| UNIPROT | P35542 |
| Иммуноген | RPD529Hu01-Recombinant Serum Amyloid A4, Constitutive (SAA4) |
Polyclonal Antibody to Serum Amyloid A4, Constitutive (SAA4) (PAD529Hu01)
Реактивность подтвержденная:
человек
Источник (хозяин):
кролик
Валидировано для:
IHC
WB
Характеристики
Техническое описание
| Русское название | PAD529Hu01 Поликлональное антитело к SAA4 (человек) <Cloud-Clone,Китай> |
| Каталожный номер | PAD529Hu01 |
| Название антигена | Serum Amyloid A4, Constitutive (SAA4) |
| UNIPROT | P35542 |
| Иммуноген | RPD529Hu01-Recombinant Serum Amyloid A4, Constitutive (SAA4) |
| Английские синонимы | C-SAA, CSAA, SA-A4, Constitutively expressed serum amyloid A protein |
Реактивность подтвержденная Нужна другая реактивность? |
человек |
| Реактивность предсказываемая | мышь, свинья |
| Источник (хозяин) | кролик |
| Клональность | поликлональное |
| Рекомбинантное | нет |
| Готовое к использованию | нет |
| Концентрация | 0.5 мг/мл |
| Конъюгат | По запросу: HRP, biotin, PerCP, PE, Cy3, FITC, Cy7, Cy5.5, PE-Cy5, PE-Cy7, PerCp-Cy5.5, APC, Cy5, PE-Cy3, PE-Cy5.5, APC-Cy7, Biotin-APC, FITC-Biotin, TRITC, APC-Cy5, AF488, AF594, AF405, AF555, AF700, AF647, AF750 |
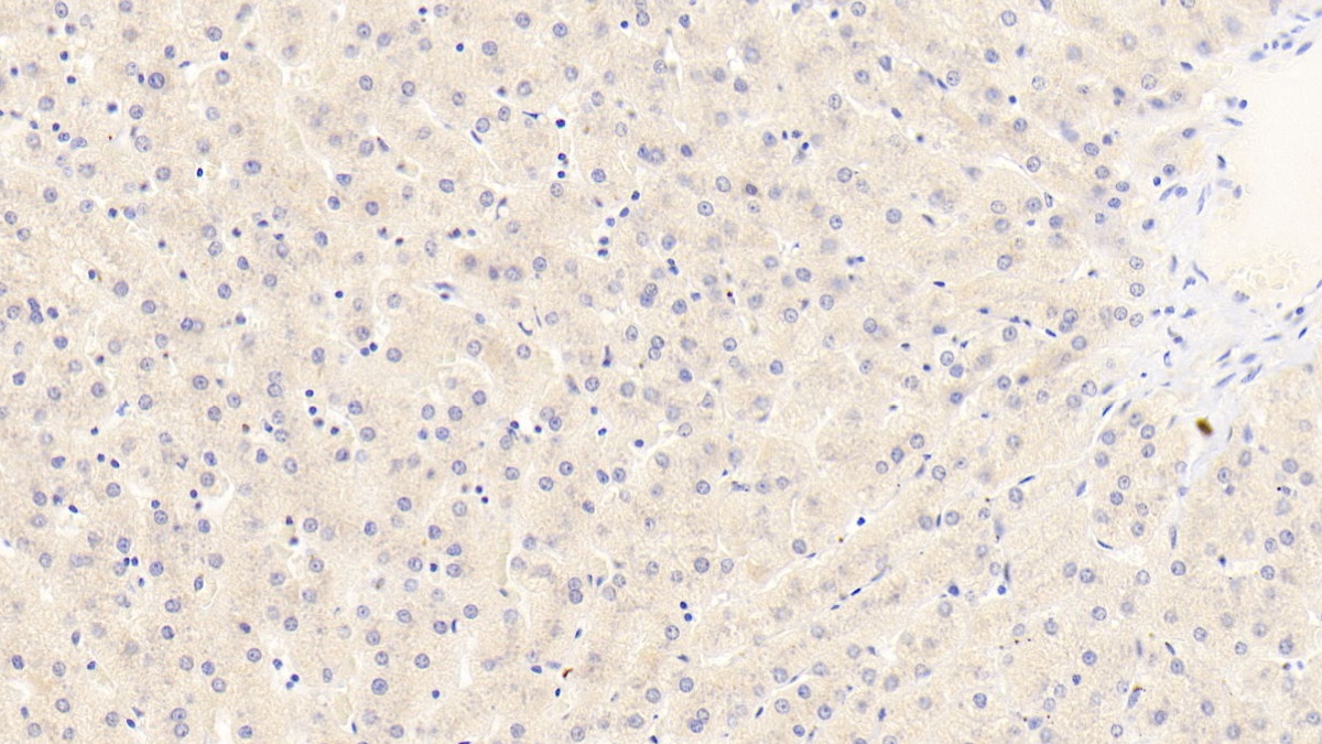
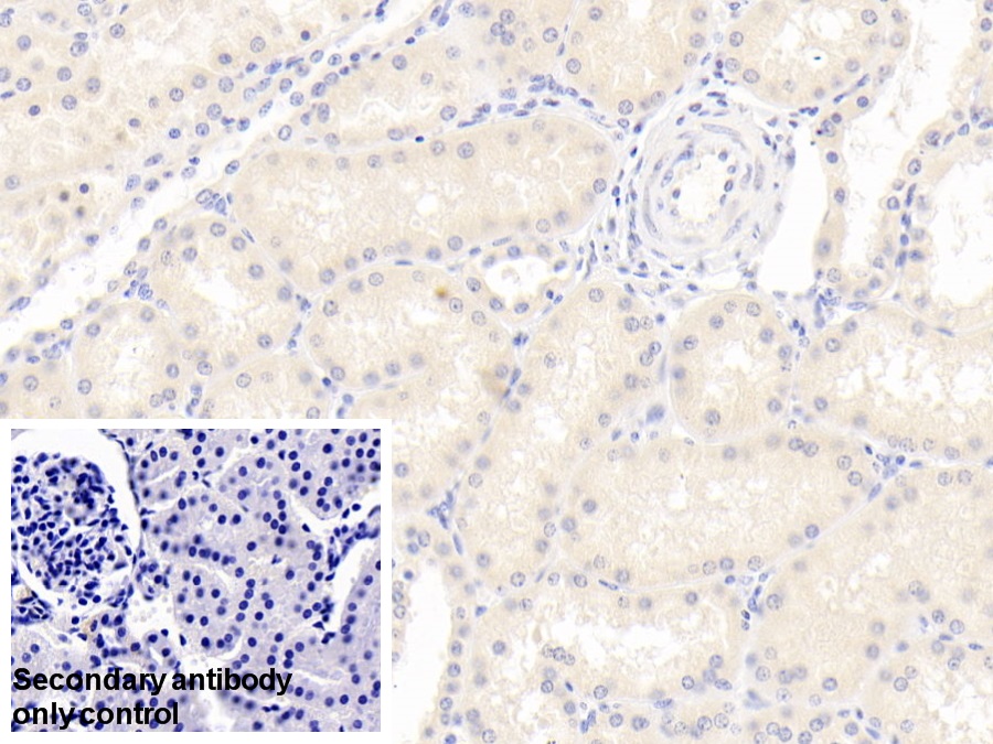
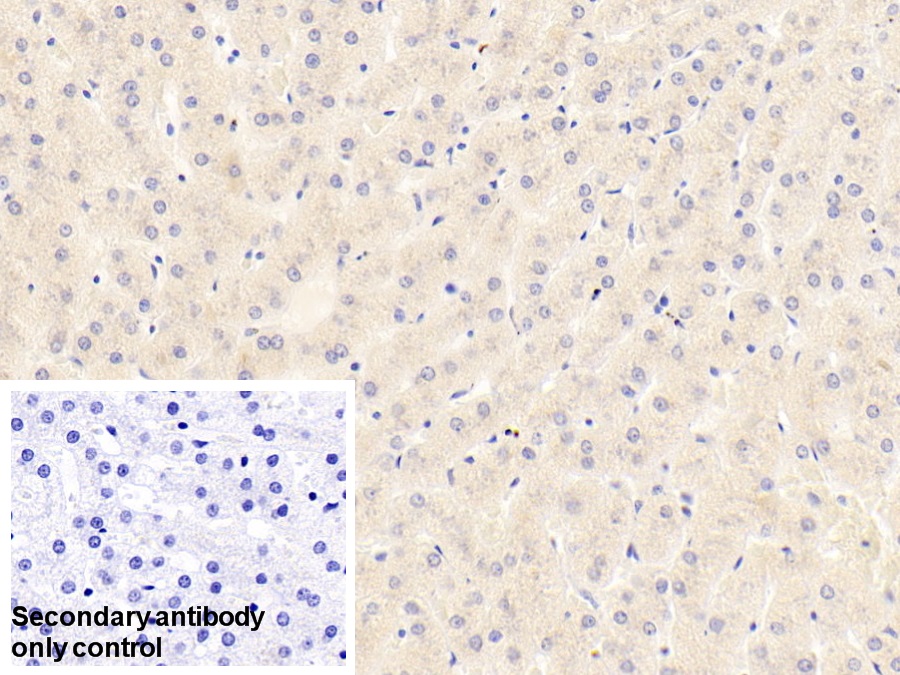
| Валидировано для | IHC WB Иммуногистохимия; Вестерн-блоттинг |
| Рекомендуемые разведения | WB: 0.01-5 мкг/мл; IHC: 5-20 мкг/мл; ICC: 5-20 мкг/мл; Оптимальное разведение определяется конечным потребителем |
| Метод очистки | Антигенспецифическая аффинная хроматография с последующей аффинной хроматографией с белком А |
| Состав буфера | 0.01M PBS, pH7.4, 0.05% Proclin-300, 50% глицерин |
| Условия доставки | термобокс с аккумуляторами холода |
| Условия хранения | Сразу после получения аликвотировать и хранить при -20ºС до 24 месяцев. Для частого использования хранить при +4ºС не более 2 недель. Избегать повторения циклов замерзания/оттаивания |
| Срок хранения | 24 месяца |
| Производитель | Cloud-Clone Corp. |
| Ссылка на страницу товара на сайте производителя | http://www.cloud-clone.com/products/PAD529Hu01.html |
|
Артикул
|
Наименование |
Производитель
|
|---|
Акции и предложения
Популярные продукты:
Phospho-Synaptotagmin 1/2 (Ser309) Mouse Monoclonal Antibody (BF8567)
Источник (хозяин): мышь
Реактивность подтвержденная: человек, мышь, крыса
Валидировано для: WB
Реактивность подтвержденная: человек, мышь, крыса
Валидировано для: WB
Bovine Cathepsin Z(CTSZ) ELISA kit (E11C2171)
Организм: корова
Диапазон определения: 0.5-10 нг/мл
Чувствительность: 0.1 нг/мл
Диапазон определения: 0.5-10 нг/мл
Чувствительность: 0.1 нг/мл
Sheep Dual oxidase 1(DUOX1) ELISA kit (E14D0296)
Организм: овца
Guinea Pig Plakophilin 1 ELISA kit (E05P0119)
Организм: морская свинка
Bovine Dopamine Receptor D1 ELISA kit (E11D0044)
Организм: корова
Guinea Pig Nucleoporin 85kDa ELISA kit (E05N0060)
Организм: морская свинка

