| UNIPROT | Q63548 |
| Иммуноген | RPL917Ra01-Recombinant Semaphorin 3A (SEMA3A) |
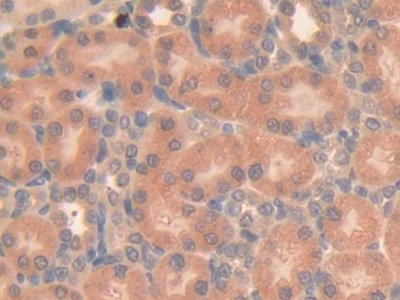
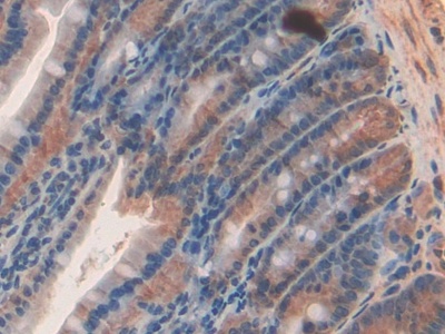
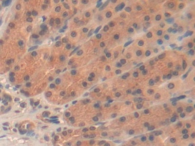
Polyclonal Antibody to Semaphorin 3A (SEMA3A) (PAL917Ra01)
Реактивность подтвержденная:
крыса
Источник (хозяин):
кролик
Валидировано для:
IHC
Характеристики
Техническое описание
| Русское название | PAL917Ra01 Поликлональное антитело к SEMA3A (крыса) <Cloud-Clone,Китай> |
| Каталожный номер | PAL917Ra01 |
| Название антигена | Semaphorin 3A (SEMA3A) |
| UNIPROT | Q63548 |
| Иммуноген | RPL917Ra01-Recombinant Semaphorin 3A (SEMA3A) |
| Английские синонимы | SEMAL, Hsema-I, Hsema-III, SEMA1, SEMAD, SEMAIII, SemD, Coll-1, Sema Domain,Immunoglobulin Domain(Ig),Transmembrane Domain(TM)and Short Cytoplasmic Domain 3A |
Реактивность подтвержденная Нужна другая реактивность? |
крыса |
| Источник (хозяин) | кролик |
| Клональность | поликлональное |
| Рекомбинантное | нет |
| Готовое к использованию | нет |
| Концентрация | 0.5 мг/мл |
| Конъюгат | По запросу: HRP, biotin, PerCP, PE, Cy3, FITC, Cy7, Cy5.5, PE-Cy5, PE-Cy7, PerCp-Cy5.5, APC, Cy5, PE-Cy3, PE-Cy5.5, APC-Cy7, Biotin-APC, FITC-Biotin, TRITC, APC-Cy5, AF488, AF594, AF405, AF555, AF700, AF647, AF750 |
| Валидировано для | IHC Иммуногистохимия |
| Рекомендуемые разведения | WB: 0.01-2 мкг/мл; IHC: 5-20 мкг/мл; ICC: 5-20 мкг/мл; Оптимальное разведение определяется конечным потребителем |
| Метод очистки | Антигенспецифическая аффинная хроматография с последующей аффинной хроматографией с белком А |
| Состав буфера | PBS, pH7.4, 0.02% NaN3, 50% глицерин |
| Условия доставки | термобокс с аккумуляторами холода |
| Условия хранения | Сразу после получения аликвотировать и хранить при -20ºС до 24 месяцев. Для частого использования хранить при +4ºС не более 2 недель. Избегать повторения циклов замерзания/оттаивания |
| Срок хранения | 24 месяца |
| Производитель | Cloud-Clone Corp. |
| Ссылка на страницу товара на сайте производителя | http://www.cloud-clone.com/products/PAL917Ra01.html |
|
Артикул
|
Наименование |
Производитель
|
|---|
|
Артикул
|
Наименование |
Производитель
|
|---|
|
Артикул
|
Наименование |
Производитель
|
|---|
|
Артикул
|
Наименование |
Производитель
|
|---|
|
Артикул
|
Наименование |
Производитель
|
|---|
Акции и предложения
Популярные продукты:
Polyclonal Antibody to Semaphorin 3A (SEMA3A) (PAL917Ra01)
Источник (хозяин): кролик
Реактивность подтвержденная: крыса
Валидировано для: IHC
Реактивность подтвержденная: крыса
Валидировано для: IHC
Rabbit Anti-NeuN Antibody (SAA2241) (RHA00601)
Источник (хозяин): кролик
Реактивность подтвержденная: человек, мышь, крыса
Валидировано для: FCM, ICC, IF, IHC, WB
Реактивность подтвержденная: человек, мышь, крыса
Валидировано для: FCM, ICC, IF, IHC, WB
Mouse Anti-SARS-CoV-2 S/Spike glycoprotein IgA Antibody (SAA2227) (RVV00326)
Источник (хозяин): мышь
Реактивность подтвержденная: вирусы
Валидировано для: ELISA
Реактивность подтвержденная: вирусы
Валидировано для: ELISA
Mouse Anti-Plasmodium berghei CSP Antibody (SAb2279) (RXX55206)
Источник (хозяин): мышь
Реактивность подтвержденная: простейшие
Валидировано для: ELISA, NEUT
Реактивность подтвержденная: простейшие
Валидировано для: ELISA, NEUT
Mouse Anti-Nipah virus/NiV Fusion glycoprotein F1 Antibody (5G7) (RVV08105)
Источник (хозяин): мышь
Реактивность подтвержденная: вирусы
Валидировано для: IP, WB
Реактивность подтвержденная: вирусы
Валидировано для: IP, WB
Mouse Anti-Desmoglein 3 Antibody (AK23) (RHE01407)
Источник (хозяин): мышь
Реактивность подтвержденная: человек, мышь
Валидировано для: ELISA, IF, IP
Реактивность подтвержденная: человек, мышь
Валидировано для: ELISA, IF, IP

