| UNIPROT | O75818 |
| Иммуноген | RPA198Hu01-Recombinant Ribonuclease P (RNASEP) |
Polyclonal Antibody to Ribonuclease P (RNASEP) (PAA198Hu01)
Реактивность подтвержденная:
человек
Источник (хозяин):
кролик
Валидировано для:
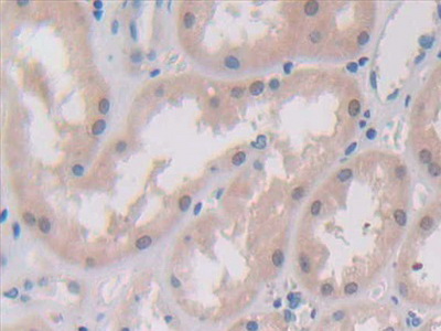
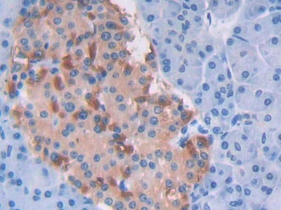
IHC
Характеристики
Техническое описание
| Русское название | PAA198Hu01 Поликлональное антитело к RNASEP (человек) <Cloud-Clone,Китай> |
| Каталожный номер | PAA198Hu01 |
| Название антигена | Ribonuclease P (RNASEP) |
| UNIPROT | O75818 |
| Иммуноген | RPA198Hu01-Recombinant Ribonuclease P (RNASEP) |
| Английские синонимы | Rnase-P, RNASEP1, RPP40, Ribonuclease P/MRP 40kDa Subunit |
| Русские синонимы | РНКаза Р |
Реактивность подтвержденная Нужна другая реактивность? |
человек |
| Источник (хозяин) | кролик |
| Клональность | поликлональное |
| Рекомбинантное | нет |
| Готовое к использованию | нет |
| Концентрация | 500 мкг/мл |
| Конъюгат | По запросу: HRP, biotin, PerCP, PE, Cy3, FITC, Cy7, Cy5.5, PE-Cy5, PE-Cy7, PerCp-Cy5.5, APC, Cy5, PE-Cy3, PE-Cy5.5, APC-Cy7, Biotin-APC, FITC-Biotin, TRITC, APC-Cy5, AF488, AF594, AF405, AF555, AF700, AF647, AF750 |
| Валидировано для | IHC Иммуногистохимия |
| Рекомендуемые разведения | WB: 0.2-2 мкг/мл; 1:250-2500; IHC: 5-20 мкг/мл; 1:25-100; ICC: 5-20 мкг/мл; 1:25-100; Оптимальное разведение определяется конечным потребителем |
| Метод очистки | Антигенспецифическая аффинная хроматография с последующей аффинной хроматографией с белком А |
| Состав буфера | 0.01M PBS, pH7.4, 0.05% Proclin-300, 50% глицерин |
| Условия доставки | термобокс с аккумуляторами холода |
| Условия хранения | Сразу после получения аликвотировать и хранить при -20ºС до 24 месяцев. Для частого использования хранить при +4ºС не более 2 недель. Избегать повторения циклов замерзания/оттаивания |
| Срок хранения | 24 месяца |
| Производитель | Cloud-Clone Corp. |
| Ссылка на страницу товара на сайте производителя | http://www.cloud-clone.com/products/PAA198Hu01.html |
|
Артикул
|
Наименование |
Производитель
|
|---|
|
Артикул
|
Наименование |
Производитель
|
|---|
Акции и предложения
Популярные продукты:
Sheep Amelogenin, Y isoform(AMELY) ELISA kit (E14A1062)
Организм: овца
Rabbit Coatomer subunit gamma 2(COPG2) ELISA kit (E04C1936)
Организм: кролик
Porcine Taste receptor type 1 member 1 ELISA kit (E07T0882)
Организм: свинья
Goat Tumor necrosis factor receptor superfamily member 10B ELISA kit (E06T0891)
Организм: коза
Диапазон определения: 0.5-10 нг/мл
Диапазон определения: 0.5-10 нг/мл

