| UNIPROT | Q8BP92 |
| Иммуноген | RPH244Mu01-Recombinant Reticulocalbin 2 (RCN2) |
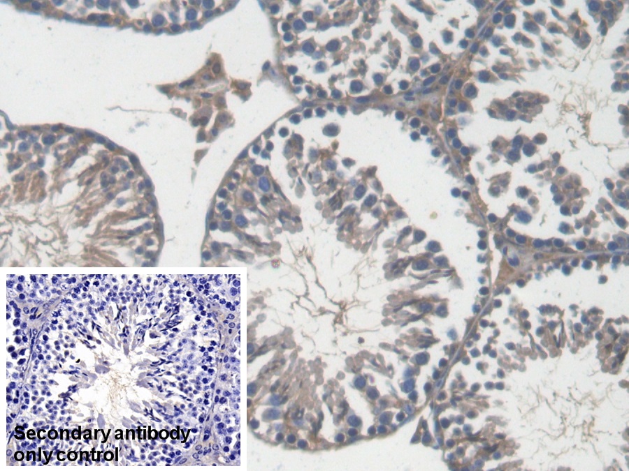
Polyclonal Antibody to Reticulocalbin 2 (RCN2) (PAH244Mu01)
Реактивность подтвержденная:
мышь
Источник (хозяин):
кролик
Валидировано для:
IHC
WB
Характеристики
Техническое описание
| Русское название | PAH244Mu01 Поликлональное антитело к RCN2 (мышь) <Cloud-Clone,Китай> |
| Каталожный номер | PAH244Mu01 |
| Название антигена | Reticulocalbin 2 (RCN2) |
| UNIPROT | Q8BP92 |
| Иммуноген | RPH244Mu01-Recombinant Reticulocalbin 2 (RCN2) |
| Английские синонимы | E6BP, ERC-55, ERC55, Endoplasmic Reticulum Calcium-Binding Protein 55kD, E6-binding protein |
Реактивность подтвержденная Нужна другая реактивность? |
мышь |
| Реактивность предсказываемая | человек, крыса |
| Источник (хозяин) | кролик |
| Клональность | поликлональное |
| Рекомбинантное | нет |
| Готовое к использованию | нет |
| Концентрация | 0.31 мг/мл |
| Конъюгат | По запросу: HRP, biotin, PerCP, PE, Cy3, FITC, Cy7, Cy5.5, PE-Cy5, PE-Cy7, PerCp-Cy5.5, APC, Cy5, PE-Cy3, PE-Cy5.5, APC-Cy7, Biotin-APC, FITC-Biotin, TRITC, APC-Cy5, AF488, AF594, AF405, AF555, AF700, AF647, AF750 |
| Валидировано для | IHC WB Иммуногистохимия; Вестерн-блоттинг |
| Рекомендуемые разведения | WB: 0.01-2 мкг/мл; IHC: 5-20 мкг/мл; ICC: 5-20 мкг/мл; Оптимальное разведение определяется конечным потребителем |
| Метод очистки | Антигенспецифическая аффинная хроматография с последующей аффинной хроматографией с белком А |
| Состав буфера | 0.01M PBS, pH7.4, 0.05% Proclin-300, 50% глицерин |
| Условия доставки | термобокс с аккумуляторами холода |
| Условия хранения | Сразу после получения аликвотировать и хранить при -20ºС до 24 месяцев. Для частого использования хранить при +4ºС не более 2 недель. Избегать повторения циклов замерзания/оттаивания |
| Срок хранения | 24 месяца |
| Производитель | Cloud-Clone Corp. |
| Ссылка на страницу товара на сайте производителя | http://www.cloud-clone.com/products/PAH244Mu01.html |
|
Артикул
|
Наименование |
Производитель
|
|---|
|
Артикул
|
Наименование |
Производитель
|
|---|
|
Артикул
|
Наименование |
Производитель
|
|---|
Акции и предложения
Популярные продукты:
Anti-Rotavirus A/RV-A VP6 Polyclonal Antibody (PVV20102)
Источник (хозяин): кролик
Реактивность подтвержденная: вирусы
Валидировано для: ELISA, IF, IHC, WB
Реактивность подтвержденная: вирусы
Валидировано для: ELISA, IF, IHC, WB
Canine Vitamin B7 ELISA kit (E08V0434)
Организм: собака
Rabbit Anti spermiogenesis Antibody ELISA kit (E04A0012)
Организм: кролик
Rat Anti spermiogenesis Antibody ELISA kit (E02A0012)
Организм: крыса
Recombinant RSK3 Monoclonal Antibody (E-AB-81605)
Источник (хозяин): кролик
Реактивность подтвержденная: человек, хомяк
Валидировано для: IHC, WB
Реактивность подтвержденная: человек, хомяк
Валидировано для: IHC, WB
IL-33 Monoclonal Antibody(Detector) (AN002670P)
Источник (хозяин): крыса
Реактивность подтвержденная: человек
Валидировано для: ELISA
Реактивность подтвержденная: человек
Валидировано для: ELISA

