| UNIPROT | Q62975 |
| Иммуноген | RPC010Ra02-Recombinant Serpin A10 (SERPINA10) |
Polyclonal Antibody to Serpin A10 (SERPINA10) (PAC010Ra02)
Реактивность подтвержденная:
крыса
Источник (хозяин):
кролик
Валидировано для:
IHC
WB
Характеристики
Техническое описание
| Русское название | PAC010Ra02 Поликлональное антитело к SERPINA10 (крыса) <Cloud-Clone,Китай> |
| Каталожный номер | PAC010Ra02 |
| Название антигена | Protein Z Dependent Protease Inhibitor (ZPI) |
| UNIPROT | Q62975 |
| Иммуноген | RPC010Ra02-Recombinant Serpin A10 (SERPINA10) |
| Английские синонимы | PZI, SERPINA10, Serine(Cysteine)Proteinase Inhibitor,Clade A(Alpha-1 Antiproteinase,Antitrypsin)Member 10, Protein Z-Related Protease Inhibitor |
Реактивность подтвержденная Нужна другая реактивность? |
крыса |
| Реактивность предсказываемая | человек, мышь |
| Источник (хозяин) | кролик |
| Клональность | поликлональное |
| Рекомбинантное | нет |
| Готовое к использованию | нет |
| Концентрация | 500 мкг/мл |
| Конъюгат | По запросу: HRP, biotin, PerCP, PE, Cy3, FITC, Cy7, Cy5.5, PE-Cy5, PE-Cy7, PerCp-Cy5.5, APC, Cy5, PE-Cy3, PE-Cy5.5, APC-Cy7, Biotin-APC, FITC-Biotin, TRITC, APC-Cy5, AF488, AF594, AF405, AF555, AF700, AF647, AF750 |
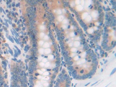
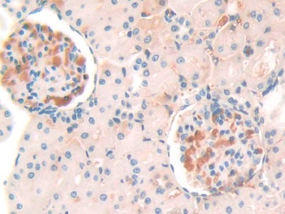
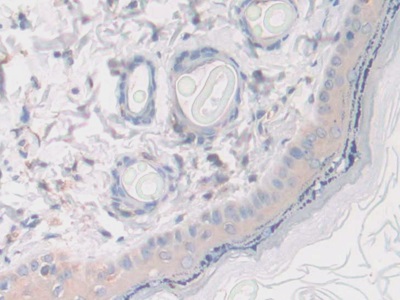
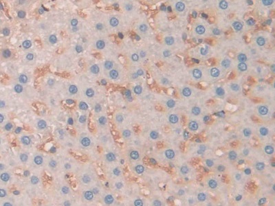
| Валидировано для | IHC WB Иммуногистохимия; Вестерн-блоттинг |
| Рекомендуемые разведения | WB: 0.5-2 мкг/мл; ICC (фиксация формалином): 5-20 мкг/мл; IHC (замороженные срезы): 5-20 мкг/мл; IHC (парафиновые срезы): 5-20 мкг/мл; ELISA: 0.05-2 мкг/мл; Оптимальное разведение определяется конечным потребителем |
| Метод очистки | Антигенспецифическая аффинная хроматография с последующей аффинной хроматографией с белком А |
| Состав буфера | 0.01M PBS, pH7.4, 0.05% Proclin-300, 50% глицерин |
| Условия доставки | термобокс с аккумуляторами холода |
| Условия хранения | Сразу после получения аликвотировать и хранить при -20ºС до 24 месяцев. Для частого использования хранить при +4ºС не более 2 недель. Избегать повторения циклов замерзания/оттаивания |
| Срок хранения | 24 месяца |
| Производитель | Cloud-Clone Corp. |
| Ссылка на страницу товара на сайте производителя | http://www.cloud-clone.com/products/PAC010Ra02.html |
|
Артикул
|
Наименование |
Производитель
|
|---|
|
Артикул
|
Наименование |
Производитель
|
|---|
|
Артикул
|
Наименование |
Производитель
|
|---|
|
Артикул
|
Наименование |
Производитель
|
|---|
Акции и предложения
Популярные продукты:
Bovine Aquaporin-7(AQP7) ELISA kit (E11A1617)
Организм: корова
Porcine Pyridoxal kinase(PDXK) ELISA kit (E07P0837)
Организм: свинья
Recombinant Human Calreticulin-3/CALR3 Protein (PKSH032151)
Источник (хозяин): E.coli
Организм: человек
Фрагмент: Thr 20-Leu384
Теги: без тега
Биоактивность: нет
Организм: человек
Фрагмент: Thr 20-Leu384
Теги: без тега
Биоактивность: нет
Vinculin Monoclonal Antibody (AN005300L)
Источник (хозяин): мышь
Реактивность подтвержденная: человек, мышь, крыса
Валидировано для: IF, IHC, WB
Реактивность подтвержденная: человек, мышь, крыса
Валидировано для: IF, IHC, WB
RMND5B Polyclonal Antibody (E-AB-52625)
Источник (хозяин): кролик
Реактивность подтвержденная: человек, мышь
Валидировано для: IHC
Реактивность подтвержденная: человек, мышь
Валидировано для: IHC

