| UNIPROT | P05366 |
| Иммуноген | RPA885Mu01-Recombinant Serum Amyloid A (SAA) |
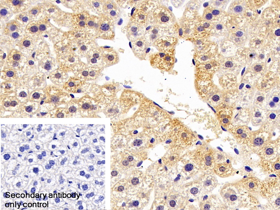
Polyclonal Antibody to Serum Amyloid A (SAA) (PAA885Mu01)
Реактивность подтвержденная:
мышь
Источник (хозяин):
кролик
Валидировано для:
IHC
Характеристики
Публикации
Техническое описание
| Русское название | PAA885Mu01 Поликлональное антитело к SAA (мышь) <Cloud-Clone,Китай> |
| Каталожный номер | PAA885Mu01 |
| Название антигена | Serum Amyloid A (SAA) |
| UNIPROT | P05366 |
| Иммуноген | RPA885Mu01-Recombinant Serum Amyloid A (SAA) |
| Английские синонимы | SA-A, SAA1, PIG4, TP53I4, Amyloid protein A, Amyloid fibril protein AA, Serum amyloid A-1 protein |
Реактивность подтвержденная Нужна другая реактивность? |
мышь |
| Источник (хозяин) | кролик |
| Клональность | поликлональное |
| Рекомбинантное | нет |
| Готовое к использованию | нет |
| Концентрация | 0.5 мг/мл |
| Конъюгат | По запросу: HRP, biotin, PerCP, PE, Cy3, FITC, Cy7, Cy5.5, PE-Cy5, PE-Cy7, PerCp-Cy5.5, APC, Cy5, PE-Cy3, PE-Cy5.5, APC-Cy7, Biotin-APC, FITC-Biotin, TRITC, APC-Cy5, AF488, AF594, AF405, AF555, AF700, AF647, AF750 |
| Валидировано для | IHC Иммуногистохимия |
| Рекомендуемые разведения | WB: 0.5-2 мкг/мл; IHC: 5-20 мкг/мл; ICC: 5-20 мкг/мл; Оптимальное разведение определяется конечным потребителем |
| Метод очистки | Антигенспецифическая аффинная хроматография с последующей аффинной хроматографией с белком А |
| Состав буфера | 0.01M PBS, pH7.4, 0.05% Proclin-300, 50% глицерин |
| Условия доставки | термобокс с аккумуляторами холода |
| Условия хранения | Сразу после получения аликвотировать и хранить при -20ºС до 24 месяцев. Для частого использования хранить при +4ºС не более 2 недель. Избегать повторения циклов замерзания/оттаивания |
| Срок хранения | 24 месяца |
| Производитель | Cloud-Clone Corp. |
| Ссылка на страницу товара на сайте производителя | http://www.cloud-clone.com/products/PAA885Mu01.html |
|
Артикул
|
Наименование |
Производитель
|
|---|
|
Артикул
|
Наименование |
Производитель
|
|---|
|
Артикул
|
Наименование |
Производитель
|
|---|
|
Артикул
|
Наименование |
Производитель
|
|---|
|
Артикул
|
Наименование |
Производитель
|
|---|
|
Артикул
|
Наименование |
Производитель
|
|---|
|
Артикул
|
Наименование |
Производитель
|
|---|
|
Артикул
|
Наименование |
Производитель
|
|---|
Акции и предложения
Популярные продукты:
Chicken Serum amyloid A ELISA kit (E12S0228)
Организм: курица
Bovine arresten ELISA kit (E11A2136)
Организм: корова
Recombinant Human S100A1 Protein(Sumo Tag) (PDEH100559)
Источник (хозяин): E.coli
Организм: человек
Фрагмент: Met1-Ser94
Теги: N-Sumo
Биоактивность: нет
Организм: человек
Фрагмент: Met1-Ser94
Теги: N-Sumo
Биоактивность: нет
Anti-Human CD284/TLR4 Monoclonal Antibody (1A057) (MHA05302)
Источник (хозяин): мышь
Реактивность подтвержденная: человек
Валидировано для: ELISA, IHC, WB
Реактивность подтвержденная: человек
Валидировано для: ELISA, IHC, WB
Recombinant Human SIGIRR Protein, N-His (YHJ05701)
Источник (хозяин): E.coli
Организм: человек
Фрагмент: Met1-His118
Теги: N-His
Биоактивность: нет
Организм: человек
Фрагмент: Met1-His118
Теги: N-His
Биоактивность: нет

