| UNIPROT | Q9H0K1 |
| Иммуноген | RPM257Hu01-Recombinant Salt Inducible Kinase 2 (SIK2) |
Polyclonal Antibody to Salt Inducible Kinase 2 (SIK2) (PAM257Hu01)
Реактивность подтвержденная:
человек
Источник (хозяин):
кролик
Валидировано для:
IHC
WB
Характеристики
Техническое описание
| Русское название | PAM257Hu01 Поликлональное антитело к SIK2 (человек) <Cloud-Clone,Китай> |
| Каталожный номер | PAM257Hu01 |
| Название антигена | Salt Inducible Kinase 2 (SIK2) |
| UNIPROT | Q9H0K1 |
| Иммуноген | RPM257Hu01-Recombinant Salt Inducible Kinase 2 (SIK2) |
| Английские синонимы | LOH11CR1I, QIK, SNF1LK2, SNF1-Like Kinase 2, Qin-induced kinase, Serine/threonine-protein kinase SNF1-like kinase 2 |
Реактивность подтвержденная Нужна другая реактивность? |
человек |
| Реактивность предсказываемая | мышь, крыса, свинья |
| Источник (хозяин) | кролик |
| Клональность | поликлональное |
| Рекомбинантное | нет |
| Готовое к использованию | нет |
| Концентрация | 0.42 мг/мл |
| Конъюгат | По запросу: HRP, biotin, PerCP, PE, Cy3, FITC, Cy7, Cy5.5, PE-Cy5, PE-Cy7, PerCp-Cy5.5, APC, Cy5, PE-Cy3, PE-Cy5.5, APC-Cy7, Biotin-APC, FITC-Biotin, TRITC, APC-Cy5, AF488, AF594, AF405, AF555, AF700, AF647, AF750 |
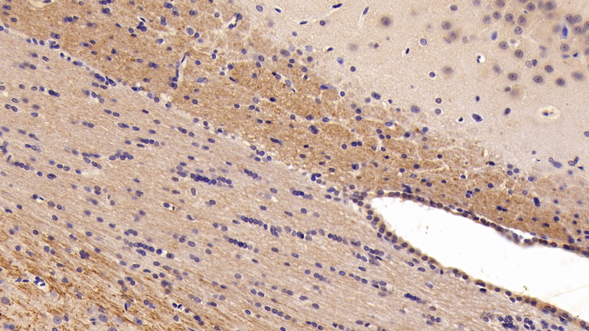
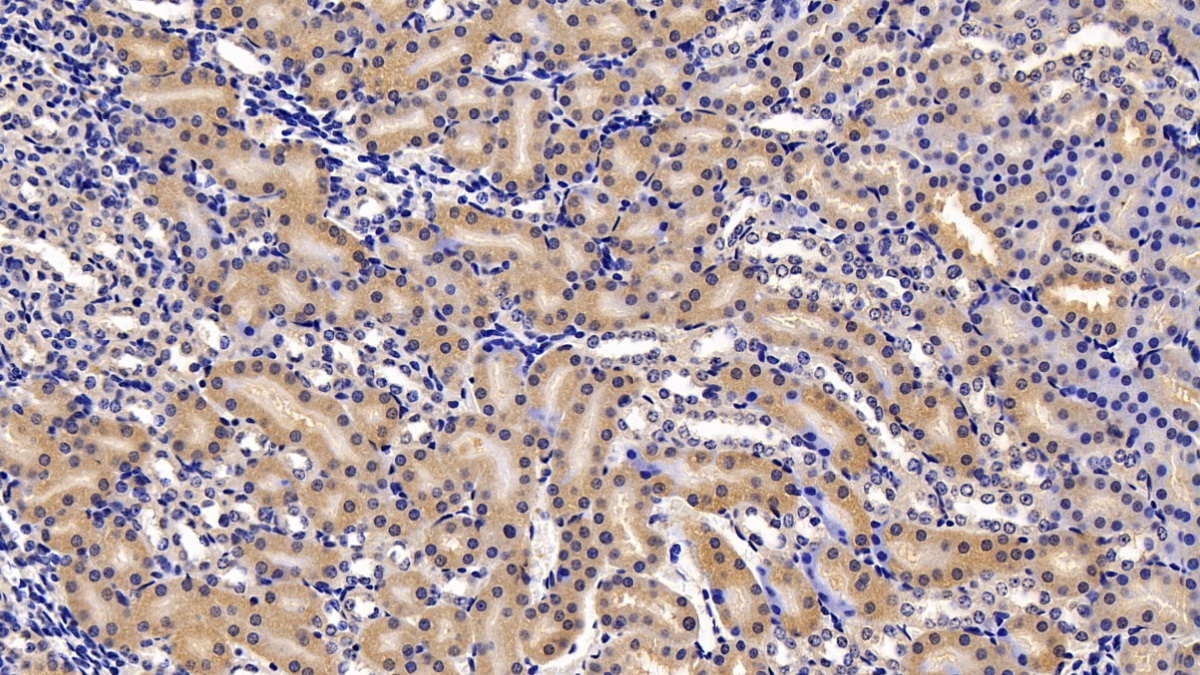
| Валидировано для | IHC WB Иммуногистохимия; Вестерн-блоттинг |
| Рекомендуемые разведения | WB: 0.01-2 мкг/мл; IHC: 5-20 мкг/мл; Оптимальное разведение определяется конечным потребителем |
| Метод очистки | Антигенспецифическая аффинная хроматография с последующей аффинной хроматографией с белком А |
| Состав буфера | 0.01M PBS, pH7.4, 0.05% Proclin-300, 50% глицерин |
| Условия доставки | термобокс с аккумуляторами холода |
| Условия хранения | Сразу после получения аликвотировать и хранить при -20ºС до 24 месяцев. Для частого использования хранить при +4ºС не более 2 недель. Избегать повторения циклов замерзания/оттаивания |
| Срок хранения | 24 месяца |
| Производитель | Cloud-Clone Corp. |
| Ссылка на страницу товара на сайте производителя | http://www.cloud-clone.com/products/PAM257Hu01.html |
|
Артикул
|
Наименование |
Производитель
|
|---|
|
Артикул
|
Наименование |
Производитель
|
|---|
Акции и предложения
Популярные продукты:
NF kappaB p105/p50 Antibody (AF6217)
Источник (хозяин): кролик
Реактивность подтвержденная: человек, мышь, крыса
Валидировано для: IHC, WB, IF, ICC
Реактивность подтвержденная: человек, мышь, крыса
Валидировано для: IHC, WB, IF, ICC
Monoclonal Antibody to Defensin Beta 1 (DEFb1) (MAB373Hu22)
Источник (хозяин): мышь
Реактивность подтвержденная: человек
Валидировано для: ICC, IHC, IP, WB
Реактивность подтвержденная: человек
Валидировано для: ICC, IHC, IP, WB
Polyclonal Antibody to Salt Inducible Kinase 2 (SIK2) (PAM257Hu01)
Источник (хозяин): кролик
Реактивность подтвержденная: человек
Валидировано для: IHC, WB
Реактивность подтвержденная: человек
Валидировано для: IHC, WB
Rabbit Anti-NeuN Antibody (SAA2241) (RHA00601)
Источник (хозяин): кролик
Реактивность подтвержденная: человек, мышь, крыса
Валидировано для: FCM, ICC, IF, IHC, WB
Реактивность подтвержденная: человек, мышь, крыса
Валидировано для: FCM, ICC, IF, IHC, WB
Mouse Anti-SARS-CoV-2 S/Spike glycoprotein IgA Antibody (SAA2227) (RVV00326)
Источник (хозяин): мышь
Реактивность подтвержденная: вирусы
Валидировано для: ELISA
Реактивность подтвержденная: вирусы
Валидировано для: ELISA
Mouse Anti-Plasmodium berghei CSP Antibody (SAb2279) (RXX55206)
Источник (хозяин): мышь
Реактивность подтвержденная: простейшие
Валидировано для: ELISA, NEUT
Реактивность подтвержденная: простейшие
Валидировано для: ELISA, NEUT

