| UNIPROT | Q14563 |
| Иммуноген | RPL917Hu01-Recombinant Semaphorin 3A (SEMA3A) |
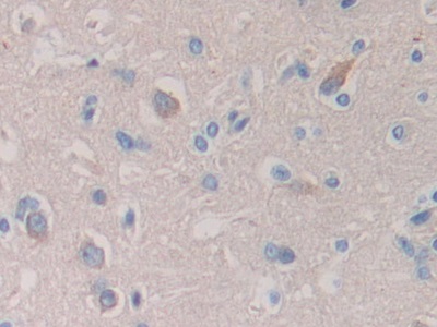
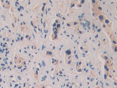
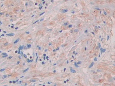
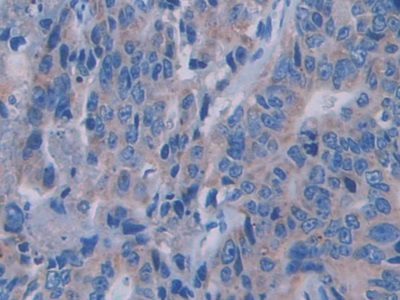
Polyclonal Antibody to Semaphorin 3A (SEMA3A) (PAL917Hu01)
Реактивность подтвержденная:
человек
Источник (хозяин):
кролик
Валидировано для:
IHC
Характеристики
Техническое описание
| Русское название | PAL917Hu01 Поликлональное антитело к SEMA3A (человек) <Cloud-Clone,Китай> |
| Каталожный номер | PAL917Hu01 |
| Название антигена | Semaphorin 3A (SEMA3A) |
| UNIPROT | Q14563 |
| Иммуноген | RPL917Hu01-Recombinant Semaphorin 3A (SEMA3A) |
| Английские синонимы | SEMAL, Hsema-I, Hsema-III, SEMA1, SEMAD, SEMAIII, SemD, Coll-1, Sema Domain,Immunoglobulin Domain(Ig),Transmembrane Domain(TM)and Short Cytoplasmic Domain 3A |
Реактивность подтвержденная Нужна другая реактивность? |
человек |
| Реактивность предсказываемая | мышь, крыса |
| Источник (хозяин) | кролик |
| Клональность | поликлональное |
| Рекомбинантное | нет |
| Готовое к использованию | нет |
| Концентрация | 500 мкг/мл |
| Конъюгат | По запросу: HRP, biotin, PerCP, PE, Cy3, FITC, Cy7, Cy5.5, PE-Cy5, PE-Cy7, PerCp-Cy5.5, APC, Cy5, PE-Cy3, PE-Cy5.5, APC-Cy7, Biotin-APC, FITC-Biotin, TRITC, APC-Cy5, AF488, AF594, AF405, AF555, AF700, AF647, AF750 |
| Валидировано для | IHC Иммуногистохимия |
| Рекомендуемые разведения | WB: 0.5-2 мкг/мл; IHC: 5-20 мкг/мл; ICC: 5-20 мкг/мл; Оптимальное разведение определяется конечным потребителем |
| Метод очистки | Антигенспецифическая аффинная хроматография с последующей аффинной хроматографией с белком А |
| Состав буфера | PBS, pH7.4, 0.02% NaN3, 50% глицерин |
| Условия доставки | термобокс с аккумуляторами холода |
| Условия хранения | Сразу после получения аликвотировать и хранить при -20ºС до 24 месяцев. Для частого использования хранить при +4ºС не более 2 недель. Избегать повторения циклов замерзания/оттаивания |
| Срок хранения | 24 месяца |
| Производитель | Cloud-Clone Corp. |
| Ссылка на страницу товара на сайте производителя | http://www.cloud-clone.com/products/PAL917Hu01.html |
|
Артикул
|
Наименование |
Производитель
|
|---|
|
Артикул
|
Наименование |
Производитель
|
|---|
|
Артикул
|
Наименование |
Производитель
|
|---|
|
Артикул
|
Наименование |
Производитель
|
|---|
|
Артикул
|
Наименование |
Производитель
|
|---|
Акции и предложения
Популярные продукты:
Anti-SARS-CoV-2 Spike Protein (NTD) Broad-Neutralizing Antibody(Fs0375) (RVV00211)
Источник (хозяин): человек
Реактивность подтвержденная: вирусы
Валидировано для: ELISA, NEUT
Реактивность подтвержденная: вирусы
Валидировано для: ELISA, NEUT
Anti-Mouse CXCL9/MIG Antibody (MIG-2F5.5), AF488 (FMG11915)
Источник (хозяин): хомяк
Реактивность подтвержденная: мышь
Валидировано для: ELISA, FCM, FuncS
Реактивность подтвержденная: мышь
Валидировано для: ELISA, FCM, FuncS
Anti-Klebsiella pneumoniae mrkA Antibody (SAb2298) (RXX26102)
Источник (хозяин): мышь
Реактивность подтвержденная: бактерии
Валидировано для: ELISA, IF, IP, WB
Реактивность подтвержденная: бактерии
Валидировано для: ELISA, IF, IP, WB
Anti-HIV-1 p24 Antibody (SAb2367) (RVV19307)
Источник (хозяин): мышь
Реактивность подтвержденная: вирусы
Валидировано для: CLIA, ELISA
Реактивность подтвержденная: вирусы
Валидировано для: CLIA, ELISA
ELISA Kit DIY Materials for Cathepsin L (CTSL) (KSA306Ra01)
Организм: крыса
Диапазон определения: 0.625-40 нг/мл
Чувствительность: 0.239 нг/мл
Диапазон определения: 0.625-40 нг/мл
Чувствительность: 0.239 нг/мл
ELISA Kit DIY Materials for Thioredoxin-interacting Protein (TXNIP) (KSB162Mu01)
Организм: мышь
Диапазон определения: 0.312-20 нг/мл
Чувствительность: 0.117 нг/мл
Диапазон определения: 0.312-20 нг/мл
Чувствительность: 0.117 нг/мл

