| UNIPROT | Q5U209 |
| Иммуноген | RPD166Ra01-Recombinant Ribonuclease H2 Subunit A (RNASEH2A) |
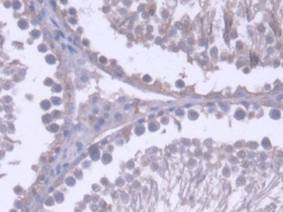
Polyclonal Antibody to Ribonuclease H2 Subunit A (RNASEH2A) (PAD166Ra01)
Реактивность подтвержденная:
крыса
Источник (хозяин):
кролик
Валидировано для:
IHC
Характеристики
Техническое описание
| Русское название | PAD166Ra01 Поликлональное антитело к RNASEH2A (крыса) <Cloud-Clone,Китай> |
| Каталожный номер | PAD166Ra01 |
| Название антигена | Ribonuclease H2 Subunit A (RNASEH2A) |
| UNIPROT | Q5U209 |
| Иммуноген | RPD166Ra01-Recombinant Ribonuclease H2 Subunit A (RNASEH2A) |
| Английские синонимы | Rnase-H2A, RNASEHI, RNHIA, RNHL, AGS4, Ribonuclease H2,Large Subunit, Aicardi-Goutieres Syndrome 4, Ribonuclease HI large subunit |
Реактивность подтвержденная Нужна другая реактивность? |
крыса |
| Реактивность предсказываемая | мышь |
| Источник (хозяин) | кролик |
| Клональность | поликлональное |
| Рекомбинантное | нет |
| Готовое к использованию | нет |
| Концентрация | 500 мкг/мл |
| Конъюгат | По запросу: HRP, biotin, PerCP, PE, Cy3, FITC, Cy7, Cy5.5, PE-Cy5, PE-Cy7, PerCp-Cy5.5, APC, Cy5, PE-Cy3, PE-Cy5.5, APC-Cy7, Biotin-APC, FITC-Biotin, TRITC, APC-Cy5, AF488, AF594, AF405, AF555, AF700, AF647, AF750 |
| Валидировано для | IHC Иммуногистохимия |
| Рекомендуемые разведения | WB: 0.2-2 мкг/мл; 1:250-2500; IHC: 5-20 мкг/мл; 1:25-100; ICC: 5-20 мкг/мл; 1:25-100; Оптимальное разведение определяется конечным потребителем |
| Метод очистки | Антигенспецифическая аффинная хроматография с последующей аффинной хроматографией с белком А |
| Состав буфера | 0.01M PBS, pH7.4, 0.05% Proclin-300, 50% глицерин |
| Условия доставки | термобокс с аккумуляторами холода |
| Условия хранения | Сразу после получения аликвотировать и хранить при -20ºС до 24 месяцев. Для частого использования хранить при +4ºС не более 2 недель. Избегать повторения циклов замерзания/оттаивания |
| Срок хранения | 24 месяца |
| Производитель | Cloud-Clone Corp. |
| Ссылка на страницу товара на сайте производителя | http://www.cloud-clone.com/products/PAD166Ra01.html |
|
Артикул
|
Наименование |
Производитель
|
|---|
|
Артикул
|
Наименование |
Производитель
|
|---|
|
Артикул
|
Наименование |
Производитель
|
|---|
|
Артикул
|
Наименование |
Производитель
|
|---|
Акции и предложения
Популярные продукты:
ELISA Kit DIY Materials for Myeloid Differentiation Factor 88 (MyD88) (KSB707Hu01)
Организм: человек
Диапазон определения: 15.6-1000 пг/мл
Чувствительность: 6.0 пг/мл
Диапазон определения: 15.6-1000 пг/мл
Чувствительность: 6.0 пг/мл
Monoclonal Antibody to Beta-2-Microglobulin (b2M) (MAA260Ra23)
Источник (хозяин): мышь
Реактивность подтвержденная: крыса
Валидировано для: WB
Реактивность подтвержденная: крыса
Валидировано для: WB
Porcine Protein BTG3(BTG3) ELISA kit (E07P0800)
Организм: свинья
Monkey Arginyl aminopeptidase like 1(RNPEPL1) ELISA kit (E09A1959)
Организм: обезьяна

