| UNIPROT | P13489 |
| Иммуноген | RPB444Hu01-Recombinant Ribonuclease Inhibitor (RI) |
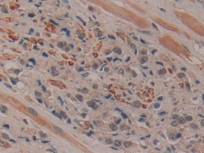
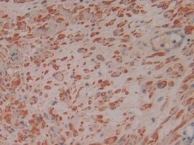
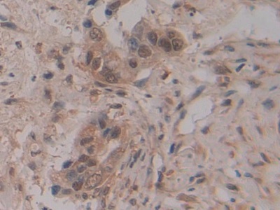
Polyclonal Antibody to Ribonuclease Inhibitor (RI) (PAB444Hu01)
Реактивность подтвержденная:
человек
Источник (хозяин):
кролик
Валидировано для:
IHC
WB
Характеристики
Техническое описание
| Русское название | PAB444Hu01 Поликлональное антитело к ингибитору рибонуклеазы (человек) <Cloud-Clone,Китай> |
| Каталожный номер | PAB444Hu01 |
| Название антигена | Ribonuclease Inhibitor (RI) |
| UNIPROT | P13489 |
| Иммуноген | RPB444Hu01-Recombinant Ribonuclease Inhibitor (RI) |
| Английские синонимы | RNH1, RNH, RAI, Ribonuclease/Angiogenin Inhibitor 1, Placental ribonuclease inhibitor, Placental RNase inhibitor |
Реактивность подтвержденная Нужна другая реактивность? |
человек |
| Реактивность предсказываемая | мышь, крыса |
| Источник (хозяин) | кролик |
| Клональность | поликлональное |
| Рекомбинантное | нет |
| Готовое к использованию | нет |
| Концентрация | 500 мкг/мл |
| Конъюгат | По запросу: HRP, biotin, PerCP, PE, Cy3, FITC, Cy7, Cy5.5, PE-Cy5, PE-Cy7, PerCp-Cy5.5, APC, Cy5, PE-Cy3, PE-Cy5.5, APC-Cy7, Biotin-APC, FITC-Biotin, TRITC, APC-Cy5, AF488, AF594, AF405, AF555, AF700, AF647, AF750 |
| Валидировано для | IHC WB Иммуногистохимия; Вестерн-блоттинг |
| Рекомендуемые разведения | WB: 0.5-5 мкг/мл; IHC: 5-20 мкг/мл; ICC: 5-20 мкг/мл; Оптимальное разведение определяется конечным потребителем |
| Метод очистки | Антигенспецифическая аффинная хроматография с последующей аффинной хроматографией с белком А |
| Состав буфера | 0.01M PBS, pH7.4, 0.05% Proclin-300, 50% глицерин |
| Условия доставки | термобокс с аккумуляторами холода |
| Условия хранения | Сразу после получения аликвотировать и хранить при -20ºС до 24 месяцев. Для частого использования хранить при +4ºС не более 2 недель. Избегать повторения циклов замерзания/оттаивания |
| Срок хранения | 24 месяца |
| Производитель | Cloud-Clone Corp. |
| Ссылка на страницу товара на сайте производителя | http://www.cloud-clone.com/products/PAB444Hu01.html |
|
Артикул
|
Наименование |
Производитель
|
|---|
|
Артикул
|
Наименование |
Производитель
|
|---|
|
Артикул
|
Наименование |
Производитель
|
|---|
|
Артикул
|
Наименование |
Производитель
|
|---|
Акции и предложения
Популярные продукты:
Rabbit β klotho(KLB) ELISA kit (E04B0942)
Организм: кролик
Goat Aquaporin-8(AQP8) ELISA kit (E06A1618)
Организм: коза
Monkey Mitochondrial uncoupling protein 2(UCP2) ELISA kit (E09M0443)
Организм: обезьяна
Bovine Alpha crystallin A chain(CRYAA) ELISA kit (E11A1817)
Организм: корова
Human Dihydropyrimidine Dehydrogenase ELISA kit (E01D0256)
Организм: человек
Диапазон определения: 0.5-10 нг/мл
Чувствительность: 0.1 нг/мл
Диапазон определения: 0.5-10 нг/мл
Чувствительность: 0.1 нг/мл
Porcine Ribonuclease Inhibitor ELISA kit (E07R0052)
Организм: свинья

