| UNIPROT | P23297 |
| Иммуноген | RPA012Hu01-Recombinant S100 Calcium Binding Protein (S100) |
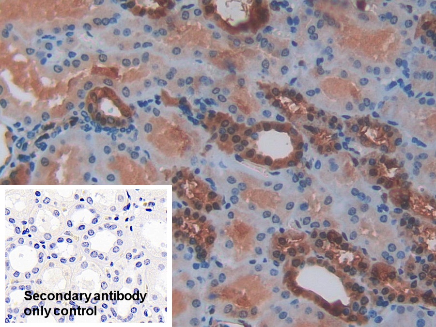
Polyclonal Antibody to S100 Calcium Binding Protein (S100) (PAA012Hu01)
Реактивность подтвержденная:
человек
Источник (хозяин):
кролик
Валидировано для:
IHC
WB
Характеристики
Техническое описание
| Русское название | PAA012Hu01 Поликлональное антитело к S100 (человек) <Cloud-Clone,Китай> |
| Каталожный номер | PAA012Hu01 |
| Название антигена | S100 Calcium Binding Protein (S100) |
| UNIPROT | P23297 |
| Иммуноген | RPA012Hu01-Recombinant S100 Calcium Binding Protein (S100) |
| Английские синонимы | S100-A1, S100A1, S100-Alpha, S-100 Protein, S-100 protein subunit alpha, S-100 protein alpha chain |
Реактивность подтвержденная Нужна другая реактивность? |
человек |
| Источник (хозяин) | кролик |
| Клональность | поликлональное |
| Рекомбинантное | нет |
| Готовое к использованию | нет |
| Концентрация | 0.33 мг/мл |
| Конъюгат | По запросу: HRP, biotin, PerCP, PE, Cy3, FITC, Cy7, Cy5.5, PE-Cy5, PE-Cy7, PerCp-Cy5.5, APC, Cy5, PE-Cy3, PE-Cy5.5, APC-Cy7, Biotin-APC, FITC-Biotin, TRITC, APC-Cy5, AF488, AF594, AF405, AF555, AF700, AF647, AF750 |
| Валидировано для | IHC WB Иммуногистохимия; Вестерн-блоттинг |
| Рекомендуемые разведения | WB: 0.01-2 мкг/мл; IHC: 5-20 мкг/мл; ICC: 5-20 мкг/мл; Оптимальное разведение определяется конечным потребителем |
| Метод очистки | Антигенспецифическая аффинная хроматография с последующей аффинной хроматографией с белком А |
| Состав буфера | PBS, pH7.4, 0.02% NaN3, 50% глицерин |
| Условия доставки | термобокс с аккумуляторами холода |
| Условия хранения | Сразу после получения аликвотировать и хранить при -20ºС до 24 месяцев. Для частого использования хранить при +4ºС не более 2 недель. Избегать повторения циклов замерзания/оттаивания |
| Срок хранения | 24 месяца |
| Производитель | Cloud-Clone Corp. |
| Ссылка на страницу товара на сайте производителя | http://www.cloud-clone.com/products/PAA012Hu01.html |
|
Артикул
|
Наименование |
Производитель
|
|---|
|
Артикул
|
Наименование |
Производитель
|
|---|
|
Артикул
|
Наименование |
Производитель
|
|---|
|
Артикул
|
Наименование |
Производитель
|
|---|
|
Артикул
|
Наименование |
Производитель
|
|---|
|
Артикул
|
Наименование |
Производитель
|
|---|
Акции и предложения
Популярные продукты:
Human 15 hydroxyprostaglandin dehydrogenase [NAD+](HPGD) ELISA kit (E01H0149)
Организм: человек
Диапазон определения: 1-25 нг/мл
Чувствительность: 0.1 нг/мл
Диапазон определения: 1-25 нг/мл
Чувствительность: 0.1 нг/мл
Recombinant Human S100A1 Protein, N-His (YHD56601)
Источник (хозяин): E.coli
Организм: человек
Фрагмент: Met1-Ser94
Теги: N-His
Биоактивность: нет
Организм: человек
Фрагмент: Met1-Ser94
Теги: N-His
Биоактивность: нет
Recombinant Human PSMD11 Protein, N-His (YHA06301)
Источник (хозяин): E.coli
Организм: человек
Фрагмент: Met1-Thr422
Теги: N-His
Биоактивность: нет
Организм: человек
Фрагмент: Met1-Thr422
Теги: N-His
Биоактивность: нет
Recombinant Human PIGR Protein, C-His (Active) (AHB96101)
Источник (хозяин): клетки млекопитающих
Организм: человек
Фрагмент: Lys19-Arg638
Теги: C-His
Биоактивность: да
Организм: человек
Фрагмент: Lys19-Arg638
Теги: C-His
Биоактивность: да
Anti-GABRA5 Antibody (R1U25) (RHD96204)
Источник (хозяин): кролик
Реактивность подтвержденная: человек, мышь, крыса
Валидировано для: IF, WB
Реактивность подтвержденная: человек, мышь, крыса
Валидировано для: IF, WB
Recombinant S100 Calcium Binding Protein (S100) (RPA012Mu02)
Источник (хозяин): E.coli
Организм: мышь
Теги: N-концевой His-Tag
Биоактивность: нет
Организм: мышь
Теги: N-концевой His-Tag
Биоактивность: нет

