| UNIPROT | Q00724 |
| Иммуноген | RPA929Mu01-Recombinant Retinol Binding Protein 4 (RBP4) |
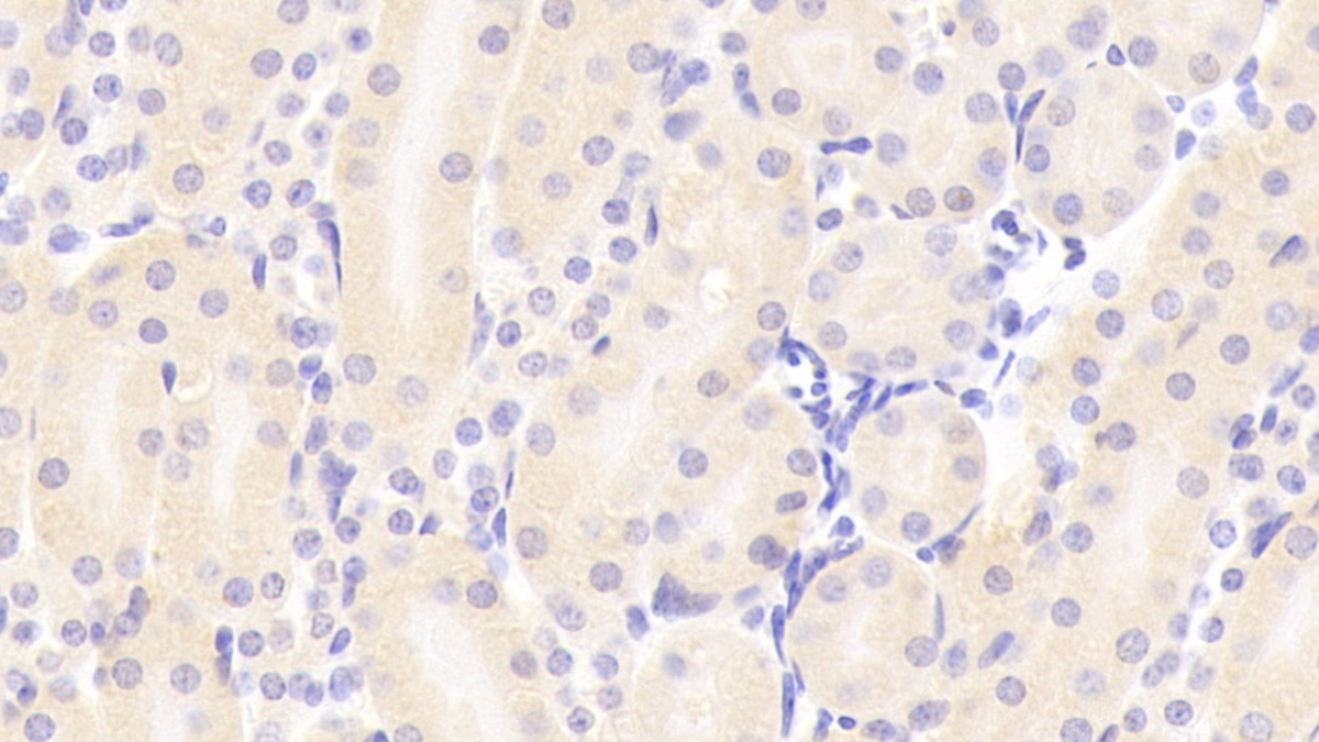
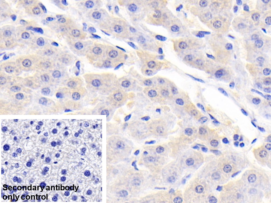
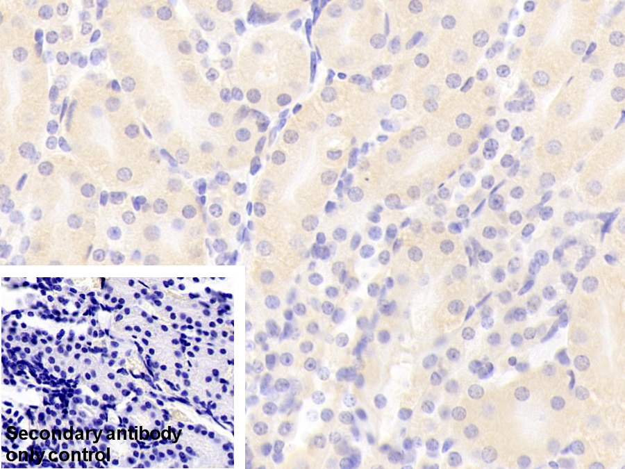
Polyclonal Antibody to Retinol Binding Protein 4 (RBP4) (PAA929Mu01)
Реактивность подтвержденная:
мышь
Источник (хозяин):
кролик
Валидировано для:
IHC
WB
Характеристики
Техническое описание
| Русское название | PAA929Mu01 Поликлональное антитело к RBP4 (мышь) <Cloud-Clone,Китай> |
| Каталожный номер | PAA929Mu01 |
| Название антигена | Retinol Binding Protein 4, Plasma (RBP4) |
| UNIPROT | Q00724 |
| Иммуноген | RPA929Mu01-Recombinant Retinol Binding Protein 4 (RBP4) |
| Английские синонимы | PRBP, RBP, Plasma retinol-binding protein |
Реактивность подтвержденная Нужна другая реактивность? |
мышь |
| Реактивность предсказываемая | человек, крыса |
| Источник (хозяин) | кролик |
| Клональность | поликлональное |
| Рекомбинантное | нет |
| Готовое к использованию | нет |
| Концентрация | 500 мкг/мл |
| Конъюгат | По запросу: HRP, biotin, PerCP, PE, Cy3, FITC, Cy7, Cy5.5, PE-Cy5, PE-Cy7, PerCp-Cy5.5, APC, Cy5, PE-Cy3, PE-Cy5.5, APC-Cy7, Biotin-APC, FITC-Biotin, TRITC, APC-Cy5, AF488, AF594, AF405, AF555, AF700, AF647, AF750 |
| Валидировано для | IHC WB Иммуногистохимия; Вестерн-блоттинг |
| Рекомендуемые разведения | WB: 0.5-2 мкг/мл; IHC: 5-20 мкг/мл; ICC: 5-20 мкг/мл; Оптимальное разведение определяется конечным потребителем |
| Метод очистки | Антигенспецифическая аффинная хроматография с последующей аффинной хроматографией с белком А |
| Состав буфера | 0.01M PBS, pH7.4, 0.05% Proclin-300, 50% глицерин |
| Условия доставки | термобокс с аккумуляторами холода |
| Условия хранения | Сразу после получения аликвотировать и хранить при -20ºС до 24 месяцев. Для частого использования хранить при +4ºС не более 2 недель. Избегать повторения циклов замерзания/оттаивания |
| Срок хранения | 24 месяца |
| Производитель | Cloud-Clone Corp. |
| Ссылка на страницу товара на сайте производителя | http://www.cloud-clone.com/products/PAA929Mu01.html |
|
Артикул
|
Наименование |
Производитель
|
|---|
|
Артикул
|
Наименование |
Производитель
|
|---|
|
Артикул
|
Наименование |
Производитель
|
|---|
|
Артикул
|
Наименование |
Производитель
|
|---|
|
Артикул
|
Наименование |
Производитель
|
|---|
|
Артикул
|
Наименование |
Производитель
|
|---|
|
Артикул
|
Наименование |
Производитель
|
|---|
|
Артикул
|
Наименование |
Производитель
|
|---|
Акции и предложения
Популярные продукты:
Anti-Human CD3 & CD4 Antibody (SAA2231) (RHB95904)
Источник (хозяин): человек
Реактивность подтвержденная: человек
Валидировано для: ELISA, FCM
Реактивность подтвержденная: человек
Валидировано для: ELISA, FCM
Anti-Wolfram Syndrome Protein 1 (WFS1) Monoclonal Antibody (FAL118Hu02)
Источник (хозяин): мышь
Реактивность подтвержденная: человек
Валидировано для: FCM
Реактивность подтвержденная: человек
Валидировано для: FCM
Bovine Retinol Binding Protein 4 ELISA kit (E11R0001)
Организм: корова
Диапазон определения: 0.5-10 мкг/мл
Чувствительность: 0.1 мкг/мл
Диапазон определения: 0.5-10 мкг/мл
Чувствительность: 0.1 мкг/мл
Canine Retinol Binding Protein 4 ELISA kit (E08R0001)
Организм: собака
Диапазон определения: 50-1000 нг/мл
Чувствительность: 1 нг/мл
Диапазон определения: 50-1000 нг/мл
Чувствительность: 1 нг/мл
Sheep Total Retinol Binding Protein ELISA kit (E14R0006)
Организм: овца
Chicken Total Retinol Binding Protein ELISA kit (E12R0006)
Организм: курица

