| UNIPROT | Q9CZC8 |
| Иммуноген | RPC836Mu01-Recombinant Secernin 1 (SCRN1) |
Polyclonal Antibody to Secernin 1 (SCRN1) (PAC836Mu01)
Реактивность подтвержденная:
мышь
Источник (хозяин):
кролик
Валидировано для:
IHC
WB
Характеристики
Техническое описание
| Русское название | PAC836Mu01 Поликлональное антитело к SCRN1 (мышь) <Cloud-Clone,Китай> |
| Каталожный номер | PAC836Mu01 |
| Название антигена | Secernin 1 (SCRN1) |
| UNIPROT | Q9CZC8 |
| Иммуноген | RPC836Mu01-Recombinant Secernin 1 (SCRN1) |
| Английские синонимы | SES1 |
Реактивность подтвержденная Нужна другая реактивность? |
мышь |
| Реактивность предсказываемая | человек, крыса |
| Источник (хозяин) | кролик |
| Клональность | поликлональное |
| Рекомбинантное | нет |
| Готовое к использованию | нет |
| Концентрация | 500 мкг/мл |
| Конъюгат | По запросу: HRP, biotin, PerCP, PE, Cy3, FITC, Cy7, Cy5.5, PE-Cy5, PE-Cy7, PerCp-Cy5.5, APC, Cy5, PE-Cy3, PE-Cy5.5, APC-Cy7, Biotin-APC, FITC-Biotin, TRITC, APC-Cy5, AF488, AF594, AF405, AF555, AF700, AF647, AF750 |
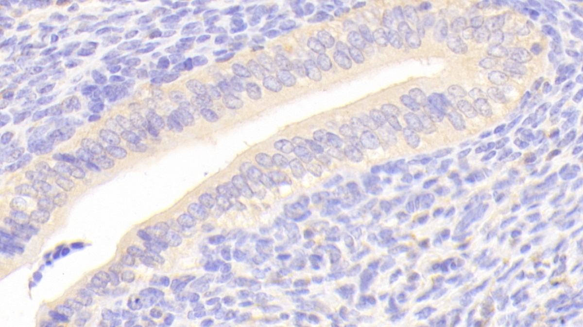
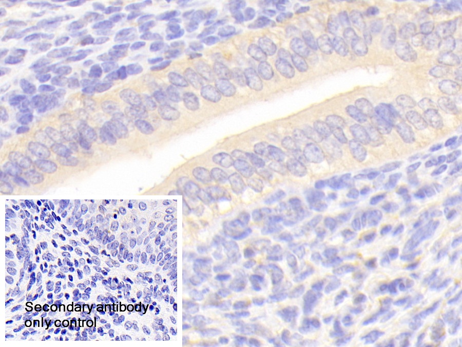
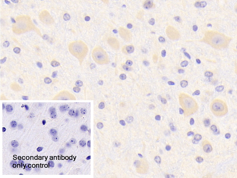
| Валидировано для | IHC WB Иммуногистохимия; Вестерн-блоттинг |
| Рекомендуемые разведения | WB: 0.5-2 мкг/мл; IHC: 5-20 мкг/мл; ICC: 5-20 мкг/мл; Оптимальное разведение определяется конечным потребителем |
| Метод очистки | Антигенспецифическая аффинная хроматография с последующей аффинной хроматографией с белком А |
| Состав буфера | PBS, pH7.4, 0.02% NaN3, 50% глицерин |
| Условия доставки | термобокс с аккумуляторами холода |
| Условия хранения | Сразу после получения аликвотировать и хранить при -20ºС до 24 месяцев. Для частого использования хранить при +4ºС не более 2 недель. Избегать повторения циклов замерзания/оттаивания |
| Срок хранения | 24 месяца |
| Производитель | Cloud-Clone Corp. |
| Ссылка на страницу товара на сайте производителя | http://www.cloud-clone.com/products/PAC836Mu01.html |
|
Артикул
|
Наименование |
Производитель
|
|---|
|
Артикул
|
Наименование |
Производитель
|
|---|
Акции и предложения
Популярные продукты:
KRIBIOLISA Voxalatamab ELISA (KBI1775)
Организм: человек
Диапазон определения: 0 - 2000 нг/мл
Чувствительность: 15 нг/мл
Диапазон определения: 0 - 2000 нг/мл
Чувствительность: 15 нг/мл
Anti-Galectin 3 (GAL3) Monoclonal Antibody (FAA303Ra06)
Источник (хозяин): мышь
Реактивность подтвержденная: крыса
Валидировано для: FCM
Реактивность подтвержденная: крыса
Валидировано для: FCM
Sheep Stathmin 2(STMN2) ELISA kit (E14S0414)
Организм: овца
Chicken Stathmin 2(STMN2) ELISA kit (E12S0414)
Организм: курица
Bovine Stathmin 2(STMN2) ELISA kit (E11S0414)
Организм: корова
Canine Stathmin 2(STMN2) ELISA kit (E08S0414)
Организм: собака

