| UNIPROT | Q99P87 |
| Иммуноген | RPA847Mu01-Recombinant Resistin (RETN) |
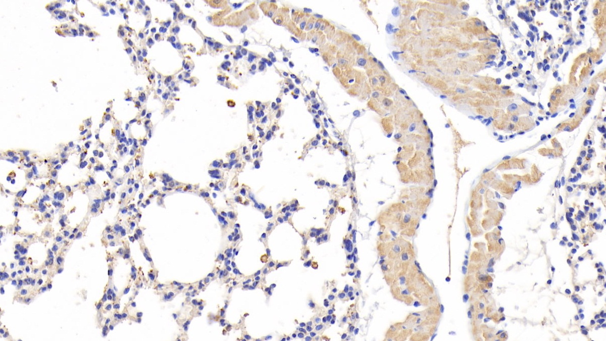
Polyclonal Antibody to Resistin (RETN) (PAA847Mu01)
Реактивность подтвержденная:
мышь
Источник (хозяин):
кролик
Валидировано для:
ICC
IHC
WB
Характеристики
Техническое описание
| Русское название | PAA847Mu01 Поликлональное антитело к RETN (мышь) <Cloud-Clone,Китай> |
| Каталожный номер | PAA847Mu01 |
| Название антигена | Resistin (RETN) |
| UNIPROT | Q99P87 |
| Иммуноген | RPA847Mu01-Recombinant Resistin (RETN) |
| Английские синонимы | ADSF, FIZZ3, RETN1, RSTN, XCP1, Adipose tissue-specific secretory factor, C/EBP-epsilon-regulated myeloid-specific secreted cysteine-rich protein, Cysteine-rich secreted FIZZ3 |
Реактивность подтвержденная Нужна другая реактивность? |
мышь |
| Источник (хозяин) | кролик |
| Клональность | поликлональное |
| Рекомбинантное | нет |
| Готовое к использованию | нет |
| Концентрация | 0.5 мг/мл |
| Конъюгат | По запросу: HRP, biotin, PerCP, PE, Cy3, FITC, Cy7, Cy5.5, PE-Cy5, PE-Cy7, PerCp-Cy5.5, APC, Cy5, PE-Cy3, PE-Cy5.5, APC-Cy7, Biotin-APC, FITC-Biotin, TRITC, APC-Cy5, AF488, AF594, AF405, AF555, AF700, AF647, AF750 |
| Валидировано для | ICC IHC WB Иммуноцитохимия; Иммуногистохимия; Вестерн-блоттинг |
| Рекомендуемые разведения | WB: 0.2-2 мкг/мл; 1:250-2500; IHC: 5-20 мкг/мл; 1:25-100; ICC: 5-20 мкг/мл; 1:25-100; Оптимальное разведение определяется конечным потребителем |
| Метод очистки | Антигенспецифическая аффинная хроматография с последующей аффинной хроматографией с белком А |
| Состав буфера | 0.01M PBS, pH7.4, 0.05% Proclin-300, 50% глицерин |
| Условия доставки | термобокс с аккумуляторами холода |
| Условия хранения | Сразу после получения аликвотировать и хранить при -20ºС до 24 месяцев. Для частого использования хранить при +4ºС не более 2 недель. Избегать повторения циклов замерзания/оттаивания |
| Срок хранения | 24 месяца |
| Производитель | Cloud-Clone Corp. |
| Ссылка на страницу товара на сайте производителя | http://www.cloud-clone.com/products/PAA847Mu01.html |
|
Артикул
|
Наименование |
Производитель
|
|---|
|
Артикул
|
Наименование |
Производитель
|
|---|
|
Артикул
|
Наименование |
Производитель
|
|---|
|
Артикул
|
Наименование |
Производитель
|
|---|
|
Артикул
|
Наименование |
Производитель
|
|---|
|
Артикул
|
Наименование |
Производитель
|
|---|
|
Артикул
|
Наименование |
Производитель
|
|---|
Акции и предложения
Популярные продукты:
Recombinant Human PRAME Protein, N-His (YHF67001)
Источник (хозяин): E.coli
Организм: человек
Фрагмент: Asn416-Leu502
Теги: N-His
Биоактивность: нет
Организм: человек
Фрагмент: Asn416-Leu502
Теги: N-His
Биоактивность: нет
Recombinant Preferentially Expressed Antigen In Melanoma (PRAME) (RPH323Hu02)
Источник (хозяин): E.coli
Организм: человек
Фрагмент: Asn416-Leu502
Теги: N-концевые His-Tag и GST-Tag
Биоактивность: нет
Организм: человек
Фрагмент: Asn416-Leu502
Теги: N-концевые His-Tag и GST-Tag
Биоактивность: нет
Anti-Influenza A virus (H5N1) HA/Hemagglutinin Antibody (13D4) (VVV03810)
Источник (хозяин): человек
Реактивность подтвержденная: вирусы
Валидировано для: ELISA, NEUT
Реактивность подтвержденная: вирусы
Валидировано для: ELISA, NEUT
Goat Dentin Matrix Protein 1 ELISA kit (E06D0064)
Организм: коза
Mouse Adenylosuccinate lyase(ADSL) ELISA kit (E03A1290)
Организм: мышь
Chicken Proteoglycan 4 ELISA kit (E12P0163)
Организм: курица

