| UNIPROT | Q5RJN3 |
| Иммуноген | RPB575Ra01-Recombinant Secondary Lymphoid Tissue Chemokine (SLC) |
Polyclonal Antibody to Secondary Lymphoid Tissue Chemokine (SLC) (PAB575Ra01)
Реактивность подтвержденная:
крыса
Источник (хозяин):
кролик
Валидировано для:
IHC
Характеристики
Техническое описание
| Русское название | PAB575Ra01 Поликлональное антитело к SLC (крыса) <Cloud-Clone,Китай> |
| Каталожный номер | PAB575Ra01 |
| Название антигена | Secondary Lymphoid Tissue Chemokine (SLC) |
| UNIPROT | Q5RJN3 |
| Иммуноген | RPB575Ra01-Recombinant Secondary Lymphoid Tissue Chemokine (SLC) |
| Английские синонимы | CCL21, 6Ckine, CKb9, ECL, SCYA21, TCA4, Chemokine(C-C-Motif)Ligand 21, Beta Chemokine Exodus-2, Efficient Chemoattractant For Lymphocytes |
Реактивность подтвержденная Нужна другая реактивность? |
крыса |
| Источник (хозяин) | кролик |
| Клональность | поликлональное |
| Рекомбинантное | нет |
| Готовое к использованию | нет |
| Концентрация | 0.4 мг/мл |
| Конъюгат | По запросу: HRP, biotin, PerCP, PE, Cy3, FITC, Cy7, Cy5.5, PE-Cy5, PE-Cy7, PerCp-Cy5.5, APC, Cy5, PE-Cy3, PE-Cy5.5, APC-Cy7, Biotin-APC, FITC-Biotin, TRITC, APC-Cy5, AF488, AF594, AF405, AF555, AF700, AF647, AF750 |
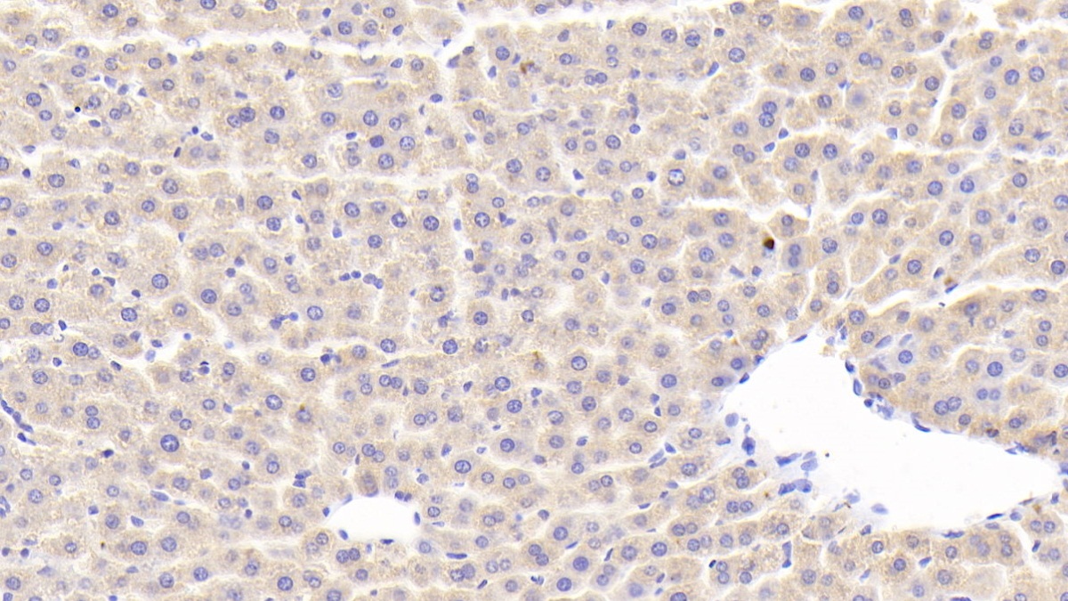
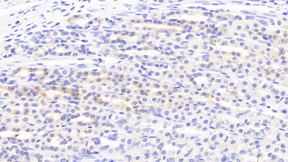
| Валидировано для | IHC Иммуногистохимия |
| Рекомендуемые разведения | WB: 0.01-2 мкг/мл; IHC: 5-20 мкг/мл; ICC: 5-20 мкг/мл; Оптимальное разведение определяется конечным потребителем |
| Метод очистки | Антигенспецифическая аффинная хроматография с последующей аффинной хроматографией с белком А |
| Состав буфера | PBS, pH7.4, 0.02% NaN3, 50% глицерин |
| Условия доставки | термобокс с аккумуляторами холода |
| Условия хранения | Сразу после получения аликвотировать и хранить при -20ºС до 24 месяцев. Для частого использования хранить при +4ºС не более 2 недель. Избегать повторения циклов замерзания/оттаивания |
| Срок хранения | 24 месяца |
| Производитель | Cloud-Clone Corp. |
| Ссылка на страницу товара на сайте производителя | http://www.cloud-clone.com/products/PAB575Ra01.html |
|
Артикул
|
Наименование |
Производитель
|
|---|
|
Артикул
|
Наименование |
Производитель
|
|---|
|
Артикул
|
Наименование |
Производитель
|
|---|
Акции и предложения
Популярные продукты:
Anti-Cyclophilin A (CYPA) Polyclonal Antibody (FAA979Po01)
Источник (хозяин): кролик
Реактивность подтвержденная: свинья
Валидировано для: WB
Реактивность подтвержденная: свинья
Валидировано для: WB
Chicken Transglutaminase 2,Tissue ELISA kit (E12T0764)
Организм: курица
Mouse Transglutaminase 2,Tissue ELISA kit (E03T0764)
Организм: мышь
Recombinant Human FSHR Protein, N-His (YHD61001)
Источник (хозяин): E.coli
Организм: человек
Фрагмент: Ser16-Lys349
Теги: N-His
Биоактивность: нет
Организм: человек
Фрагмент: Ser16-Lys349
Теги: N-His
Биоактивность: нет
Anti-FCGRT/FCRN Antibody (R3N47) (RHF14602)
Источник (хозяин): мышь
Реактивность подтвержденная: человек
Валидировано для: ELISA, FCM
Реактивность подтвержденная: человек
Валидировано для: ELISA, FCM

