| UNIPROT | Q7TNK7 |
| Иммуноген | RPB718Ra01-Recombinant Rh Associated Glycoprotein (RHAG) |
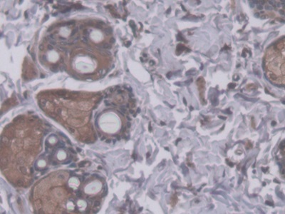
Polyclonal Antibody to Rh Associated Glycoprotein (RHAG) (PAB718Ra01)
Реактивность подтвержденная:
крыса
Источник (хозяин):
кролик
Валидировано для:
IHC
Характеристики
Техническое описание
| Русское название | PAB718Ra01 Поликлональное антитело к RHAG (крыса) <Cloud-Clone,Китай> |
| Каталожный номер | PAB718Ra01 |
| Название антигена | Rh Associated Glycoprotein (RHAG) |
| UNIPROT | Q7TNK7 |
| Иммуноген | RPB718Ra01-Recombinant Rh Associated Glycoprotein (RHAG) |
| Английские синонимы | CD241, CD 241, CD-241, RH2, RH50A, Rh50 GP, SLC42A1, Ammonium Transporter Rh Type A, Rhesus Blood Group-Associated Glycoprotein, Erythrocyte plasma membrane 50 kDa glycoprotein |
Реактивность подтвержденная Нужна другая реактивность? |
крыса |
| Реактивность предсказываемая | мышь |
| Источник (хозяин) | кролик |
| Клональность | поликлональное |
| Рекомбинантное | нет |
| Готовое к использованию | нет |
| Концентрация | 0.5 мг/мл |
| Конъюгат | По запросу: HRP, biotin, PerCP, PE, Cy3, FITC, Cy7, Cy5.5, PE-Cy5, PE-Cy7, PerCp-Cy5.5, APC, Cy5, PE-Cy3, PE-Cy5.5, APC-Cy7, Biotin-APC, FITC-Biotin, TRITC, APC-Cy5, AF488, AF594, AF405, AF555, AF700, AF647, AF750 |
| Валидировано для | IHC Иммуногистохимия |
| Рекомендуемые разведения | WB: 0.5-2 мкг/мл; IHC: 5-20 мкг/мл; ICC: 5-20 мкг/мл; Оптимальное разведение определяется конечным потребителем |
| Метод очистки | Антигенспецифическая аффинная хроматография с последующей аффинной хроматографией с белком А |
| Состав буфера | 0.01M PBS, pH7.4, 0.05% Proclin-300, 50% глицерин |
| Условия доставки | термобокс с аккумуляторами холода |
| Условия хранения | Сразу после получения аликвотировать и хранить при -20ºС до 24 месяцев. Для частого использования хранить при +4ºС не более 2 недель. Избегать повторения циклов замерзания/оттаивания |
| Срок хранения | 24 месяца |
| Производитель | Cloud-Clone Corp. |
| Ссылка на страницу товара на сайте производителя | http://www.cloud-clone.com/products/PAB718Ra01.html |
|
Артикул
|
Наименование |
Производитель
|
|---|
|
Артикул
|
Наименование |
Производитель
|
|---|
Акции и предложения
Популярные продукты:
Recombinant Human PBRM1 Protein, N-His (YHJ15601)
Источник (хозяин): E.coli
Организм: человек
Фрагмент: His1152-Gly1273
Теги: N-His
Биоактивность: нет
Организм: человек
Фрагмент: His1152-Gly1273
Теги: N-His
Биоактивность: нет
Eukaryotic Syndecan 1 (SDC1) (EPB966Hu62)
Источник (хозяин): 293F
Организм: человек
Фрагмент: Gln23-Leu253
Теги: N-концевой His-Tag и С-концевой Fc-регион IgG1 человека
Биоактивность: нет
Организм: человек
Фрагмент: Gln23-Leu253
Теги: N-концевой His-Tag и С-концевой Fc-регион IgG1 человека
Биоактивность: нет
Polyclonal Antibody to Rh Associated Glycoprotein (RHAG) (PAB718Ra01)
Источник (хозяин): кролик
Реактивность подтвержденная: крыса
Валидировано для: IHC
Реактивность подтвержденная: крыса
Валидировано для: IHC
Polyclonal Antibody to Calcium Channel, Voltage Dependent, N-Type, Alpha 1B Subunit (CACNa1B) (PAF240Mu01)
Источник (хозяин): кролик
Реактивность подтвержденная: мышь
Валидировано для: ICC, IHC, IP, WB
Реактивность подтвержденная: мышь
Валидировано для: ICC, IHC, IP, WB
Eukaryotic Syndecan 1 (SDC1) (EPB966Hu61)
Источник (хозяин): 293F
Организм: человек
Фрагмент: Gln23-Leu253
Теги: N-концевой His-Tag
Биоактивность: нет
Организм: человек
Фрагмент: Gln23-Leu253
Теги: N-концевой His-Tag
Биоактивность: нет
OR5D3 Mouse Monoclonal Antibody (BF9376)
Источник (хозяин): мышь
Реактивность подтвержденная: человек, мышь
Валидировано для: WB
Реактивность подтвержденная: человек, мышь
Валидировано для: WB

