| UNIPROT | Q9P283 |
| Иммуноген | RPL926Hu03-Recombinant Semaphorin 5B (SEMA5B) |
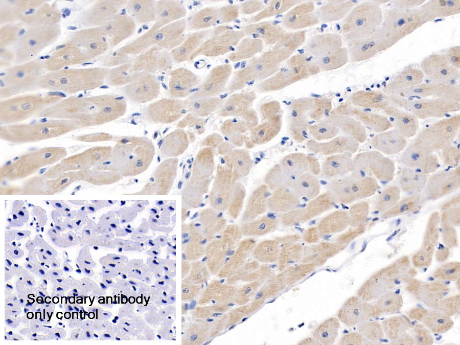
Polyclonal Antibody to Semaphorin 5B (SEMA5B) (PAL926Hu03)
Реактивность подтвержденная:
человек
Источник (хозяин):
кролик
Валидировано для:
IHC
WB
Характеристики
Техническое описание
| Русское название | PAL926Hu03 Поликлональное антитело к SEMA5B (человек) <Cloud-Clone,Китай> |
| Каталожный номер | PAL926Hu03 |
| Название антигена | Semaphorin 5B (SEMA5B) |
| UNIPROT | Q9P283 |
| Иммуноген | RPL926Hu03-Recombinant Semaphorin 5B (SEMA5B) |
| Английские синонимы | SEMAG, SemG, Sema Domain,Immunoglobulin Domain(Ig),Transmembrane Domain(TM)and Short Cytoplasmic Domain 5B |
Реактивность подтвержденная Нужна другая реактивность? |
человек |
| Реактивность предсказываемая | мышь, крыса, свинья |
| Источник (хозяин) | кролик |
| Клональность | поликлональное |
| Рекомбинантное | нет |
| Готовое к использованию | нет |
| Концентрация | 0.5 мг/мл |
| Конъюгат | По запросу: HRP, biotin, PerCP, PE, Cy3, FITC, Cy7, Cy5.5, PE-Cy5, PE-Cy7, PerCp-Cy5.5, APC, Cy5, PE-Cy3, PE-Cy5.5, APC-Cy7, Biotin-APC, FITC-Biotin, TRITC, APC-Cy5, AF488, AF594, AF405, AF555, AF700, AF647, AF750 |
| Валидировано для | IHC WB Иммуногистохимия; Вестерн-блоттинг |
| Рекомендуемые разведения | WB: 0.01-2 мкг/мл; IHC: 5-20 мкг/мл; Оптимальное разведение определяется конечным потребителем |
| Метод очистки | Антигенспецифическая аффинная хроматография с последующей аффинной хроматографией с белком А |
| Состав буфера | 0.01M PBS, pH7.4, 0.05% Proclin-300, 50% глицерин |
| Условия доставки | термобокс с аккумуляторами холода |
| Условия хранения | Сразу после получения аликвотировать и хранить при -20ºС до 24 месяцев. Для частого использования хранить при +4ºС не более 2 недель. Избегать повторения циклов замерзания/оттаивания |
| Срок хранения | 24 месяца |
| Производитель | Cloud-Clone Corp. |
| Ссылка на страницу товара на сайте производителя | http://www.cloud-clone.com/products/PAL926Hu03.html |
|
Артикул
|
Наименование |
Производитель
|
|---|
|
Артикул
|
Наименование |
Производитель
|
|---|
Акции и предложения
Популярные продукты:
CLEC1B Polyclonal Antibody (E-AB-52143)
Источник (хозяин): кролик
Реактивность подтвержденная: человек
Валидировано для: IHC
Реактивность подтвержденная: человек
Валидировано для: IHC
CLEC1B Polyclonal Antibody (E-AB-18219)
Источник (хозяин): кролик
Реактивность подтвержденная: человек
Валидировано для: IHC
Реактивность подтвержденная: человек
Валидировано для: IHC
FCGR2C Antibody (DF4802)
Источник (хозяин): кролик
Реактивность подтвержденная: человек
Валидировано для: WB, IF, ICC
Реактивность подтвержденная: человек
Валидировано для: WB, IF, ICC
GPR89A Antibody (DF2772)
Источник (хозяин): кролик
Реактивность подтвержденная: человек, мышь, крыса
Валидировано для: IHC, WB
Реактивность подтвержденная: человек, мышь, крыса
Валидировано для: IHC, WB
GPR64 Antibody (DF2758)
Источник (хозяин): кролик
Реактивность подтвержденная: человек, мышь, крыса
Валидировано для: IHC, WB
Реактивность подтвержденная: человек, мышь, крыса
Валидировано для: IHC, WB
Polyclonal Antibody to Isoleucyl tRNA Synthetase 2, Mitochondrial (IARS2) (PAG131Mu01)
Источник (хозяин): кролик
Реактивность подтвержденная: мышь
Валидировано для: WB
Реактивность подтвержденная: мышь
Валидировано для: WB

