) | кролик |
| Клональность | поликлональное |
| Рекомбинантное | нет |
| Готовое к использованию | нет |
| Концентрация | 0.5 мг/мл |
| Конъюгат | По запросу: HRP, biotin, PerCP, PE, Cy3, FITC, Cy7, Cy5.5, PE-Cy5, PE-Cy7, PerCp-Cy5.5, APC, Cy5, PE-Cy3, PE-Cy5.5, APC-Cy7, Biotin-APC, FITC-Biotin, TRITC, APC-Cy5, AF488, AF594, AF405, AF555, AF700, AF647, AF750 |
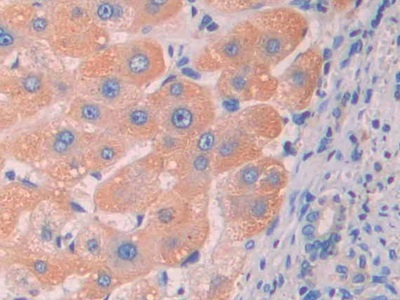
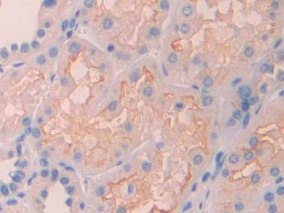
| Валидировано для | IHC Иммуногистохимия |
| Рекомендуемые разведения | WB: 0.5-2 мкг/мл; 1:250-1000; IHC: 5-20 мкг/мл; 1:25-100; ICC: 5-20 мкг/мл; 1:25-100; Оптимальное разведение определяется конечным потребителем |
| Метод очистки | Антигенспецифическая аффинная хроматография с последующей аффинной хроматографией с белком А |
| Состав буфера | PBS, pH7.4, 0.02% NaN3, 50% глицерин |
| Условия доставки | термобокс с аккумуляторами холода |
| Условия хранения | Сразу после получения аликвотировать и хранить при -20ºС до 24 месяцев. Для частого использования хранить при +4ºС не более 2 недель. Избегать повторения циклов замерзания/оттаивания |
| Срок хранения | 24 месяца |
| Производитель | Cloud-Clone Corp. |
| Ссылка на страницу товара на сайте производителя | http://www.cloud-clone.com/products/PAC845Hu01.html |
|
Артикул
|
Наименование |
Производитель
|
|---|
|
Артикул
|
Наименование |
Производитель
|
|---|
|
Артикул
|
Наименование |
Производитель
|
|---|
|
Артикул
|
Наименование |
Производитель
|
|---|
Акции и предложения
Популярные продукты:
Porcine Interleukin 1β ELISA kit (E07I0010)
Организм: свинья
Диапазон определения: 50-1000 пг/мл
Чувствительность: 1 пг/мл
Диапазон определения: 50-1000 пг/мл
Чувствительность: 1 пг/мл
Anti-NRN1/Neuritin Polyclonal Antibody (PHN45401)
Источник (хозяин): кролик
Реактивность подтвержденная: человек, мышь, крыса
Валидировано для: ELISA, WB
Реактивность подтвержденная: человек, мышь, крыса
Валидировано для: ELISA, WB
Anti-Tumor Necrosis Factor Alpha (TNFa) Monoclonal Antibody (FAA133Bo06)
Источник (хозяин): мышь
Реактивность подтвержденная: корова
Валидировано для: FCM
Реактивность подтвержденная: корова
Валидировано для: FCM
Enhanced Cell Malondialdehyde (MDA) Colorimetric Assay Kit (E-BC-K814-M)
Организм: для всех
Диапазон определения: 0.19 нмоль/мл
Чувствительность: 0.19-100.00 нмоль/мл
Диапазон определения: 0.19 нмоль/мл
Чувствительность: 0.19-100.00 нмоль/мл
Polyclonal Antibody to Secreted Phosphoprotein 2 (SPP2) (PAH140Mu01)
Источник (хозяин): кролик
Реактивность подтвержденная: мышь
Валидировано для: WB
Реактивность подтвержденная: мышь
Валидировано для: WB
Guinea Pig Cyclin A ELISA kit (E05C0075)
Организм: морская свинка

