| UNIPROT | P02743 |
| Иммуноген | RPB539Hu02-Recombinant Serum Amyloid P Component (SAP) |
Polyclonal Antibody to Serum Amyloid P Component (SAP) (PAB539Hu02)
Реактивность подтвержденная:
человек
Источник (хозяин):
кролик
Валидировано для:
IHC
WB
Характеристики
Техническое описание
| Русское название | PAB539Hu02 Поликлональное антитело к SAP (человек) <Cloud-Clone,Китай> |
| Каталожный номер | PAB539Hu02 |
| Название антигена | Serum Amyloid P Component (SAP) |
| UNIPROT | P02743 |
| Иммуноген | RPB539Hu02-Recombinant Serum Amyloid P Component (SAP) |
| Английские синонимы | APCS, PTX2, Pentaxin-Related, 9.5S Alpha-1-Glycoprotein |
Реактивность подтвержденная Нужна другая реактивность? |
человек |
| Источник (хозяин) | кролик |
| Клональность | поликлональное |
| Рекомбинантное | нет |
| Готовое к использованию | нет |
| Концентрация | 1 мг/мл |
| Конъюгат | По запросу: HRP, biotin, PerCP, PE, Cy3, FITC, Cy7, Cy5.5, PE-Cy5, PE-Cy7, PerCp-Cy5.5, APC, Cy5, PE-Cy3, PE-Cy5.5, APC-Cy7, Biotin-APC, FITC-Biotin, TRITC, APC-Cy5, AF488, AF594, AF405, AF555, AF700, AF647, AF750 |
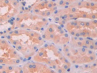
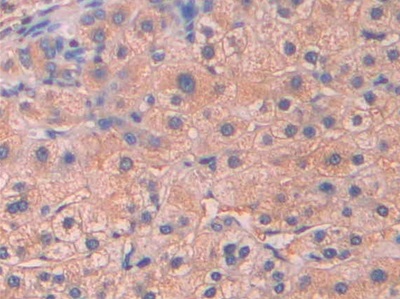
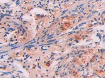
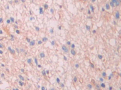
| Валидировано для | IHC WB Иммуногистохимия; Вестерн-блоттинг |
| Рекомендуемые разведения | WB: 0.01-3 мкг/мл; IHC: 5-30 мкг/мл; ICC: 5-30 мкг/мл; Оптимальное разведение определяется конечным потребителем |
| Метод очистки | Антигенспецифическая аффинная хроматография с последующей аффинной хроматографией с белком А |
| Состав буфера | PBS, pH7.4, 0.02% NaN3, 50% глицерин |
| Условия доставки | термобокс с аккумуляторами холода |
| Условия хранения | Сразу после получения аликвотировать и хранить при -20ºС до 24 месяцев. Для частого использования хранить при +4ºС не более 2 недель. Избегать повторения циклов замерзания/оттаивания |
| Срок хранения | 24 месяца |
| Производитель | Cloud-Clone Corp. |
| Ссылка на страницу товара на сайте производителя | http://www.cloud-clone.com/products/PAB539Hu02.html |
|
Артикул
|
Наименование |
Производитель
|
|---|
|
Артикул
|
Наименование |
Производитель
|
|---|
|
Артикул
|
Наименование |
Производитель
|
|---|
|
Артикул
|
Наименование |
Производитель
|
|---|
Акции и предложения
Популярные продукты:
Porcine Transcription factor SOX 11(SOX11) ELISA kit (E07T0644)
Организм: свинья
Fam50b Polyclonal Antibody (E-AB-92201)
Источник (хозяин): кролик
Реактивность подтвержденная: человек, мышь, крыса
Валидировано для: IHC, WB
Реактивность подтвержденная: человек, мышь, крыса
Валидировано для: IHC, WB
FITC-Linked Polyclonal Antibody to Thymosin Beta 4 (TMSB4X) (LAB609Mu81)
Источник (хозяин): кролик
Реактивность подтвержденная: мышь
Валидировано для: ICC, IHC, WB
Реактивность подтвержденная: мышь
Валидировано для: ICC, IHC, WB
Anti-GLP-1 Polyclonal Antibody (PHB93503)
Источник (хозяин): кролик
Реактивность подтвержденная: человек
Валидировано для: ELISA, IF, IHC, WB
Реактивность подтвержденная: человек
Валидировано для: ELISA, IF, IHC, WB
Sheep phosphatidylcholine ELISA kit (E14P1058)
Организм: овца
Goat phosphatidylcholine ELISA kit (E06P1058)
Организм: коза

